[치아교정후기] 쏘엘의 돌출입 치아교정후기 #24. 상악 스프링 조절과 하악 와이어 교체
안녕하세요:) 돌출입교정 중인 쏘엘의 돌출입 치아교정후기 입니다.^^
치아교정후기가 많이 늦었어요.. 에고고
7월에 월치료를 두번 다녀왔는데.. 요즘 정신없다보니 깜빡했네요ㅜㅜ
늦은만큼 빠르게 시작할께요. ^^
지난번 월치료와 크게 다르진 않아요~
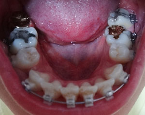
상악 왼쪽 오른쪽 어금니에 부착되어진 오라픽스 장치에 스프링 조절을 조금 더 해주었어요.
돌출된 치아를 밀어 넣기 위해서 발치공간 확보가 조금 더 필요한 상태인가봐요.
이번엔 정말 앞니를 밀어 넣겠지 하고 기대를 하고간거라 살짝 아쉬웠지만
완벽한 치료를 위한 원장님에 세심한 배려이겠죠? ^^
하악에 파워체인 제거하고 와이어 교체했어요~
확실히 하악은 발치공간이 많이 닫힌거 같아요.
파워체인은 부착하지 않았고, 와이어만 교체해서 부착했어요.
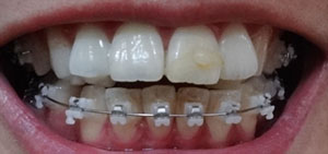
그리고 마지막에 치아사진 찍어주고 치료가 끝났답니다.!
치아사진 찍는건 이젠 일도 아닌거 같아요.
돌출입교정을 시작하던 초창기때는 입을 쫙쫙 찢는게 조금 힘겹더니
이젠 완벽 적응해서 순식간에 찍고 나오는거 같아요 헤헤
이렇게 간단하면서도 알차게 월치료가 끝났네요.
빠지면 섭섭한(?) 요즘 근황인 셀카사진 투척하며~
쏘엘의 24번째 돌출입 치아교정후기 마칠께요.
입꼬리는 확실히 많이 부드러워졌지만..
발치공간 확보를 위해 몇달동안 돌출된 앞니를 밀어 넣지 않고 있는 상태라
아직은 큰 변화가 없는거 같아요.
그래도 확실히 치아교정전후 사진을 보니 많이 변화된걸 느끼고 있어요.
한번씩 우연히 치아교정 전 사진보고
내입이 이렇게 심한 돌출입이었나 싶을정도로 놀라곤 합니다. 하하하
다음에 많이 변화된 모습으로 찾아오길 바라며~
다음 치아교정후기때 만나요^^
