증산댁의 덧니교정후기 ②② Before vs After
안녕하세요 ~~~ 오랜만에 쓰는 덧니교정후기입니당 ㅎㅎ
요즘 휴가철이라 다들 바쁘시죠 ~~~ 저녁만되면 서울시내는 쓸데없이 막히고 ;;
여름휴가 계획은 어찌되시나요 ??
저흰 8월6일부터 휴가에요 ~~~
이번 휴가때는 1년에 한번 얼굴보기도 힘든 ㅠ 친척자매들끼리 뭉치기로 햇어요
충청도 아산에 잇는 언니네서 1박2일을 보내야하기 때문에
앞뒤로 남은 휴가기간이 애매해져버렸네요 .. 음 .. 머할까요 ;;
삼척 장호항에 가서 투명카누 ? 보트 ? 그거나 타고올까하는데 날씨가 따라줘야 ~~~
그래서 아직까지 무계획입니다요 ㅋㅋㅋㅋㅋ
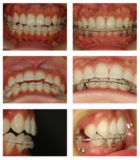
암튼 이번 교정후기는 치아교정전후! Before vs After 를 준비햇어요 ~~~
말안해도 왼쪽이 비포 ~~~ 오른쪽이 애프터 !!
이번 월치료도 저번과 마찬가지로 당기기 ? 조이기 ? 하고 왓어요
그 .. 뭐더라 .. 쌤께서 쓰시는 용어가 잇던데 .. 기억안남 ㅡㅡ
알콜성 치매인가보옴 ㅡㅡ
얼마전에는 실외기라는 단어가 생각이 안나서 한참 설명햇다는 ;;
1년째부터는 매번 교정후기를 쓰면서도
이번달이 저번달같고 ~~~ 저번달은 그전달같고 ㅋㅋ 늘 똑같아보엿는데
이렇게 치아교정전후 사진을 비교해보니 참 많이도 변한것 같아요
치아사진뿐만이 아니라 실제로 얼굴 딱 봤을때도 입매랑 인상에 살짝 변화가 잇어요
심한 돌출이 아니라 드라마틱한 변화는 아니더라도 티안나게 예뻐지는 ~~~
무슨 성형외과 광고같네요 ㅋㅋㅋㅋㅋ
원래부터 돌출아닌척 ~~~ 원래부터 치아예쁜척 ~~~
하고다녀요 ㅋㅋㅋㅋㅋ
얼마전 미용실갓다가 머리를 망친관계로 셀카는 안찍을래요 ㅋㅋ
다음달에 머리 좀 다시 수습하고 공개할께요 ㅋㅋㅋㅋㅋㅋㅋㅋㅋㅋㅋㅋㅋ
그럼 다음 덧니교정후기에서 또 만나요 ~~~
