맨 안쪽니 안쪽이 는 장치 교정 안되나요 위아래 다 전부
교정중인데 의사가 맨 안쪽이 ? 안쪽니 ? 는 교정장치를 붙이지 않거나 교정이 안된다 이런 식으로 계속
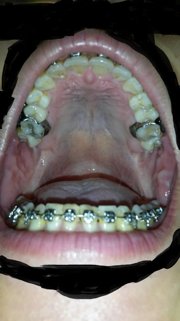
얘기합니다. 저는 맨 안쪽 양쪽 아랫니 2개가 전체 배열이랑 약간 틀어져 있고 맨 안쪽 양쪽 위앳니 2개는
상당히 바깥쪽으로 향해 나 있거든요. 위아래 교합이 대강 맞긴한데 좀 이상하게 맞아있는듯 싶구요.
지금 맨 안쪽 양쪽 윗니2개엔 교정중간에 앞쪽이들이랑 이어서 장치를 붙이긴 했는데 안쪽으로 누르거나
하는건 아니고 그냥 배열하는 용도로 붙였다고 했구요.
정말 맨 안쪽 이들은 위쪽이든 아래쪽이든 장치를 안 붙이거나 교정이 안되나요?
그리고 아래쪽 앞니들(4개내지 6개)이 안쪽으로 나 있어서 이것도 좀 피려고 했는데 의사가 필 수 있는
방법이 없다고 해서 인터넷 검색해보니 파워체인이나 그런 장치를 추가로 끼면 되는거 같던데 왜 안된다
고 하는 걸까요?
교정시작할땐 세가지 목표(앞쪽위엣니 아래로 내려와서(과개교합) 올리고 - 이건 진행중, 아랫이들 다
피고(의사가 처음엔 된다고 했다가 중간에 진행을 안해서 얘기하니까 수술하는 방법밖에 없다고 교정으론
안된다고 말바꿔서 아무래도 힘든건가 싶어서 앞니만이라도 하고 싶은데 어떻게 될지), 맨안쪽 위아랫이
들 배열 잘하고 교합 정상적으로 맞추는것(이것도 장치 못붙인다 힘들다 안된다 이런 소리만 ㅅㅂ..) )로
진행했고 의사도 시작하기 전엔 다 된다고 얘기했으면서 중간부턴 말을 바꿔서 계속
안된다고 하다가 어떨땐 된다고 하다가 하면서 1년 반가량 지났는데 진행한건 앞쪽 윗니 4개 약간 올린것
하고 아랫니들 배열한다고 하는데 별로 달라진게 없음.
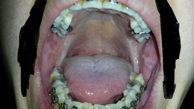
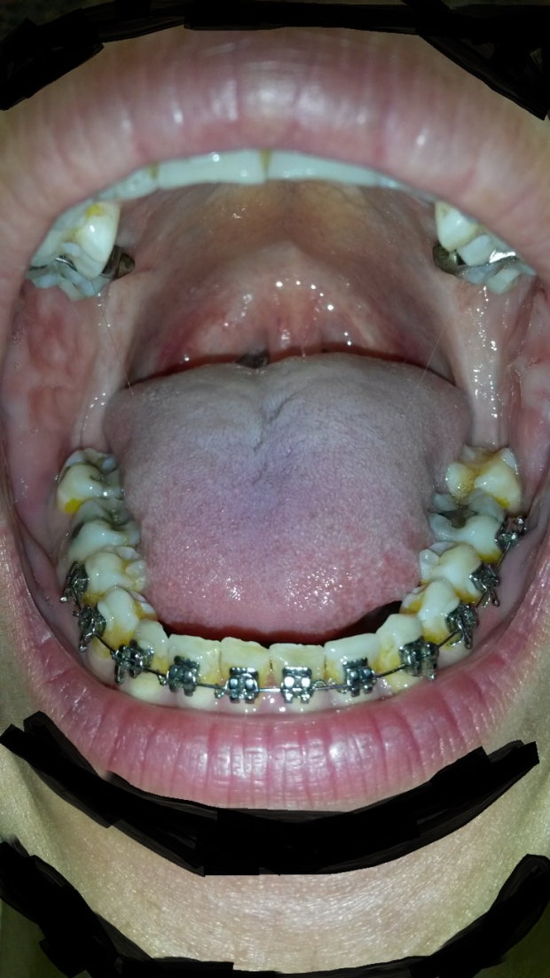
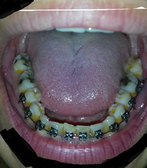
그리고 아랫쪽엔 장치가 맨 왼쪽에서 두번째 이부터 맨 오른쪽에서 세번째까지만 붙어있습니다. 자꾸
떨어져서 아예 떼 버렸는데 이게 괜찮은건지도 좀 ... 그렇고
밑에는 사진입니다. (주의요) 참고로 위쪽은 와이어가 2개입니다. 앞니 위로 올린다고 안쪽 어금니에
장치 설치하고 거기랑 연결 시켜놨습니다.



네... 교정하느라 힘드시죠?...^^ 과개교합의 교정은 다른 경우에 비하여 쉽지 않은 치료랍니다. 일단 정확히 본 것은 아니지만 님의 상태는 문제는 없어보이구요. 교정을 진행할때 어금니의 경우는 완전히 부착하는 것이 일반적이지만 치료계획에 따라서는 부착시기를 조절하는 경우도 있고 맨 뒤의 어금니는 부착없이 진행하기도 한답니다. 아마 주치의샘이 잘 판단하여 진행하시리라 생각이 됩니다. 아래 앞니를 펴는 것은 비교적 두꺼운 와이어를 사용하여 진행하게 되는데 아마 어느정도는 진행하였지만 아랫턱뼈의 위치와 잇몸의 상태에 관련하여 님에게 얘기하신 것 같습니다.... 님이 얘기하신 점들이 쉽게 판단하기 힘든 사항들이라 제가 시원히 설명을 드리지 못 한 부분이 있는 듯 합니다...^^ 어쨋든 치료는 무리없이 진행되고 있는 것 같구요. 주치의샘과 잘 상의하여 치료해 나가시길 바랍니다.....^^