킬힐의 돌출입교정후기 chapter34. 상악 와이어 교체 및 파워체인 그리고 고무링 달기
안녕하세요. 돌출입교정후기 가져왔어요~ㅎㅎ
이번4월 월치료도 잘받고 왔습니다. ^^
요즘은 월치료 받고나서 열심히 고무링 걸고 있는 중입니다. ㅎㅎ
이번 월치료 땐 체크해주시면서
원장선생님이 생각보다 많이 안움직였다고 하셨어요 ,,ㅠㅠ 흐엉
더더욱 열심히 잘 챙겨서 고무링을 걸어야겠다는 다짐을 하게 됐어요.
열심히 할수록 다 제게 좋을 일이니 선생님 말씀 잘들어야지요 ㅎㅎ
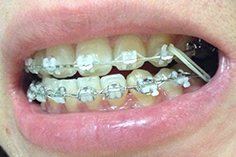
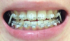
교합 맞추는것때문에 하악은
현재 몇달동안 고무줄로 고정시켜 유지하고 있고
상악에 대해서 파워체인을 교체하고
고무링을 이용해서 교합을 맞추고있어요 ㅎㅎ
저번달에는 왼쪽치아에만 고무링을 걸었지만
이번 월치료를 받고와서는 양쪽에 같은 크기의 고무링을 걸게되었어요.
양쪽으로 한번에 진행하니 힘을 더많이 받게되겠지요?
조금 아프고 당겨도 착착 진행될 교정을 생각하면서
열심히 고무링과 함께 해야할거같아요 ㅎㅎ
계속 추워서 봄은 언제 오나 했는데
벚꽃이 피고 지는 건 순식간인 것 같아요..ㅠㅠ
다음 월치료도 잘 받고 와서 돌출입교정 후기 올리겠습니다~~
