안녕하세요!
교정에 대해서 고민을 많이 하다가 너무 무지한 상태에서 교정기를 끼고 이 싸이트를 알게된 35세 딱한 주부입니다.
저의 궁금증 풀어주세요!
십여년전에 모 대학치과병원에서 교정정밀 검사 후 상담을 받았습니다.
턱뼈가 약 1.5cm 비뚤다고 교정을 하려거든 턱을 깍고 하라고 그냥은 안 된다고, 그리고 아주 많은 수치분에 1이지만 교정기를 끼면 이유없이 이가 빠질수도 있다는 엄청난 이야기를 듣고(겁이 엄청 많아요) 오른쪽의 심한 덧니 송곳니를 빼고 그럭저럭 살았습니다.
송곳니를 뺄 당시 약간의 치아 공간이 있었는데 그것이 문제가 되어 가지런하던 아랫니도 틀어지고 윗니도 이상해지고 미소에 점점 더 자신감을 잃어가던 중 교정을 결심했습니다.
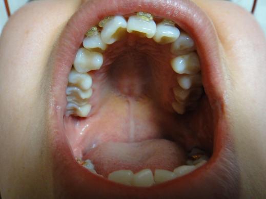
저의 치아 상태를 사진으로 올립니다.
<정면사진 - 턱이 삐뚤죠>
<왼쪽 얼굴>

<오른쪽 얼굴>

<정면 위, 아래>

<윗 니>

<아랫니>

이런 상태입니다.
가끔 치과에 가서 교정 상담을 받으면 얼굴 중심선을 맞추기 어렵다고 하였습니다.
그러던 중 B치과에서 중심선을 맞추어 준다기에 선뜻 혹 하였고, 교정 비용도 타 병원보다 쌌기에 교정을 시작하게 되었습니다.
다녀본 병원 비교
A치아교정 전문병원 : 위 왼쪽 작은 어금니 발치, 아래 사랑니 발치 후 후방 이동, 스피드 브라켓, 14개월 소요.
B치과 : 위 왼쪽 작은 어금니 발치, 아래 5번 치아 2개 발치, 메탈 브라켓, 24개월 소요.
연이 안 닿을라고 그런것인지 A치과에서 상담시 중앙선을 못 맞춘다고 해서 맘을 접고 B치과에 간 것인데, A치아교정 전문병원에 미련이 남아 인터넷 상담을 하였더니, 윗니는 중앙선을 맞추고 아랫니는 1m차이가 날 수 있다고 합니다. 그런 것이었다면 전 단연 A치아교정 전문병원에서 교정을 하였을 것입니다.
하지만 지금은 B치과에서 교정 장치를 달고 일부 거액도 지불한 상태입니다. ㅠㅠ
궁금증 질문합니다. 넘 많아 죄송합니다.
1. 교정기 달고 치과을 옮기는 경우가 있나요?
2. B치과 교정샘한테 아랫니 안 뽑고 사랑니 뽑고 뒤로 당겨 달라면 넘 실례인가요?
(이가 튼튼하지 않은 터라 하나라도 지키고 싶은 간절한 심정입니다. A치아교정 전문병원에선 위 어금니 뒷부분과 아래 어금니 앞부분이 맞 닿아 걱정 하지 않아도 된다고 합니다. - 상담 시 재차 질문하였는데 서로 의사소통이 잘 안 되었고 지금은 그것이 안타까워 울고 싶은 심정입니다.)
3. 기존의 오른쪽 송곳니를 뺀 것과 이번에 발치할 치아 3개, 이렇게 모두 4개 발치하면 턱이 들어가지 않을까요?(이 싸이트의 내용을 보니 그런 내용이 있어 그것도 걱정돼서 질문합니다.)
B치과에서는 제 입이 약간 돌출이라고 하던데요, 돌출인가요? 그런데 전 이 상태도 만족합니다. 치아만 곱게 펴 진다면요.
4. 저의 경우는 4, 5번 양쪽 둘다 조금씩 충치치료를 받은 상태입니다. 보통 4번치아를 발치하던데, 5번을 발치하면 얼굴형이 어떻게 달라질까요? 걱정스럽습니다.
5. 교정을 하면 그 효과로 왼쪽으로 비뚤어진 턱이 조금 오른 쪽으로 가게 되지 않을까요? 오른쪽으로 간다면 얼마나 교정될수 있을까요?
5. 교정 샘이 왼쪽 송곳니 자리 이의 신경치료를 하고 송곳니처럼 깍으면 심미적으로 좋다고 하십니다.
송곳니가 없는 것이 속상하지만, 그래도 신경까지 죽이면서 갈고 싶지는 않은데요, 그냥 그대도 살아도 아랫니의 교합에 문제가 되지 않을까요?
6. 저같은 경우 B치과에서 스크류를 한개정도 한다고 했는데, 그럼 대칭이 안 맞을 것 같습니다. 철사맨님이라면 어떤 진단을 내리시겠어요?
같은 이를 보고 샘들이 다 다르게 이야기 하시니 불안합니다.
더군다나 B치과는 교정시작부터 불신을 안겨주네요. 석고 치아를 못 찾아 다른 사람것을 놓고 내 것이 아니라니 다시 한참만에 찾아오고, 정밀 검사때 재료가 없었다면서 교정기 끼는 날 파라핀 같은 것을 꽉 물리고, 충치가 있나 봐 준댔으면서 교정기 부터 덜컥 달고 나중에 질문하니 다음에 오면 충치여부 봐 주겠다고 하네요.
상황이 이러한데 교정 원장샘이 일주일에 한번 오는데, 저의 자료를 면밀히 검토해 봤을까라는 의구심마저 듭니다. 뒤늦은 후회로 잠도 설치고 낮에도 온 신경이 다 곤두 서 있고 가슴이 터질것만 같습니다.
교정샘이 상주하지 않아 약간 걱정이 많았는데, 간단한 문제는 치위생사가 해 준다고 해서 맘을 놓았었는데 ...3일 오전 와이어가 빠졌는데, 예약이 다 찼다며 14일에 오라는 것을 우겨서 9일날 문열기 전에 가서 접수하고 얼굴 보기로 했어요. 상담때완느 다르게 샘이 주 1회 요일 정해서 오시더군요 ㅠㅠ 상담때는 매주 목과 토는 격주라더니... 목요일도 격주네요 ㅠㅠ
며칠전 다급한 마음에 글 올렸는데 삭제하고 , 부끄럽지만 용기내어 사진과 함께 올립니다.
도와주세요! 아랫니 꼭 지키고 싶어요. 간절합니다.
필요하시면 치아 엑스레이 사진도 보내드릴께요. 부탁드립니다.

