철사맨님 치아교정이 잇몸에 미치는 영향이 궁금해여...
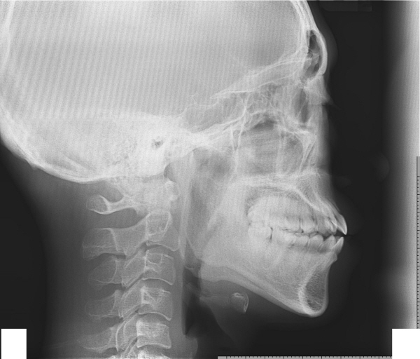
제가 지금 치아교정하는 중인데 엑스레이 사진 상태거든요...
요즘은 치아 교정으로도 잇몸돌출을 꽤나 해소시킬 수 있다고 들었는데여
제 경우에 스크류를 심어서 상악과 하악을 최대한 강하게 당겨서 잇몸뼈를 후방으로 이동시킬 수 있을까요??
현제 발치한 상태구요 하악은 턱끝 말구 잇몸뼈만여...꼭 가능했으면 좋겠어요....ㅜㅜ
그리고 밑에 사진은 교정치료만으로 효과를 본 사진인데 교정 전 상태가 육안상 저랑 꽤 비슷한거 같은데
저 사진처럼 변화 가능할지도 궁금해여...ㅜ

