
8월 월치료 돌출입교정후기!
이번달도 룰루 랄라 치과를 다녀와서 교정후기 올립니다.!
이번에 받은 진료를 먼저 정리해보면
1. 파워체인 교체 2. 스크류 제거 2. 와이어(?) 장착
먼저 전체적으로 교정장치 점검을 하고 이상여부를 체크를 하였어요,.
그리고는 파워체인 교체가 이루어졌습니다.
일단 기존의 파워체인을 걷어내고 간단한 스케일링을 해주셨어요,
스케일링할때 느낌은 이상하지만 그러면서도 시원한것 같기도하고 ㅋㅋ
스케일링을 통해서 치아를 깔끔하게 정리한후에
원장선생님이 전체적으로 치아를 보시고
상악 교정장치에 걸려있는 고무줄을 교체해 주셨어요,

바로! 이 고무줄과 상악 교정장치로 인해서 돌출입이 해소되고 있는 중이죠~!
고무줄교체를 해주시고 하악 잇몸에 박혀있는 스크류를 보시더니
'염증이 난것같은데' 하시면서 일단 스크류를 제거를 해야겠다고
아프지 않았냐고 물으시길래 , 아프긴했는데 나아가고 있는것같아서 ,,, 했더니 ㅋㅋㅋ
아프면 얘기해야한다고 얘기하시더라구요 ㅋㅋㅋ
다음부턴 작은 변화도 바로바로 말씀드려야겠어요 ㅜㅜㅋㅋㅋㅋ
스크류를 뺀 잇몸은 많이 부어있고 염증이 올라온 상태이기때문에
워터픽과 식염수로 잇몸 마사지를 해주면 좋다고 말씀해주셨어요~
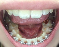
그리고 오늘은 처음해보는 와이어를 걸어주셨는데
클리피시 장치 하나하나 앞옆에 얇은 와이어를 감아주셨어요,
이 장치의 효과를 물어보지 못했는데 ㅜㅜ 새로운 장치가 추가된 셈이죠~

사진에서 노란색으로 체크된 부분에 자세히 보시면 와이어가 감겨있는게 보일거에요~
그렇게 원래 있던 와이어도 다시 달고,
저번달에 시작된 고무링 달기는 이번달도 계속 진행하라고 해주셨어요
처음에는 고무링 거는게 너무 어렵고 잘안되서 먹는걸 포기하기도 했는데
이제 고무링거는 것도 요령이 생겨서 엄청 잘해요 ㅋㅋㅋ
손으로 똑또! 하면 풀리고 고무링 거는 보조 막대기로 슥슥 걸면 엄청 잘되요 ~
이제 정말 돌출입도 잘 해소되고 있고 주변에서도 알아보는것 같아요
한번은 친한 친구를 오랜만에 만났는데 양악한것같다고 ㅋㅋㅋㅋㅋ
그러더라구요 ㅋㅋ 기분이 좋기도하고 신기하기도하고
이제는 'CHU' 도 많이 자연스러워지지 않았나요~??!!
그럼 다음 월치료 받고 돌출입교정후기에서 만나요~!!
