질문있어요!!
현재 세라믹 교정기 부착한지 4일되었는데
부착한 첫날 저녁부터 아래쪽 앞니중 왼쪽이가 아프기 시작했어요
교정기 붙이면 아플거라는 걸 알고는 있었지만
너무아파서 결국 못참고 다시 치과에 갔답니다ㅠ,ㅠ
너무 아프다고 했더니 의사선생님이 브라켓을 묶어 놓은 철사를 제거해주더라고요
그러더니 그날은 조금 덜 아픈 듯 하였는데 ,,,
그 철사가 브라켓 중간의 홈에 어정쩡하게 한쪽만 걸려서
안그래도 약간 비뚤어난 이가 더 옆으로 돌아가는 느낌을 받으면서,
아래에서 위로 압력을 가해 이가 위로 솟구쳐서 뽑힐 것 같은 느낌을 받습니다,
그러더니 이제는 막 아프고 흔들리면서 혀로 이를 건드리면 짤깍짤깍 소리가 나네요;;;
아! 그리고 요 문제의 이 옆의 이는 의사선생님깨서 처음부터
브라켓만 달고 철사는 연결을 안해놓으셨더라고요~
근데 또 제가 임의로 이 이에 철사를 걸어보니
현재 아픈 이는 안아프고 아픈이 옆의 이가 또 위쪽으로 힘을 받더군요
교정을 이제막 시작해서 겁도나고
요 이 때문에 또 치과에 가기도 그렇고 해서 질문합니다!!
원래 이정도로 아프고 흔드리는게 정상인가요?
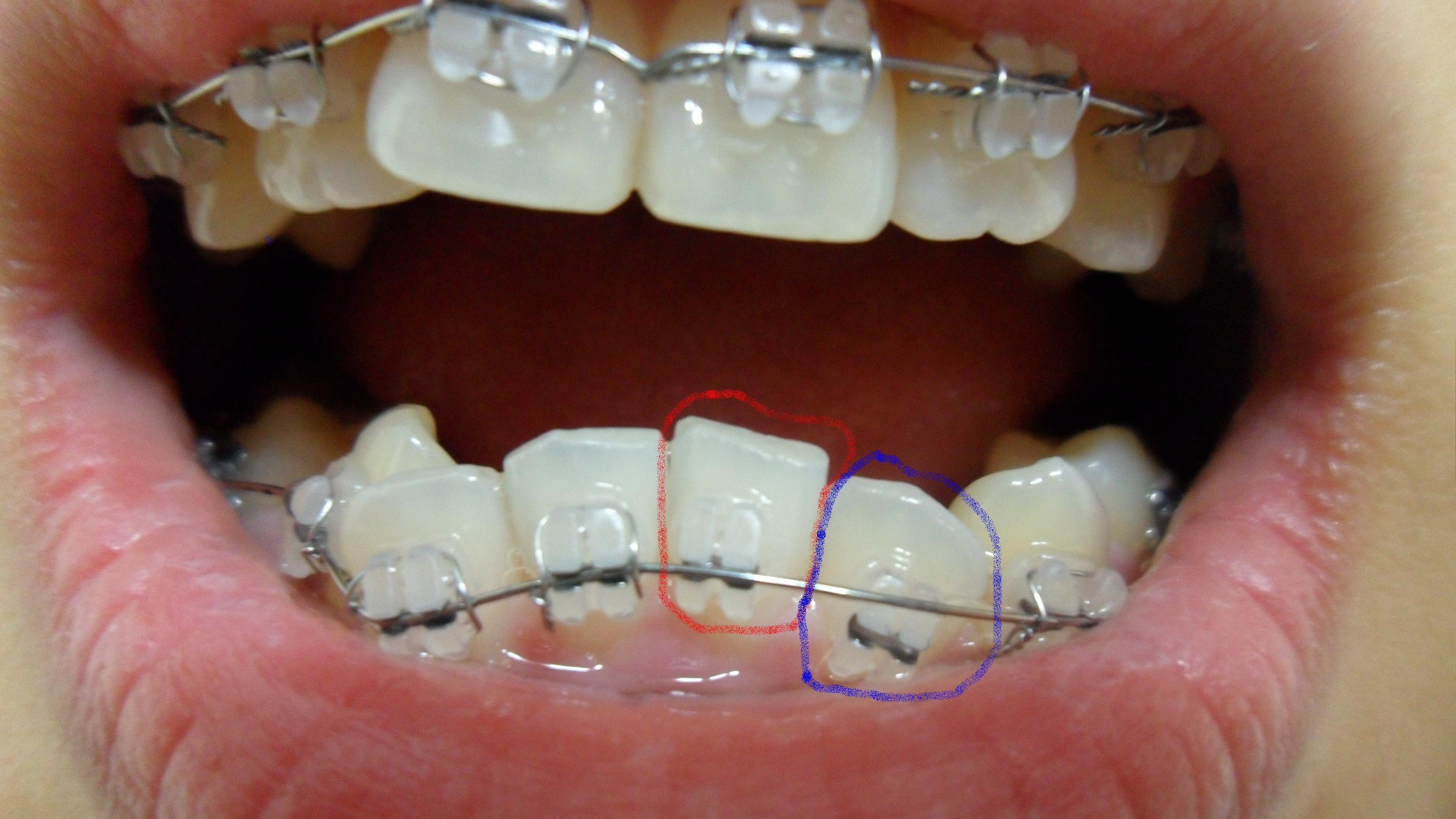
아래 사진 참조합니다~
빨간것이 문제의 이고 파란것이 그 옆의 연결되지 않은 이 입니다~


교정초기에 일어나는 자연스런 증상 같습니다. 수일 후면 괜찮아질 것 같습니다. 두꺼운 철사가 들어가는 몇달 후에는 적응이 다 되있을 것 같습니다.