질문하기
로그인
질문 목록
전문의 칼럼
자주 찾는 키워드
임플란트
미백
치아교정
소아치료
자주 찾는 키워드
치아교정 진행중
돌출입교정
기타
유지장치
덧니교정
치아교정장치
치아교정준비
턱관절
부분교정
어린이교정
9,416
건의 질문하기
최신순
인기순
좋아요순
조회순
댓글순
전체보기
임플란트
치아교정
라미네이트
크라운
충치
미백
사랑니
양악
소아치료
브릿지
랩키
10년 전
코티코토미(피질골절단술)에 대해..
안녕하세요^^ 교정치료 시작한지 7개월차 되는 32살 남자입니다. 저는 부산에 goodO 치과병원에서 교정을 하고 있는데요~ 돌출입이여서 위아래 각각 2개씩 발치하고 와이어로 이를 고르게 펴고 있는 상황입니다. 저는...
bboro
10년 전
제 치아 상태좀 봐주세요
2012년 7월에 교정을 시작했습니다. 교정 시작하고 1년 경과되었을때 찍은사진 제외하고는 교정기를 떼기까지 한장도 엑스레이 사진을 찍지 못하고 교정치료를 받아왔는데요 약 2년 8개월 정도 지나고 원장님께서 다 ...
키프러스
10년 전
선생님, 발치 or 비발치 고민되는데 조언좀 부탁드려요~(돌출감 심한가요?)
젤 위쪽사진은 치과에서 찍은거구요 교정 시작한지는 2주정도 되었네요ㅋㅋ 담주 방문때까지 발치, 비발치 정해야하는데 회원님들 의견 듣구싶어요! 치과에선 입이 돌출됐다고 발치하는게 어떻겟냐고 하셨는데 비발치...
약이약
10년 전
교정 5개월 차입니다 ㅠ
원장님 안녕하세요 지금 세라믹교정 5개월차입니다 현재 아래 사랑니 두개 뺏구요 병원에서는 위에 사랑니 두개도 교정 하는중간에 뺀다고 하네요(사랑니만 뽑으면 비발치교정 맞죠..?) 맨첨에 병원갔을때는 아랫니가...
딸구
10년 전
교정 문의
현재 발치 교정3년차인데 별다른 효과가없어서 교정기 제거하고 수술할려고하는데 괜찮을까요?? 사진 첨부합니다.
지히
10년 전
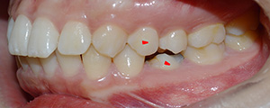
자가결찰할지 세라믹할지 고민중입니다!
발치교정을 할건데요! 저 빨간표시로 된 치아를 발치하고 교정하려고해요.. 처음엔 자가결찰을 하려고했는데 제가 덧니나 그런 고르지않은 치아가 별로없어서 세라믹해도 무관하다고 하시네요 어떤걸 하는게 더 나을...
후리양
10년 전
선생님, 지금 상악 0.7mm정도 더 들어가면 된다는데요..
덧니때문에 교정 시작했고, 4개 발치했습니다... 교정 중에 "저 턱이 나온것 같아요..."라고 말하니, 저는 원래 발치하면 턱이, 비발치하면 입이 나오는 얼굴이라 하십니다. 현재 발치공간은 다 닫혔고, 윗니가 미세...
크러러로로
10년 전
선생님 도와주세요ㅠㅠ
사진첨부있습니다!!! 안녕하세요 선생님 저는 지난해 8월정도 교정을 시작해 현재 9개월 가량 접어든 교정인입니다.ㅠㅠ 사진을 보셔도 아시겠지만 처음부터 치열은 가지런했고 윗쪽앞니하나가 바깥으로 뻐드러져 있...
아아알
10년 전
어금니 브라켓 높이 질문입니다.
며칠전에 상악을 달았고 오늘 하악을 달았는데요 어금니6번치아가 윗니랑 닿아서 떼고 다시 달았는데 그래서 그런지 처음보다 밑에 쪽에 달더라구요 잇몸에 붙다시피할 정도로요 그래서 집에 와서 보니까 오른쪽은 6...
ㅈㅈㅇ3
10년 전
선생님!
안녕하세요. 치아교정때문에 요즘 고민이 많아요 치아가결손치가 몇개 있어서 교정후에 치아공간을 확보하고 교정선생님께서 임플란트를 해야한다구 하시더라구요 그런데 문제는 교정이 끝나고 난후 임플란트는 여러...
주디jj
10년 전
재교정 문의드려요!
잘 기억은 안나지만 13살 초6졸업후 교정을 시작하였고 고1 입학직전에 교정을 끝낸후 고2말정도까지 고정기를 꼈습니다 그리고 지금 전 22살입니다 만 5년정도 지났나봐요 요사이 이가 급속도로 다시 돌아오고 있음...
문어괴물
10년 전
아랫니가 모자란경우 치아교정
교정을 하려고 이곳저곳 알아보고 있는데요 대부분 사람들 치아가 위에 14개 아래 14개 인걸로 알고 있는데요 전 아래가 13개입니다 어금니 빼고 가운데 이가 6개가 아닌 5개입니다. 이럴경우 벌려서 임플란트를 하는...
순자
10년 전
발치와 비발치 중 고민이에요
아랫니가 너무 삐뚤어서 다 펴야되는데요 치과가니까 1. 작은어금니 두개를 빼고 앞쪽을 다시 배열하던지(위아래 총 네개 뽑아야해요 ㅠㅠㅠ) 2. 어금니를 뒤로 밀고 삐뚤빼뚤한 이를 *조금 갈아서* 배열을 하던지 발...
깡봉순
10년 전
어제 하악 장치 떼고 왔어요
중심선이 약간 안맞지만 그 정도의 오차는 있을 수 있으니 괜찮은데... 아랫니 중심선이 / 이런식으로 기울어져 있어요 중심선을 기준으로 왼쪽 치아들이 오른쪽으로 기울어져 있으니 턱도 삐뚫어져 보여요 너무 너무...
스타벅스
10년 전
교정 완료 후
교정 완료 후 유지장치 착용한지 한달정도 되어갑니다. 1. 분명히 유지장치를 24시간중 20시간 이상씩 착용하는데도 치아가 계속 뻐드러질수가 있나요? 병원에서는 유지장치도 잘 맞고 아무 이상 없다고 하는데 장치 ...
카스텔라
10년 전
대학병원vs교정전문치과
안녕하세요^^ 교정을 앞두고 병원 선택에 고민이 생겨 이렇게 질문 드립니다. 일단 저는 윗니와 아랫니가 거꾸로 물리는 3부정교합에 해당되고요. 최근 두 곳의 대학병원 교정과(서울대 이신재 교수/경희대 박기호 교...
pohoh
10년 전
잇몸이 많이 내려갔는데
교정하면서 특히 하악 앞니쪽이 전체적으로 많이 내려갔어요. 지금은 교정 끝난지 1년이 훨씬 넘었구요. 근데 그중에서도 정가운데쪽 앞니 하나가 유독 많이 내려가서 고민입니다. 불가 몇개월사이 더 내려간거 같아...
이거어쩌지
10년 전
중심선 부정교합
교정을 시작한지는 거의 3년정도 된거같아요. 교정시작할때 왼쪽아랫어금니에 영구치가 하나 있어 이건 임플란트를 마지막에 하기로했고 돌출입교정과 교정선 교정때문에 한거라서 윗니아랫니 양쪽어금니 하나씩 발치...
교정중이다
10년 전
의견을 여쭙고 싶습니다.
안녕하세요 치근흡수로 여러번 글을 올렸었습니다. 선생님 저같은 경우 지금 치근흡수가 심하게 일어났고 타 병원에서 다들 치근흡수가 심해서 발치를 생각해야 한다는 의견을 들었습니다. 교정한지 1년도 안되었는데...
만콩
10년 전
교정중인데 넘 불안하네요 ㅜㅜ
클리피씨 교정 어제 장치 부착을 했는데 갑자기 넘불안하네요 ㅜㅜ 브라켓 붙이는 것만 의사선생님이 해주고 나머진 다 치위생사분이 하시고..... 갑자기 가격이 저렴해서 치과를 바꿨는데 싼게 비지떡인가 싶고........
9
10
11
12
13
14
15
16
17
18
팔로잉 최신글
투명교정후기
[내돈내산 후기] 신사 ㄷ치과에서 1년 2개월, 850만 원 쓴 후기 — 교정치과 선택 시 반드시 고려해야 할 5가지 기준
웃는얼굴
[홍순이 치아교정 끝!!!] 치아미녀가 된 홍순이 목동 유펜치과 치아교정 후기! 교정시작부터 끝까지~
웃는얼굴
사진을 잘 올리는 요령
웃는얼굴
슬기로운 교정생활 시스템 도입 안내
퉤끼
교정마무리 7년이 지났네요.
홈으로
커뮤니티
치과찾기
질문하기
랭킹도전
마이페이지
비지니스 홈
팔로잉
붉은백조
내 전문의
내 치과
콘텐츠
내 후기
내 질문글
내 커뮤니티 활동
좋아요 목록
스크랩
쪽지함
기타 서비스
내 위치 설정
관심 키워드 설정
고객센터
커뮤니티
치과찾기
질문하기
랭킹도전
더보기
어떤 정보를 찾고 계신가요?
제목이나 글 내용의 일부분으로도
검색이 가능해요!