자가결찰할지 세라믹할지 고민중입니다!
10년 전

치아1.jpg

치아2.jpg


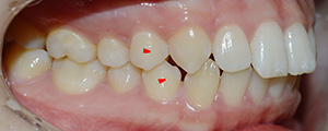
발치교정을 할건데요!

저 빨간표시로 된 치아를 발치하고 교정하려고해요..


처음엔 자가결찰을 하려고했는데

제가 덧니나 그런 고르지않은 치아가 별로없어서

세라믹해도 무관하다고 하시네요


어떤걸 하는게 더 나을까요?

  • 철사맨
    10년 전

    네... 자가 결찰 장치가 장점을 발휘하는 경우는 교정치료 전의 치열이 불규칙한 경우이지요. 님의 경우는 많이 불규칙하지는 않아서 아마 주치의 샘이 그렇게 말씀하신 것 같습니다. 제 생각도 세라믹과 자가 결찰 장치 어느것으로도 무난하리라 생각이 듭니다. 

팔로잉 최신글