3월 26일
와.. 치아교정후기 너무 오랜만에 쓰네요 ㅠㅠ
달력 보니까 3월에 다녀온 걸 이제야..ㅠㅠ
이번 치아교정후기 전에는 두 번의 월치료를 다녀왔습니다.
한 번은 체크만 받고 아무것도 하지 않아서
치아교정후기를 같이 쓰게 됐습니다.ㅎㅎㅎㅎㅎ
예상대로 개강한지 얼마 되지 않아서 정신없을 것 같다고 생각했는데
‘혹시나’가 ‘역시나’하고 느끼네요ㅠㅠ
아직까지 옷장에 겨울 외투가 수두룩한데 벌써 벚꽃이 피고 지려고 하는 걸보니
시간은 진짜 화살처럼 지나간다는 것이 피부에 와닿습니다.
치아교정후기에 앞서 근황 보고 먼저.....ㅎㅎ
잘 지내셨나요?
저는 사실 기쁜 일도 있었고 슬픈 일도...있었습니다.
기뻐할 새도 없이 전혀 예상치 못한 소식에 쫌 충격을 받았습니다.
그래도 지금은 많이 좋아져서 이렇게 다시 정신 차리고
치아교정후기를 쓰게 돼서 좋네요!!ㅎㅎ
모든 것에 시작이 있으면 끝이 있듯이 어쩌면 당연한 것이라 여기며 살아왔다가
처음으로 겪어본 이별이라 그 당연함이 당연한 것으로 받아들이기가 힘들더라고요.^^
이번 25화 턱관절+치아교정 월 치료는 크게 변한 것이 없다만
이해를 돕기 위해 사진만 많습니다. ㅋㅋ
눈으로 사진만 보셔도 ‘아....... 저거, 저거 했구나.’ 금방 아실 수 있습니다.ㅋㅋ
그래도 치아교정후기 글로 정리해드리고 고것만 보시고 지나가시면 됩니당~ ^ ^
치료내용
-하악 파워체인 엇갈려서 걸어놓기(후기 23화와 같은 치료),
-하악 스프링 + 덧대기(잇몸이 눌리지 않게)
-고무줄착용하기(전 치료와 동일)
현재 교정진행상태
-중심선 99% 맞은 상태!!
-하악 파워체인으로 치아끼리 꽉 조여서 마무리로 가는 중!!
-일회용 고무줄로 치아를 다물 때, 뜨는 공간이 없게
상악 송곳니와 하악 송곳니를 당기는 중!!
22화 치아교정후기를 보시면 아시겠지만,
원래 제가 3월즈음 교정기 풀 예정이라고 신나게 떠들어댔는데
예상과 달리 지금까지 교정기를 착용하고 있는 이유는....
저 같은 경우 상악을 중심으로 하악을 맞추기로 하여
스프링으로 전체적으로 상악중심선을 향해 스프링장치로 당겨놓고 있었습니다.
딱 맞아서 풀었다가 한 달 사이에 다시 회귀본능에 의해 돌아가는 겁니다..ㅠㅠ
그래서 다시 스프링 걸고 당기느라 길어지게 된 듯합니다.
그리고 제가 일회용 고무줄을 열심히 착용을 하지 않아 늦어진 것도 있습니다.
지금은 다행히 중심선도 다시 맞고 사진을 보시면 아시겠지만 교합이 거의 맞는 듯합니다.
그래도 희소식은 4월 말 중간고사가 끝나고 또 월 치료를 받으면 상태를 보고
교정장치를 뗄 날짜를 잡자고 원장 쌤께서 말씀하셨습니다.
처음 교정장치를 뺄 생각을 해 조바심이 났지만 여러분들의 조언들 때문에
치아교정을 처음 마음 먹었던 초반의 마음으로 천천히 완벽히,
잘 마무리하기로 다시 상기했습니다.
자, 이제 교정사진을 보시면서 감상해주세용
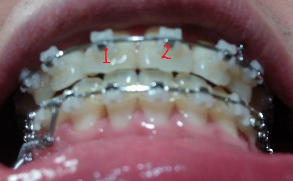
[정면]
[아래서 본 정면1]
[아래서본 정면2]
[스프링 정면]
[스프링 옆면]
+스프링사이에 또 다른 쇠기둥 보이시죠?! 저건 스프링이 잇몸에 닿아서 짓눌리지 않게 하기 위해서 해둔 조치랍니다.(제가 눌려서 아프다고 호소했더니 저런 방법으로 해주셨어용^^)
[스프링아래서 본]
[고무줄 정면]
[고무줄 왼쪽]
[고무줄오른쪽]
25화 끝~
그럼 다음 치아교정후기에서 만나요~~
+아 아래 링크를 클릭하면 저의 지난 턱관절+치아교정후기를 볼 수 있습니다~
그리고 홈페이지 상단에 '우리들의 교정일기'를 통해서도 확인하실 수 있습니다~
