교정을 그만하자고 하시는데요...

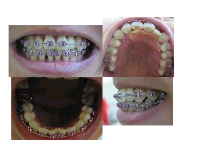
윗니를 해 넣을 공간이 맞았으니 이제 윗니 교정장치는 떼도 되겠다고 선생님께서 말씀하시네요.
아랫니는 늦게 시작해서 아직 진행중이고요.
걱정이네요.
제 생각에는 아직 중심선도 안맞고
(이건 물어보면 분명 이가 빠진 공간을 줄이려고 어쩔수 없이 움직인건데 그냥 살아라 할 것 같아요...)
결정적으로 옆모습을 보면 앞니가 아직 돌출인 채로 그냥 있는데
왜 그만하자고 하시는건지...
애초에 저는 빠진 이를 해 넣기 위해서 치아를 움직여 넓은 공간을 좁게 하기 위한 목적도 있었지만
덧니와 엉킨치열도 고치고 또 돌출도 함께 교정하고 싶었거든요.
그리고 블랙트라이앵글도 없애고 싶었구요.
처음에 분명 돌출교정 하고 싶다 말씀 드렸는데
발치를 해야되냐 물어봤을 때 그 공간을 감당할 수 없으니 발치는 안한다 하셨었고요...
이제 제가 이를 뒤로 넣지 않으실거냐고 물었더니
공간이 없어서 뒤로 넣을 수 없다고 하시는군요.
속터져서...
그러니까 선생님은 간단한 치열교정 정도로만 생각하고 계셨던것 같아요... 속상해요.
믿었던 선생님을 원망하게 되는것... 너무 싫군요.
제가 여쭙고 싶은것은
1. 제 현재의 치아상태를 보시고 선생님의 전체적인 고견 부탁드리고요...
2. 현재로서는 제 치아가 더이상 뒤로 움직일 공간이 없는거죠?
3. 더 움직여서 뒤로 들어가게 할 수 있는 여지가 있나요? 예를들면
치아사이를 간다든가 하는 방법으로요.
4. 만약 지금 상황에서 발치를 하고 제가 원하는대로 해 달라고 요구를 해도 될까요?
(혹시 턱까지 나온 사진이 필요하시면 다시 올릴께요.)
저는 좀더 안으로 모인 이가 되었으면 좋겠거든요.
너무 속상해서 글도 횡설수설 하는것 같고...
뭐가 물어보고 싶은건지 생각도 잘 안나네요.
이제 교정을 그만두면 더 늙기 전에 언제 교정을 하나... 싶기도 하구요... 울고싶어라....
속상해요... ㅜㅜ


는 것이 시간이 걸려도 더 좋을 것 같습니다. 치아사이를 가는
법으로는 현재 아랫니의 경우 틀어진 정도만 개선할 수 있을 뿐
입니다. 하지만 샘께서 발치교정을 허락하실지... 첨에 충분히
의견을 표시하고 하셨어야 했는데...