
7월의 월치료도 잘 받고 와서 돌출입교정후기 올려요~
이번 월치료는 이전과는 다른 과정도 있었어요,
처음에는 평소처럼 치위치생선생님이 전체적으로 교정기를 체크해주시고
그동안 어떤 불편함은 없었는지 확인주셨어요,
그리고는 오늘 새로운 고무줄을 하게 될꺼라고 설명해주셨는데
교합을 맞추기위한 고무줄이라고 설명해주셨습니다.
치위생선생님의 확인이 끝나고 원장선생님이 체크하러 오셔서
교정장치 상태를 체크하시고 현재 제 얼굴 전체적인 모습도 체크하시고
저번이랑은 뭔가 많이 달라진게 있는것같지 않냐고 물어보시면서
저번까지는 잇몸을 위로 올리는 당김의 고무줄이이었는데
저번달은 돌출된 치아를 안으로 넣는 고무줄을 달은거라고 설명해주셨어요,
그래서 그런지 돌출입이 더 많이 안으로 들어간 느낌도 들고 ㅎㅎ
입안을 비교해보니 고무줄 달린 위치가 이전과는 다르긴 하더라구요
이제부터 돌출입 치아를 안으로 당기는 과정에 들어갔으니
점점 더 변화되는 모습이 느껴지겠죠?ㅎㅎ
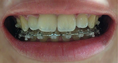
그리고 이번달에는 좀 새로운 과정이 생겼는데 바로 '고무링'
사진에서 보이는것처럼 작은 고무링은 상악과 하악 교정기에 걸어서 사용하는 고무링이에요,
근데 왜이렇게 갯수가 많냐~, 그이유는 이 고무링의 수명은 하루! 이기때문에요
고무링이 담긴 봉투를 주시면서 아침이나 저녁 등 하루 주기를 정해서
하루에 한번씩 고무링을 교체해주라고 설명을 해주셨어요,
그리고 위 상악 하악 고무링을 걸면서 주의할 점은
양치하거나, 음식을 먹을때 빼고는 항상 하고있기/
잃어버리지 않는한 너무 새로운 고무링으로 갈지 말기!
( 너무 자주 새로운것으로 고무링을 걸면
고무링의 과도한 탄력으로 무리가 올수있어요ㅠ)
마지막으로 고무링을 거는 방법을 배우고는 고무링 선물을 받고 치료가 끝났어요 ㅎㅎ
월치료가 끝나고 다음 예약 날짜를 잡으려는데
데스크에 선생님도 제 얼굴이 많이 변화되었다고
여성스러워졌다면서 말씀해주시더라구욯ㅎㅎㅎㅎ잏히히히히히힣
기쁨 막 폭발~~!! 이힣힣힣힣 너무 기분좋고 그런데
겉으로는 표현이 잘안나왔어욬 ㅋㅋㅋ 부끄부끄해서 ㅋㅋㅋ
이번달은 새로운 고무링과 원장선생님과 다른 모든 선생님께도 감사한 월치료였어요 ㅎㅎㅎ
고무링 걸어도 아이스크림은 먹을수 있으니 이렇게 뙇!!
그럼 다음 월치료 다녀와서 돌출입교정후기로 만나요~!!
