무척 깜짝 놀라셨죠?
안녕하세요!
10388번 질문자 걱정쟁이입니다.
예전 답글 진심으로 감사드립니다.
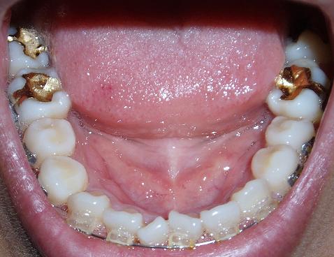
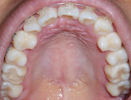
중심선을 맞추고 치열을 고르게 하기위해 늦게나마 용기내어 교정을 시작하였는데, 겹쳐 있었던 이가 이렇게 펴지니 윗니 왼쪽 4번 치아 발치를 안해도 교정이 되지 않을까 하는 생각이 드네요.(만약 된다면 중심선 맞추는 것은 포기할까 해서요)
교정 담당샘은 그냥 빼라고 하시는데요....멀쩡한 생니를 뽑는다는게 넘 아깝잖아요. 전체적으로 치아가 아주 튼튼한 것 같지는 않고 또 나이도 있구요... 발치한 치아 자리가 1년정도 지나야 공간이 메워진다는데 그것도 좀 신경쓰이고...넘 제 욕심만 차리죠...헤~
죄송하지만 궁금한 것 질문드릴께요!
1. 교합 등 교정효과를 보려면 꼭 위 왼쪽 4번 치아를 빼야 할까요?
2. 중심선이 맞지 않더라도 위 왼쪽 4번 치아 빼지 않고 이 상태에서 교합 등의 별 문제없이 교정이 될 수도 있나요?
3. 왼쪽의 송곳니가 변곡점이라는데 교정을 마치면 다른 사람들의 눈에는 띄지 않지만 본인만 느끼는 정도의 좌우 비대칭이 있다는데, 그 비대칭이 정말 눈에 많이 안 띌까요?
4. 그렇다면 송곳니가 아주 아주 중요하다는 것을 알지만, 오른쪽 송곳니를 예전에 뺀 것 처럼 왼쪽 송곳니를 빼서 좌우 균형을 맞추는 것은 어떨까요? (교정을 해도 오른쪽 작은 어금니의 신경치료를 해서 송곳니처럼 만들어야 균형이 맞게 되니까 여쭤봅니다. 기능상 별 문제는 없다하셔서 웬만하면 그냥 작은 어금니 모양 그대로 사용하려고 생각하고는 있습니다.)
5. 예전 모 대학병원에서 천문학적인 수 분의 1에 해당하는 사람은 교정기를 끼면 이유없이 이가 빠질 수도 있다고 해서 겁 먹었었는데, 오른쪽 위 이들이 심하게 흔들거리네요. 한달이 휠씬 넘게요... 교정기 착용 전에는 윗니와 아랫니가 꽉 물면 정확하진 않았지만 맞물렸는데, 지금은 두 세군데만 닿네요. 씹을때 어느 한 이가 걸리는데 그래서 그 이가 유난히 많이 흔들려요. 실수로 꽉 깨물다 빠지지는 않을까 걱정도 된답니다.
교정 중에 일어날 수 있는 일인가요?
6. 임신을 계획 중인데 발치하고 약을 먹나요? 그럼 얼만 후에 임신 계획 할 수 있나요?
발치할 때 쓰는 마취약 관련해서도 궁금합니다.
7. 만약 발치를 한다면 치아수가 위 12개 아래 14개 잖아요...
장기적으로 씹는데 문제가 생기지 않을런지요?
8. 위 아래 이 개수가 달라 장기적으로 얼굴 모양이 변하는건 아닐런지요?
얼굴 모양이 달라져서 속상해 하시는 분 계시든데요...
혹여나 턱에 문제가 생기지는 않을런지요?
혹시 생길 수 있는 문제가 있으면 알려주세요!
9. 아랫니는 발치를 안 하고 교정하기로 했습니다.
매복 사랑니를 뽑으라고 하셨는데, 엑스레이를 찍으니 신경이 근접하게 지나간다고 위험하다고 하시네요. 여태까지 아프지 않았다고 하자 그냥 두고 보자고 하십니다. 타 치과에서는 사랑니 빼고 후방 이동한다고 하셨는데, 지금 치과에서는 2번치아를 조금 갈아서 교정을 해 주신다고 하네요. 치아가 잘 펴 지면서 교정도 잘 될까요? 넘 삐뚤해서 걱정이 되네요.
매번 장문의 질문에 정말 진심으로 미안한 마음 가득하답니다.
하지만 답글에 정말 정말 진심으로 감사드립니다.
속상해 해도 이젠 소용없지만, 한쪽 송곳니 없이 교정을 하려니 고민과 걱정의 연속입니다.
철사맨 님의 조언을 듣고 발치해야 한다면 용기를 내 보려구요.
부탁드려용~!
즐거운 하루 되세요*^^*


2. 교합은 분명히 문제가 됩니다. 현재도 위아래 앞니가 닫지 않네요.
3. 글쎄요. 사진 만으로는 판단하기 어렵네요.
4. 가능하면 주치의 선생님과 상의하시는 것이 좋을 것 같습니다.
5.네... 안빠집니다.
6.발치할 때 사용하는 마취제는 혈관수축제가 들어가 있어서 임신 중기
때 이외에는 사용하지 않는 것이 좋습니다.
7. 문제가 없으니 교정학 교과서에 실렸고, 백년 가까이 교정치료를 해왔겠지요?
8. 문제 없습니다.
9.이 정도면 치를 갈아서 해결을 할 수는 있지만, 갈아내는 양이 조금은 많겠네요.
가능하면 소구치 발치하시는 것이 좋겠네요.