[돌출입교정후기] 킬힐의 돌출입교정후기 chapter36. 상악 와이어 교체 및 하악 파워체인 그리고 고무링 달기
안녕하세요~
올해의 6월 월치료도 잘 받고 와서 돌출입교정후기 올립니다.
이번에는 이전까지보다는 조금 다른 돌출입교정 월치료를 받고 왔어요.
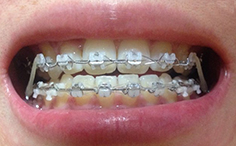
하나는 음식을 먹다가 하악에 교정기를 고정 시켜놓은
얇은 철사 와이어가 끊어져버려서 다시 감았고,
두번째는 상악에 했던 파워체인을 하악에 했어요,
하악에 끊어진 얇은 철사와이어는 제거한 후
파워체인으로 하악은 감았어요,
그리고 파워체인을 달았던 상악에는
파워체인을 제거 후 얇은 철사 와이어로 감아주었구요
마지막으로 고무링도 이번달에 진행하는데
이번엔 고무링 가는 위치가 한칸씩 앞으로 변경되었어요 ㅎㅎ
진료받으면서 원장선생님께 살짝
얼마나 후에 교정장치 뺄수 있을까요? 하고 여쭈었더니
두 달 정도 후면 교정장치 뺄것 같다고~ 이얏호!!!!!!!!!!!
2년 반정도 돌출입교정을 했는데
어려운케이스에 비하면 빠른편이라고 하시더라고요 ㅎㅎㅎ
한걸음 더 돌출입교정 마무리에 다가간 느낌입니다. ㅎ
그러면 다음 월치료도 잘받고 와서 교정후기 올릴게요~!
