질문하기
로그인
질문 목록
전문의 칼럼
자주 찾는 키워드
임플란트
미백
치아교정
소아치료
자주 찾는 키워드
치아교정 진행중
돌출입교정
기타
유지장치
덧니교정
치아교정장치
치아교정준비
턱관절
부분교정
어린이교정
9,416
건의 질문하기
최신순
인기순
좋아요순
조회순
댓글순
전체보기
임플란트
치아교정
라미네이트
크라운
충치
미백
사랑니
양악
소아치료
브릿지
미미^-^
21년 전
교정을 하려고 합니다.
제 치아가 다른곳은 평범한데 앞니가 돌아갔습니다. 앞니가 저러니 웃을때도 불편하고 입을 다물어도 어색하고,, 사진찍을때도 이빨 안보이게 하려고 하니 표정이 굳어지고 불편한게 너무 많아서요,, 이제 20살인데 ...
전문의 답변 1
세라믹맨
21년 전
이빨 4개를 빼고난후
이빨을 4개를 발치를 했거든요? 그리고 이빨 교정을하면 어느정도 시간이흘러야 그 4개 발치한 자리가 매꿔지나요? 정말 궁금해요ㅜ 자꾸 그 옆에 구멍난부분으로 침이세어나오고 불편해서요ㅜ
전문의 답변 1
(주)sm
21년 전
아랫니가 하나 없는거 같은데 어떻게 하죠?
윗니는 많이 튀어나왔구요..윗니가 아랫니를 덮을 정도루.. 그리고 아랫니 앞니는 한개가 모자라요..가지런히 6개여야 하는데 5개인것 같습니다. 아님 하나가 더났거나.. 이럴 경우교정은 어떻게 하죠? 하나가 모자라...
전문의 답변 1
안지연
21년 전
나사맨은 어딘가 바보 같에....
나사맨은 어딘가 바보 같에요... 거짓말이에요..... 기여워요 @
전문의 답변 1
큐라
21년 전
철사맨님 궁금해요 ㅠ_ㅠ (사진첨부)
제 사진입니다. 어금니를 다물고 있으면. (사진보이는대로)왼쪽보다. 오른쪽 치아쪽이 내려와 있습니다. 병원 갈때마다 잊어 먹고 못 여쭤봤는데 교정을 하면 저 길이도 맞춰 주나요? (답변부탁드려요-) 어느쪽이 정...
전문의 답변 1
*^___^*
21년 전
교정상담을 받았는데요
세군데의 병원에서 교정상담을 받았는데요.. 제가 아직 유치도 남아있고 덧니구 있구 그렇거든요.. 근데 병원마다 치료에 대한 얘기가 조금씩 차이가 있는것 같아서요. 우선 A병원의 경우... 발치를 네대해야하고, 많...
전문의 답변 1
션이
21년 전
[사진있음]병원 선정 때문에요~
저는 이빨은 고르게 난 편인데 아래턱이 윗턱을 덮었어요 어렸을땐 이를 다물면 둘이 딱 닿았어요 근데 조금씩 눈에 보이진 않지만 몇십년이 지난 지금은 아래턱이 윗턱을 덮고 있죠 아주 심한건 아닌데 시간이 지날 ...
전문의 답변 2
영지
21년 전
치아교정하려고 하는데요
치아교정하려고 해서 그 전에 치아상태랑 사진이랑 찍었고요.. 오늘 가서 상담을 해봤는ㄷ ㅔ ㅠㅠ 발치치료랑 비발치치료가 있더군요? 그런데 제가 지금 입술이 들어가지도 나오지도 않은 좋은상태라는데요.. 발치를...
철사맨
21년 전
발치치료 언제하나?[re]
입술이 얼마나 나왔는가가 중요할 것 같습니다. 사진에서 옆모습의 경우 코와 턱끝을 연결한 선인 E-line에 대해서 입술이 나와있으면 발치를 해서 치료하는 것이 좋습니다. 혹은 그렇지 않더라도 코에서 윗입술로 내...
빠식이2
21년 전
교정문의. 꼭 답변해주세요
이와 이 사이가 많이 벌어져 있고 앞니 부분에 윗니와 아랫니가 맞물리지 않습니다. 저에게 맞는 전문 교정이 따로 있나요? 그리고 교정을 하게 된다면 설측교정쪽으로 생각중인데(나이가 많고 계속 사회생활을 해야...
전문의 답변 1
안뇽ㅋㅋ
21년 전
아랫니가....
저는 지금 16살이고 이제 고1올라가는 학생입니다. 주걱턱은 아닌데 어렸을 떄부터 아랫니가 윗니를 덮어 많이 튀어나왔습니다. 어렸을 때 치과에가봤는데 안됀다고 했던걸로 기억납니다. 그래서 웃을때 이를 보이고 ...
전문의 답변 1
이뿐턱
21년 전
병원선택,,,걱정됩니다.
이는 가지런한편인데 아랫턱이 약간나온 부정교합이라고 큰 문제는 없지만 미용상 권해보더라고요.... 저도 별불편은없지만 껌같은거 씹으면 턱이 아파서 잘안씹는다던가 딱딱한음식잘 안먹는 정도의 불편이거든요 아...
전문의 답변 1
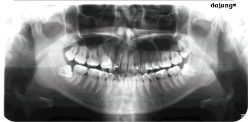
다죵_*
21년 전
사랑니를 뽑아야 할까? 말하야 할까?
우리끼리 질문방에 올렸다가 삭제하고 다시 올려요.. 답변 기다립니다 ㅠ-ㅠ 제 엑스레이 사진인데요.. 치아 몇개 뽑아야 해요? 옆에 누워 있는 사랑니를 안뽑아도 괜찮아요? 오늘 의사선생님이 안뽑아도 괜찮다고 나...
전문의 답변 1
생선든야옹
21년 전
- ㅠ 부탁이에요, 도와주세요, 이를..
비밀글입니다.
파리
21년 전
레진치료...
안녕하세요. 치아를 레진치료를 하였는데,.. 다시 이전으로 돌아 갈려면 어떻게 해야 되는 지요?
전문의 답변 1
예비승뭔
21년 전
급속교정에 대해 알고싶습니다.
안녕하세요..전 지금 승무원준비중입니다. 그래서 교정이 급한데.. 저번에 치아때문에 상담을 받았는데.. 급속교정을 말씀하면서 라미네이트로 일주일정도에 시술하시는걸 말씀하시더라구요..그래두 영 맘이 내키지 ...
전문의 답변 1
앞니짱
21년 전
턱을 앞으로 당기는 교정하고 있는데요..
우리딸 12살 (유치 다 빠진상태) 접어 듭니다. 워낙 예민해서..9살때 까지 엄지손가락을 빨았죠.. 그때 무슨 수를 써서라도 말렸어야 하는데... 앞니가 많이 나왔어요 30도 각도 정도?? 그래서 교정하러 갔더니 x-ray...
전문의 답변 1
ssoundo
21년 전
교정 준비중.
교정 준비하려고 이것저것 알아보고있는데. 병원선택이 제일 고민 되서요;; 학교가 경기도에 있어서 강남,잠실로 스쿨버스 운행하거든요, 이근처 믿을만하고 잘하는 병원좀 추천해주세요.ㅋ 꼬~~옥이요!!!!!!!!!!!!!!...
전문의 답변 1
draka
21년 전
만 29개월된 여아의 주걱턱에 관한 문의
제 딸아이가 아랫니가 윗니를 덮는 부정교합입니다. 저도 그래서 저도 교정을 할까 생각중인데 딸아이가 저를 닮아서 그렇다고 생각하니 너무 가슴이 아프고 안타까웠습니다. 그래서 어제 동네의 어린이 전문 치과에 ...
전문의 답변 1
드㉱큐㉣r걸♡
21년 전
질문이 너무 많죠~~-_ ㅠ
윗니 오른쪽에있는 5번치아때문에요,,,, ㅠ ㅅㅜ 제가 이번 교정을 하냐 안하냐의 관건은 ★★★신경치료하다 그만둬서 이빨이 부러진 5번치아를 2년동안 안빼고 라미나이트?! 맞나?ㅋ 아무튼 그걸 하면 정상적으로 생활...
전문의 답변 1
328
329
330
331
332
333
334
335
336
337
팔로잉 최신글
po2gnn
스크류 염증?? 뭔가 볼록 났어요 ㅜㅜ
예비
오늘 교정장치를 부착했는데요..!
둘리호잇
블랙트라이앵글 고민..
미역
교정 마무리 질문
진진자라
치아 재교정 고민
홈으로
커뮤니티
치과찾기
질문하기
랭킹도전
마이페이지
비지니스 홈
팔로잉
붉은백조
내 전문의
내 치과
콘텐츠
내 후기
내 질문글
내 커뮤니티 활동
좋아요 목록
스크랩
쪽지함
기타 서비스
내 위치 설정
관심 키워드 설정
고객센터
커뮤니티
치과찾기
질문하기
랭킹도전
더보기
어떤 정보를 찾고 계신가요?
제목이나 글 내용의 일부분으로도
검색이 가능해요!