증산댁의 덧니 치아교정후기 ②④ 액티베이션 ㅋ
안녕하세요 ~~~ 증산댁 치아교정후기 가져왔어요오오호호홍
오늘은 아침부터 비가 엄청 오네요 ~~~ 날씨 진짜 넘 추워요 ~~~
이러다가 갑자기 겨울로 휘릭 넘어가버리는건 아닌지 ㅡㅡ
머 전 겨울을 더 좋아하긴 하다만 .. 웨냐면요 ..
겨울엔 제 생일도 잇고 .. 눈도 오고 .. 제 생일도 잇고 .. 크리스마스도 잇고 ..
제 생일도 잇고 .. 또 .. 제 생일도 잇고 ..
ㅋㅋㅋㅋㅋㅋㅋㅋㅋㅋㅋㅋㅋㅋㅋㅋㅋㅋㅋㅋㅋㅋㅋㅋㅋㅋㅋㅋ
딴거 다 필요없고 제 생일이 다가오고 잇습니다 ~~~
일년중 생일이 이토록 기다려지고 좋은거보면 아직 철이 덜 들엇나봅니다 ;;
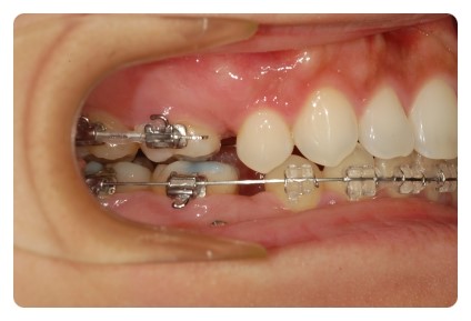
ㅋㅋㅋㅋ 월치료 다녀왔어요 ~~~
상악은 카레먹고 샛노래진 ㅋㅋ 고무줄 교체만 햇어요
아 !! 당기기 용어 생각안낫던거 .. 이번에 월치료 가서 듣고 똑디 기억해왓어요 ㅋㅋ
액티베이션 ㅋㅋㅋㅋㅋㅋㅋㅋㅋㅋㅋㅋㅋㅋ
음 .. 하악 액티베이션을 하고 .. 훗 ㅡㅡv
하악 스크류는 이번에도 쉬는중이에요
참참 하악에 송곳니랑 부딪혀서 윗부분이 깨졋던 치아교정장치 브라켓 두개를 교체햇어요
최근에 술을 하도 마셧더니 잇몸이 엄청나게 부엇어요 ㅠㅠ
막막 철사 밖으로 삐집고 나오려한다는 ;; 이제 신경 좀 써야겟어요 ㅠㅠ
어제 아가들이랑 합정 메세나폴리스 가서 밥먹고 ~~~ 영화보고 왓어요
뮨. 달의요정 봤는데 재밋더라구요 넘 좋아요 ♥
영화와는 또다른 애니메이션 만이 표현할수잇는 예쁜매력이 잇는것 같아요
그럼 전 다음 치아교정후기로 웰컴백 !! 할께요 ㅋㅋ
