[치아교정후기] 쏘엘의 돌출입 치아교정후기 #18. 상악 교정장치 부분탈락
안녕하세요:) 돌출입교정 중인 쏘엘의 돌출입 치아교정후기 입니다.^^
지난번 치아교정후기에서 상악에 스크류 심었다고 말씀드렸었죠~
불편함 없이 완벽 적응중이에요. ^^
혀가 많이 불편할까 살짝 걱정했는데 전~혀 불편함없이 잘 적응중이에요.!
스크류가 있나라는 생각이 들정도에요 헤헤
이번에 치과가기 몇일전부터 오른쪽 앞니인 두번째 치아가
혼자만 유독 튀어 나왔더라구요~ 튕겨져 나온 느낌이라고 해야하나?
교정장치가 떨어진건가 싶었는데...
아니나 다를까 교정장치가 떨어진게 맞더라구요....힝
뭘 먹다가 그런건지 언제 그랬는지도 모르겠고....
유독 오른쪽 앞니부분이 잘 떨어지는거 같아요 3번째인거 같아요ㅜㅜ
앞니 사용을 자제해야겠어요.. 조심한다고 하는데ㅜㅜ
한번씩 방심하는 사이 그런거 같기도하고..
원장님께서 혼자 뭘 맛있는거 먹었냐고
웃으시면서 얘기하는데 어찌나 민망하던지ㅋㅋㅋ
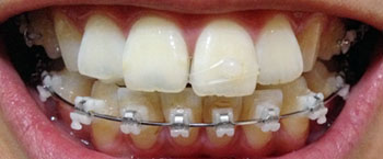
장치가 부분적으로 탈락되는바람에 치아한쪽만 튕겨져 나와있어요
그래서 치아 사이에 틈도 생겼더라구요...
앞니쪽에 고무줄을 걸어 당겨올수 있도록 본딩을 해주고
고무줄을 걸어주었어요~~~!
하얀색이라 티도 많이 안나고 불편할려나 싶었는데
불편함도 없고 금방 또 적응했어요>,<
치아사이에 틈이 생겼었는데~
고무줄 걸어주고 몇시간 지나지 않아 틈이 다 닫혀버렸어요!
월치료 끝나고 바로 집에와서 찍은 사진인데
그새 다 닫혀버렸더라구요! 신기방기~~
쪼이고 당겨주는 느낌이 있긴했는데 금새 닫힐줄은 몰랐거든요~
틈이 생긴 치아사이에 살짝 검게 변해서 혹시 충치인가 싶어
원장님에게 말씀드렸더니~ 충치는 아니고 치석이라고 하시면서
다 제거해주셨어요. 충치이면 어쩌나 했는데 다행이에요.
이번엔 튕겨져 나간 치아를 제대로 잡아주고
다음 월치료에 하악 어금니에 교정장치를 부착하기로 했어요~
이번에 함께 부착할려고 했는데 치아 어금니 부분이 맞물림이 심해서
바이트 블럭을 새로 올릴려고 하다가 치아사이에 넣는 철사를 제작한다고 하시면서
3주뒤에 진행하자고 하시더라구요. 제가 쉽지 않은 케이스인가봐요.
쉽게쉽게 가는법이 없다고 하시더라구요 에고공
근데 원장님께서 꼼꼼히 잘 봐주셔서 너무 감사하면서
죄송하더라구요.>,< 매번 저때문에 고생하시는 느낌이..ㅋㅋㅋ
교정장치 탈락되지 않게 진짜 조심해야할꺼 같아요...
이렇게 또 치아교정기간이 늘어나는거 같은 느낌이...에고공
2월 월치료날 사진이에요!
옆모습사진은 오랜만에 찍어본거 같아요~
비교를 위해서 가끔 남겨줘야해요ㅋㅋㅋ
요사진은 이번 3월 월치료날 사진!
옆모습 변화가 느껴지는거 같지 않나요? >,<
핸드폰사진이라 한계가 있긴하지만ㅋㅋㅋ
1년차에 접어들기시작했는데
최근들어 쉬어가는 타임이 많아지면서...
갈길이 아직 멀긴하지만.. 그래도 변화가 꽤 있죠잉?
어서 하악 어금니에도 장치부착하고~
발치공간이 슉슉 닫혀주길 바라면서~~~~
쏘엘에 18번째 돌출입 치아교정후기 마칠까합니당.!
따뜻한 봄날에 다시 찾아올께요*_*

ㅋㅋㅋ 스크류 심을 때 막 어떡하나 싶었는데 막상 며칠 지나니까 스크류가 심어져있나 의심들정도죠?! ㅋㅋ 그 느낌 알아요ㅋㅋㅋ 초반엔 막 신경쓰이고 혀로 갖다댈뻔도 하고..ㅋㅋ
진짜 교정기 떨어진거보면 가슴이 철렁해요 *~*