[치아교정후기] 쏘엘의 돌출입 치아교정후기 #25. 하악 와이어 교체와 파워체인 부착
안녕하세요:) 돌출입교정 중인 쏘엘의 치아교정후기 입니다.^^
이번 월치료도 지난번 월치료와 크게 다른건 없어요~
치료에 들어가기전 한달동안 불편함은 없었는지 물어봐주셨고
교정장치가 탈락된건 없는지~ 치아상태를 확인해주셨어요.
현재 저의 경우는 기존에 치아 발치공간으로는 완벽한 돌출입 해소가 어려울꺼 같아
어금니를 안쪽으로 밀어 넣으면서 발치공간을 조금 더 확보하고 있는중인데요~
몇개월동안 발치공간을 확보하기위해 스프링 조절을 하는 치료를 하고 있어요.
매번 치아상태를 확인하면서 양쪽 어금니에 부착된 스프링을 조금씩 조절 하면서 발치공간을 늘렸는데요.
이번에는 왼쪽 어금니 스프링만 살짝 조절해주셨어요~ 이제 발치공간이 거의 다 확보된거 같아요.
발치공간을 확보하는동안 앞니는 입천장에 있는 스크류에 고무줄을 연결해서
움직이지 않도록 잘 묶어두고 있는 상태에요.
원장님께서 월치료때마다 치아가 돌출되거나 하는 느낌은 없는지
항상 물어보시는데 제가 둔한건지... 정말 아무런 느낌이 없어요~ㅋㅋ
치아가 돌출되거나 하진 않고 제자리에 잘 있다고 하셔서 다행이더라구요ㅋㅋㅋ
앞니가 튕겨져 나가거나 하면 안되니까요..ㅜㅜ
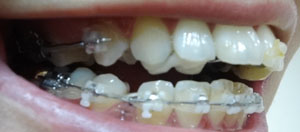
상악 왼쪽 어금니에 스프링 조절을 끝내고~
하악에 와이어 교체하고 파워체인 부착했어요.
와이어가 확실히 더 두꺼워진게 눈에 띄더라구요.

저의 경우는 제일안쪽 어금니가 누워있어 일으켜 세우는 치료와
교합이라던지 스크류 식립 등 여러가지 면에서 쉽게 가는게 하나도 없다고
원장님이 어렵다고 웃으면서 말씀하시는데... 괜히 막 죄송하고ㅋㅋㅋ
(저의 치아교정후기를 꾸준히 보신분들이라면 쉽게 이해하실꺼에요>,<)
그래도 치료 아주 잘되고 있다고 하셔서 뿌듯!하면서도 감사하더라구요.^^
이렇게 못난 치아 치료하시느라 고생이 많으셔요.. 으헤헤
이렇게 25번째 치아교정 월치료도 간단하면서도 알차게 끝났어요!
최근 근황사진 한장 남기며~
쏘엘의 25번째 치아교정후기 마칠까 합니당~~~
치아교정시작하면서 올해안에는 끝났으면 좋겠다라는 생각을 가졌었는데..
지금은 교정기간 생각하지 말고 마음 편하게 갖고 치료에 임하기로 다짐했어요.
빨리 끝내고 싶은 마음은 모두 똑같을테니..
결국 교정기간보단 완벽하게 치료가 잘 끝나는게 중요하니까요~!
우리 함께 즐교해요*_* 다음 치아교정후기때 만나요.^^
