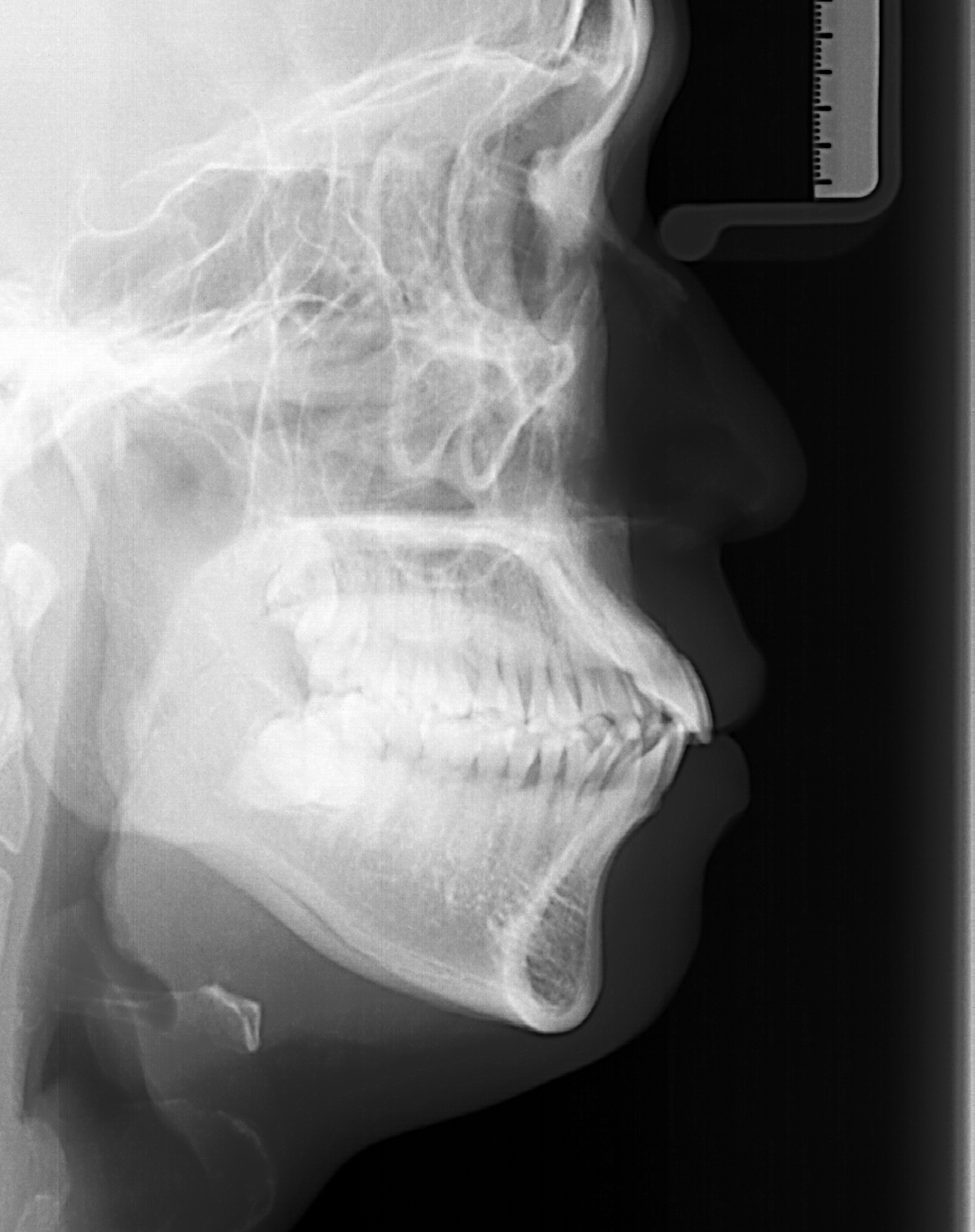
돌출입교정 잇몸돌출인지 치아돌출인지 봐 주세요. 교정 하고파 13년 전 교정할려고 생각 중인데 잇몸돌출인 경우 일반적인 교정으로는 효과가 별로 없다는 얘길 듣고 고민 끝에 사진을 올립니다. 저 같은 경우 잇몸돌출인지 치아돌출인지 궁금합니다. 첨부파일: 2 세팔로1.jpg (1.19MB) 다운로드: 32 사진.jpg (469.9KB) 다운로드: 53 추천 0 비추천 1 교정 하고파