[치아교정후기] 쏘엘의 돌출입 치아교정후기 #22. 상악 스프링 조절과 하악 파워체인 연결
[치아교정후기] 쏘엘의 돌출입 치아교정후기 #22. 상악 스프링 조절과 하악 파워체인 연결
안녕하세요:) 돌출입교정 중인 쏘엘의 돌출입 치아교정후기 입니다.^^
지난번 치아교정후기에서 발치공간을 좀 더 확보하기 위해 스프링 연결했다고 했잖아요~
이번 월치료에 원장님께서 현재 치아 상태를 확인하시더니
발치공간이 조금 더 필요하다고 하시면서~ 스프링을 쪼이는? 조절을 해주셨어요
발치공간을 조금 더 확보한뒤에 돌출입을 밀어 넣을 수 있을꺼 같아요.!
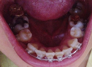
상악 어금니 스프링 조절을 끝내고~ 하악에 파워체인 연결했어요
지난번 월치료에는 하악 와이어 교체했었고~
이번에는 와이어는 그대로 두고 파워체인 연결했어요.
하악 발치공간이 많이 닫혔네요^^
아! 그리고 오른쪽 어금니를 세우기 위해 부착했던 장치와 와이어를 제거했어요.
눈에 띄게 크게 변화가 있는건 아니지만.. 미세하게 움직였어요
교합상태를 보시더니 치아가 조금 일어섰다고 하더라구요~
하악 발치공간을 닫아야하니 이번에 어금니 장치는 제거를 했어요.
어금니는 앞으로 상황을 좀 더 지켜봐야 할 것 같아요.
이번 월치료 간단하면서 알차게 끝났어요~
다음번 월치료엔 뻐드러진 앞니를 밀어넣을 수 있겠죠?!
현재 발치공간이 꽤 많이 벌어진거 같은데~
어서 돌출입 해소를 했으면 하는 바램이네요^^
커피좋아하는 최근 제 사진하나 투척하며~
다음 치아교정후기에 만나요~~!
커피처럼 향긋한 하루하루 되세요^^
