[치아교정후기] 쏘엘의 돌출입 치아교정후기 #29. 바이트블럭 제거
안녕하세요:) 킬본교정 중인 쏘엘의 돌출입 치아교정후기 입니다.^^
처음 교정시작할때 언제 시간이 지나가나했는데 어느덧 교정한지 2년이 되었습니다.!
돌이켜보니 시간 참 빠르거 같아요. 2년안에 끝나는게 바램이였지만 ^^;;
쉽지않은 저의 케이스상 생각지못한 일들도 있었고
월치료를 제때 못가서 늦어진것도 있는거 같아 반성도 좀 해야할것같고.. 하하하
힘들었던적도 좀 있었는데 지나고보니 별게아니구나 싶어요.
앞으로 남은 기간동안 더 파이팅해서 돌출입교정 잘 마무리 될수 있도록 열심히 달려볼렵니다.^^
자. 그럼 스물아홉번째 치아교정후기 시작해요~~~
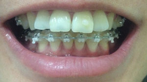
이번 월치료에 상악 앞니에 있던 바이트블럭 제거했어요.!!!
생각지못했던건데 원장님께서 바이트블럭 제거합시다. 이러시는데 아 너무 행복했어요 정말ㅋㅋㅋ
다른 교정하시는분들과 다르게 전 상악 앞니에 바이트블럭이 부착되어서
사실 살짝살짝 보이는게 좀 신경쓰이긴 했었거든요..
교정장치는 설측교정장치이다보니 교정장치는 안보여서 교정하는줄은 모르는데
바이트블럭때문에 치아가 참 특이하다고 느끼는분들이 많더라구요
그래서 은근히 신경쓰였던 부분이였는데 제거한다고 하니 마냥 좋았던거 같아요^^
근데 막상 제거하고보니 크게 달라지는걸 못느껴요
너무 잘 적응하고 있었나봐요.... 이런 미친 적응력ㅋㅋㅋ
치과에서 바로 제거했을땐 살짝 어색했는데 금새 또 적응해서
원래 바이트블럭이 있었나 생각이 들정도에요.
바이트블럭 제거하고 하악에 와이어교체해주고 파워체인 새로 연결했어요.
하악은 이제 발치공간이 많이 닫혀서
상악 발치공간이 닫히는데로 일반교정장치로 교체하지않을까 싶어요~
확실히 치아가 많이 가지런해졌죠???!
오른쪽 옆모습을 보면 아직 발치공간이 남았다는게 느껴져요.
완전히 입툭튀에서 벗어나지 못했죠. ㅜㅜ
그렇지만 치아교정 전후 사진을 비교하면 많이 변했어요.!
당당히 옆모습 사진을 찍을 수 있는 그날을 기대하며~~~~
다음 월치료 후 서른번째 치아교정후기로 만나요.^^
치과에서 교정한지 2년정도 된 분들에게 설문지를 주시더라구요.
저도 이번에 설문지 작성하고 왔어요.
교정받는동안 느꼈던 점이나 앞으로 궁금한점 등의 질문이 있었구요~
치료전에 간단히 설문지 작성하고 끝나면 소소한 선물 받아가시라고 하셨는데
그게 바로 커피 쿠폰! 진료끝나면 바로 커피숍으로 달려갈려고했는데
덕분에 따뜻하게 커피한잔 하고 왔어요. ^^
얼마나 달라지고 있는지 변화를 위해선 셀카사진이 빠질수 없죠잉~~
근데 최근에 사진을 찍어둔게 없어서...
사진을 찾다보니 하나있는데... 부끄러운 민낯사진이라도....
아 이거 참... 지난번 교정후기에 올린 사진과 너무 비교되는데요ㅋㅋㅋ
그렇다고 뒤로 돌아가셔서 지난 치아교정후기 보시면서 비교하고 그러진 마세요......
같은사람 맞아요....ㅋㅋㅋㅋㅋㅋㅋㅋㅋㅋㅋㅋㅋ
뭐 입안도 다 보여주는데 괜찮다고 생각할려고합니다...하하하
제가 입술이 두꺼운 편인데 돌출입이 어느정도 해소가 되다보니
입술도 많이 얇아진 느낌이에요. 진짜 신기해요
입다문모습이 많이 자연스러워졌어요. 놀라운 변화!
교정이 마무리되면 입술이 더 얇아질런지 궁금하네요. 헤헤
어느덧 2016년 새해가 되었어요. 모두들 새해복 많이많이 받으시고
건강하고 행복한 한해가 되시기를 바래요.
다음 교정후기땐 화장한 모습으로 돌아올께요...^^
해피뉴이어!
