치아교정 자가진단 TEST
치아교정이 필요한지 궁금하시거나
나는 어디에 해당되는지 궁금하신 분들을 위해
오늘은 스스로 진단해볼 수 있는
치아교정 자가진단 TEST를 준비해보았습니다.
아래 항목 중에서 해당되는 것이 있다면
치아교정이 필요할 가능성이 높습니다.
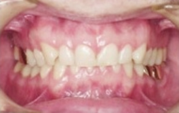
1. 치아배열이 삐뚤삐뚤 불규칙하다.
2. 치아 사이에 틈새가 있다.
3. 앞니가 튀어나와있다.
4. 입을 자연스럽게 다물 수 없다.
5. 실을 이용해서 미간-코가운데-윗입술가운데-턱끝의 가운데를 연결하고
살짝 "이~" 하고 입을 벌렸을 때 윗니와 아랫니의 가운데가 일치하지 않는다.
(위, 아래 치아 중심이 삐뚤어져 있다.)
6. 정상 치아개수보다 모자라거나 많다.
(치아의 개수는 위, 아래 중심선을 기준으로 좌, 우 7개씩 총 28개로
사랑니가 모두 났다면 32개이다.)
7. 옆모습에서 코끝-턱끝을 연결한 선이
입술보다 살짝 안으로 오지 않거나, 선에 입술이 닿는다.

8. 어금니를 맞물었을 때 윗니가 아랫니를 2mm이상 깊게 덮고 있다.
9. 어금니를 다물었을 때 위, 아래 앞니가 맞물리지 않고 열린 상태이다.
10. 위턱에 비해 아래턱이 앞으로 나와있는 주걱턱,
혹은 위턱에 비해 아래턱이 뒤로 들어가 있는 무턱이다.
11. 입을 가장 크게 벌렸을 때 손가락이 2개이상 들어가지 않는다.
12. 입을 벌리거나 다물 때 귀 앞쪽에서 "딱" 하고 소리가 난다.
치아교정 자가진단 TEST는 참고용으로 봐주시고,
정확한 진단은 치아교정치과에서 상담받으셔야 합니다. ^^
답글