드디어 마지막 턱관절+치아교정후기를 쓰네요.
죄송합니다. 많이 늦었죠?!ㅠㅠ
뭔가 많이 알려드리고는 싶고 치아교정을 마무리한다고는 했다가
계속 미뤄져서 어쩌다보니 이렇게 됬네요.
그래도 유종의 미를 거두고자
정성껏 치아교정후기를 썼으니 재밌게 봐주시면 감사하겠습니다.^^
1. 교정 마무리가 늦춰진 이유-환자의 고집
마무리 당시 제 희망은, 좀 더 고무줄을 열심히 껴서
어느 정도 송곳니가 내려옴으로써 빈 공간이 줄이고 싶었지만
상악 송곳니 앞뒤로 블랙트라이앵글이 심해졌고
잘못하면입이 들어가 합죽이처럼 보일 것 같은 우려에
이 정도로 만족하고 교정장치를 풀었습니다.
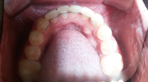
(25화 3월 중순 촬영 아래에서 위로 찍은 사진)
이 부분에 대한 우려는 오로지 제 생각과 판단이었으며,
병원에서는 일회용 고무줄로 더 이상 진전이 없을 것이라는 판단 하에
마무리를 하자고 제안했으며 저는 이에 동의하고 교정장치를 풀었습니다.
교정장치 제거 예상일은 2016년 3월이었으나, 6월말에 풀었네요ㅎㅎ
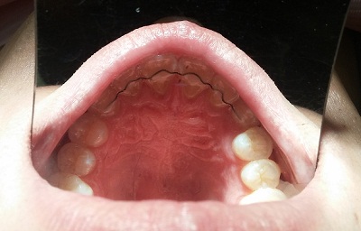
(27화 교정장치 제거 후 촬영, 아래에서 위로 찍은 사진)
설명:
이렇게 사진으로 보니 확연한 구분은 가지 않지만
현재 오른쪽 부분이교정장치를 제거 했음에도 불구하고 살짝 떠 있죠..?
현재 이 부분(빨간부분)이 병원과 저와의 만족선? 합의점?이라고 해야 될까요?
일단 치아배열은 웬만해서는 중심선에 맞추기 힘든 상악·하악이 일치 되었고
치간 사이도 틈 없어 음식물이 치아 사이로 끼지 않아 잘 마무리 되었다고 생각합니다.
다만, 제 욕심 같아서 송곳니 부분과 앞니 부분이 서로 교합이 되었을 때,
뜨는 부분이 없이 빈 공간을 메우고 싶었으나,
치아교정을 마무리하던 약 3달간일회용 고무줄을 착용했음에도 불구하고 완전히 닫혀지지 않아
원장쌤과 상의 끝에2014년 10월 1일 교정장치를 부착했고
2016년 6월 28일부로(약 21개월) 교정장치를 뺐습니다.
2. 치아교정 소요기간
스플린트 일수: 2014년 6월 9일~9월19일 (약 3개월/ 스플린트장치교정 5회)
치아교정일수: 2014년 10월 1일~ 2016년 6월 28일 (약 21개월/ 교정체크 22회)
총 소요 기간: 약 25개월
2-1. 교정장치제거소요시간-약 2시간 30분
(1) 1차 치아 본뜨기
앞니 위아래 안쪽 유지장치를 위해 치아 본을 떴어요. (장치제거 일주일 전 미리 본을 뜸)
(2) 교정장치 제거
그냥 펜치(?)로 와이어와 브라켓을 통째로..뜯어서 제거.
자, 여기까진 괜찮았음. 견딜만 했음. (뭐야, 제거 별거 아니네)
(3) 접착제 제거
(브라켓을 치아에 붙이려고 바른 접착제 제거 단계)
음... 이건 뭐랄까..
부직포를 부착한 드릴로치아 표면을 갈아버리는 느낌!
이건 마음 편히 마인드컨트롤 한다면 버틸만한데
(벽에 손톱 긁는 소리 못견디는 사람은 고통임),
아무래도 붙어있는 접착제를 제거하다 보니 치아를 누르면서 제거해서 아프더라고요.
특히 송곳니 부분... 하... 이 단계가가 제일 체감 시간이 길고 아팠습니다.
이때 환자와 치위생사분과 함께 손발이 잘 맞아야 그나마 수월하게 끝납니다.
환자는 최대한 좋은 생각, 다른 잡생각을 해야 합니다.ㅋㅋㅋㅋ
치아는 절대로 갈리지 않으니 걱정마시고 ㅋㅋ(전 여쭤봤네요.. 혹시 갈리지 않을까하고 ㅋㅋㅋㅋ)
그리고 시간이 약 30분정도 소요되는 만큼
오래 턱을 벌리고 있으니 중간 중간 손을 들어
천천히 성급해하지 말고 치료 받으세요.
어차피 시간은 갑니다. 그러다보면 끝나 있어요.
(4) ‘1차 본뜬 것’을 토대로 앞니의 안쪽 위아래 유지장치를 붙임.
이때 치아 안쪽에 유지장치를 붙일 때 침이나 물이 들어가면 안되서
끝날 때까지 혀를 말고서 입을 벌리고 있어야 합니다.
약 10~15분 정도 걸립니다.
(하악 안쪽 고정식 유지장치)
(상악 안쪽 고정식 유지장치)
(5)2차 본뜨기(상악만)
이것은 일주일 뒤 제대로 된 본격 유지장치 받기 전, 일주일 동안만
잠시 역할보조를 해주는 임시유지장치를 만들기 위한 작업입니다.
(6) CT촬영함.
(7) 스크류 제거
스크류제거는 생각보다 덜 아팠네요. 처음 잇몸에 식립할 때보단 덜 아파요..ㅎㅎ
빼고서 소독하는데 왠지 간지러운 부분 긁어주듯 시원한 느낌마저 들더라고요 ㅋㅋ
(8) 임시 유지장치 끼고 빼는 요령 배우고 끝!
별 다른 요령보다는 뺄때, 양손 손톱을 이용해서 빼고
보조장치라서 변형될 가능성이 있어
뜨거운 물에 씻거나치약으로 세척하는 것은 금물이라고 하더라고요.
(탈착식 임시 유지창치)
(9)일주일 뒤 탈착식 본격 유지장치를 받음
이 녀석으로 당분간(약1년쯤) 24시간 식사 제외하고 모든 시간에 끼우고 있기!
(레알 탈착식 유지장치-변형되기 쉬어 소중히 다뤄달래요..ㅋㅋ)
병원에서 받은 유지장치 주의사항입니다.
치아교정후기를 마무리하는 마음가짐으로 자세히 쓰다보니 너무 길어졌네요;
나눠서 올려야겠습니다.
조만간 치아교정후기- 교정끝 2탄 들고 오겠습니다~ㅎㅎㅎ
+아 아래 링크를 클릭하면 저의 지난 턱관절+치아교정후기를 볼 수 있습니다~
그리고 홈페이지 상단에 '우리들의 교정일기'를 통해서도 확인하실 수 있습니다~
