[치아교정후기] 쏘엘의 돌출입 치아교정후기 #26. 하악 와이어 교체와 교정장치부착
안녕하세요:) 돌출입교정 중인 쏘엘의 치아교정후기 입니다.^^
이번 월치료는 추석연휴와 치과 학회일정으로
치과 내원을 조금 늦춰서 다녀왔어요.
이번 월치료를 앞두고 하악 어금니에 교정장치가 탈락하고 말았답니다.....
곰곰히 생각해보니 사과 먹다가 탈락된거 같아요..
사과 참 좋아하는데 말이죠. 교정 중에는 참 먹기 힘든 과일이 되어 버렸어요ㅜㅜ
욕심부리느라 작게 안잘라먹고.. 크게 베어물다가 그만ㅋㅋㅋ
다행히 몇일뒤에 월치료가 잡혀있었기때문에
치과에 따로 연락 안드리고 장치 잘 사수하고 있다가
월치료날 가서 바로 말씀드렸어요.
돌출입교정을 시작한 지 횟수로 교정 2년차에 접어드니
심하지 않을 경우에는 스스로 판단하는 경지에 이르게 되는거 같아요. 하하하
그래도! 걱정되거나 심하다 싶을 경우에는 치과와 꼭 상의하는게 좋답니다.
이번에 저의 경우에는 월치료를 앞두고 있었기때문에 크게 걱정을 안했던거 같아요.
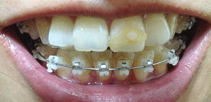
왼쪽 하악 첫번째 어금니 교정장치를 재부착함과 동시에
그동안 제일 안쪽 어금니인 금니로 덮어 씌어진 치아에는 교정장치를
부착하지 않고 있었는데.. 드디어! 이번에 같이 교정장치 부착했어요.
어금니에 교정장치 부착하고 와이어 교체해서 부착했어요.
파워체인은 앞니는 제외하고 어금니쪽으로만 연결해주셨답니다.
상악에 경우에는 상악안쪽에 있는 교정장치와 연결하는 고무줄을 교체했는데요~
현재 상악 어금니들이 많이 이동한 상태이고 발치공간 확보를
거의다 한 상태라고 말씀해주시면서 이제 치아를 밀어 넣어도 될꺼 같다고 하셨어요. 오예!
이번 월치료에 어금니에 있는 스프링을 제거하지 않는 상태이구요
다음 월치료에는 당기기에 들어가지 않을까 생각합니다.^^
현재 저의 경우 치아 발치공간을 확보하기 위해서
상악 앞니가 이동하지 못하도록 잡아두고 있는 상태인데요.
매번 월치료때 상악 앞니가 앞으로 나오는거 같은 느낌이 있는지 항상 물어봐주시는데
그 이유가 혹시나 앞니가 앞으로 뻐드러지거나 움직이게 될 경우
잇몸뼈가 약해지거나 치아뿌리가 짧아져서
치아교정 치료하는데 있어서 안좋다고 하시더라구요.
다행히 이상없이 치료 잘 되고 있다고 하셔서 안심했어요. ^^
하악 발치공간은 거의다 닫혀가는중이에요.
사진으로봐도 많이 닫혔네요.^^
이번 월치료때 치료에 들어가기 앞서 엑스레이 촬영을 먼저 했어요.
원장님께서 엑스레이 촬영해서 치아상태를 제대로 확인해야 겠다고 하시면서 꼼꼼하게 봐주셨어요.
지난 6월에도 엑스레이 촬영을 했었거든요.
자주하는거 아닌가 라는 생각이 들었는데
그만큼 세심하게 봐주시는거 같아 새삼 감동했어요. ^^
이번 월치료에는 생각지 못하게 교정장치가 탈락하게 되어서
교정장치 재부착하느라 오랜만에 진료시간이 참 길었던 날이였던거 같아요.
교정장치가 탈락되지 않도록 조심해야겠다는 생각을 다시하며
요즘 근황사진과 함께 치아교정후기를 마칠까 합니다. ^^
사진 정리하다보니 옆모습 사진 찍힌게 있더라구요.
아직 입이 더 들어가야하지만...
치아교정 잘 끝나고 당당하게 옆모습 사진을 찍길 바라며!
다음 치아교정후기 때 만나요^^
