이야아아압의 턱관절+치아교정 후기
(찾을 때 닉네임 찾기로 선택하시고 ‘이야아아압’ 검색하시면 찾을 수 있음 아니면 제목에 턱관절 검색)
이야압의 치아교정은 ?
턱관절 교정 스플린트를 시작으로, 순측 / 클리피시 / 비발치 / 덧니교정 입니다.
2014년6월 9일:스플린트 첫 착용 -3화
6월 18일: 스플린트 턱관절교정 정기치료(1차) -4화
7월 2일: 스플린트 턱관절교정 정기치료(2차) -5화
7월 14일: 스플린트 턱관절교정 정기치료(3차) -6화
7월 28일: 스플린트 턱관절교정 정기치료(4차) -7화
8월 20일: 스플린트 턱관절교정 마지막 치료 -8화
9월 11일: 스플린트 턱관절교정 전 후 결과를 비교하기위해 최종검사 -8화
9월 19일: 스플린트 턱관절교정 결과와 추후 치아교정 진행과정을 들음. 4개의 스크류를 심음. -9화-(1)
9월 25일: 하나 남은 매복 사랑니 발치(왼쪽 아래)
10월 1일: 사랑니 실밥제거, 브라켓 장치부착 -9화-(2)
10월 30일: 치아교정 정기치료 후기(1) -10화
12월 10일: 치아교정 정기치료 후기(2) -11화
----------------------------------------------------------------------------------------------------------------------------------------------
이번 후기는 월치료 받는 거라 지난 후기와 비슷한 치료가 진행되어서
저의 교정 중 양치질, 이갈이, 악 무는 습관에 대한 이야기를 해볼까 합니다~
----------------------------------------------------------------------------------------------------------------------------------------------
[치료내용, 상태]
일단! 이번 11화 치아교정 2번째 정기치료를 다녀왔습니다.
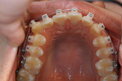
음....... 교정장치 붙인지 어느 덧 2달이 지났군요. 벌써 아래(하악) 치아들이 바르게 돌아서있네요!
와 역시 아팠던 보람이 있었던 것이었을까요?
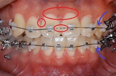
(상악)
(하악)
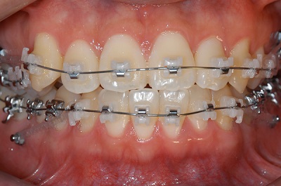
(정면)
중심선은 아직 맞지는 않지만 많이 틀어져있는 부분이 앞니 아래치아들이었거든요!그런데 많이 펴졌죠(2달만에?흐흫)
상악 덧니도 전부 들어간 건 아니지만 덧니와 앞니 사이에 있는 치아가많이 나와서 점차 다른 치아들과 같은 햇빛을 볼 수 있게되었네요ㅋㅋㅋㅋ
무튼 뿌듯합니다. 한달까지만해도 별로 변화 없었다고 느꼈는데 생각보다 빠른 변화에 신기하면서 놀랍니다.ㅋㅋ
역시 원장쌤도 느끼셨는지 신신당부하듯 “천천히~ 천천히~”치료를 느긋하게 진행하자며 빨리해도 좋지 않다고 강조해서 말씀해주시더군요ㅎㅎ 뭐 저도 빨리 끝나면 좋지만 그것보다 한번 할 때 아무 탈 없이 제대로 완벽히 마치는 것이 중요하다고 생각하거든요.
그래서 요번에 와이어를 전 것보다 아주 살짝 쎈 와이어로 교체해주시고 파워체인(고무줄)도 전 것과 마찬가지로의 세기로 당겨놨답니다.
[교정 중 양치질 노하우]
이번에도 치아 양치질 상태 양호!
일반 칫솔로 한다고 고백했습니다.ㅋㅋㅋ 그래도 잘된다고 생각했으나! 오늘 양치질하는데 거울을 자세히 들여다봤는데 앞니 브라켓 바로 옆으로 약간 치석과 같은 것이 보여서 닦아보았는데 잘 닦이지가 않는거에요!! 그래서 오랜만에 치간치솔로 슥삭슥삭 닦았답니다. 오 다행이 닦였지만 혹시 보이지 않는 곳에서 이렇게 이물질 같은것들이 쌓여있을까봐 전체적으로 치간칫솔로 닦았습니다. 역시 치간칫솔 아예 사용하지 않으려고 했으나 간간히 써야겠네요ㅎㅎ
아 제가 일반칫솔로 양치질을 하는 이유는 전 후기 때 말씀드렸는데..ㅋㅋ 다시 말씀드리자면 교정용칫솔은 가격대비에 비해 미세모 일반용 칫솔보다 자주 헤져서 2주 쓰면 버려야할 판 이거든요.. 그래서 전 생각했죠. ‘4주에 1개로 해진 교정용 칫솔 쓸 바에 2주에 1개로 새 일반칫솔을 쓰는게 이득이다.’라고욬ㅋㅋ 미세모 일반칫솔로 같은 양치질 방법으로 했더니 날이 서있다보니 시원하고 더 잘 닦이는 느낌이 드네요 물론 해진거 말고요.ㅋㅋ
대신 3번 양치합니다.
처음엔 물양치로만 한번, 치약 묻히고 한번, 치약 안묻히고 마무리 이렇게 총3번 합니다.
시간은 3분~5분정도 걸리네용
물양치는 음식물 큰 것들 빠르게 제거 하기위함.(칫솔로 바로 양치질 하면 큰 음식물이 으깨져서 작아짐으로써 빠지진 않고 울퉁불퉁한 브라켓 근처에 껴서 잘 안빠지는 느낌으로 음식물로 양치하는 느낌? 한번 더 해야겠더라고요.)
치약 묻히고 양치하고서 한번 더 하는 이유는 이물질을 꼼꼼히 제거하기 위함도 있으나 입에 남아있는 치약을 완전히 제거하기 위해서죠. 치약 많이 쓰시는 분들은 입행구고 그냥 또 닦아보세요. 거품납니다ㅎㅎ이거 TV에서도 나온 거 같은데 치약도 제대로 제거하지 않으면 충지의 원인이 된다는거.......알고들 계셨죠?! ㅎㅎ시간도 생각보다 오래 안 걸리고 개운~ 합니다! ㅎㅎ
교정양치질은
예시를 든 건 교정용 양치로 했는데 전 일반칫솔로 하지만 하는 방법은 교정용 칫솔처럼 한답니다. 그리고 알아보기 쉽게 브라켓 앞 쪽만 닦이는 부분으로 표시했습니다. 뭐 아시는 분들은 익히 알고 계시지만 궁금하신 분들을 위해서 올려봅니다.
빨간선: 닦이는 부분
파랑선: 칫솔질 방향
검정선: 칫솔모 방향
1. 칫솔모의 날을 세워서 브라켓 위주로 닦습니다. 브라켓이 울퉁불퉁하여 음식물이 잘 끼기 때문에 처음에는 크게 왔다갔다하면서 닦습니다.
2. 브라켓의 위 부분과 아래 부분을 닦습니다. 날을 세워 칫솔모를 100프로 활용하여 닦는 것이 포인트인데요. 특히, 브라켓의 옆 부분이 와이어 때문에 잘 닦이지가 않습니다만 그래도 살살 세심하게 닦으면서 이물질을 제거해줍니다. 치간칫솔이 이때 제 역할을 발휘하죠.
3. 위 아래 위위 아래~ ㅋㅋㅋ(요즘 ‘위 아래’ 노래가 대세?ㅋㅋ)위에서 아래로 아래에서 위로 방 바닦 먼지 쓸 듯이 양치질을 하면서 와이어가 있기 때문에 잘 되진 않지만 잇몸 마사지 하듯(?) 지긋이 하랬는데 해보니까 훨씬 잘 닦이는 거 같더라구요.ㅎㅎ음... 참~~ 좋은데 이거 뭐라 말로 표현을 못하겠네요........마지막으로 치아 안쪽도 이렇게 해주시고 마치면 되겠습니다.ㅎ
[이 갈이]
교정하고서 또 변화가 있다면 변화라고 할 수 있는데
예전에 잠자면서 이를 가는 행동이 없었는데 동생이 저보고 이를 간다고 하네요..
그리고 자다가 일어나면 턱이 살짝 뻐근하다는 느낌이 있다랄까? 왜 오징어 먹었을 때 그 느낌 있잖아요 그래서 세게 무는 습관도 있는 게 아닌가......라는 걱정도 있었습니다. 그래서
원장 쌤께 여쭤보았는데
이를 가는 행동은 일시적일수도 있고 그것이 계속된다면
현 상태에서 조치를 취할 수 있는 것은 없다고 하셨습니다.
이유는 먼저 이가는 행동은 중추신경계에 의한 것이고 치료하는 것은 약물치료로 다른 병원에서 할수 있으며 치과에서 조치를 취하는 건 스플린트, 마우스피스 치아보호용으로 이 갈림을 방지와 턱 관절 보호를 할 수 있는 선에서 할 수 있다고 하셨습니다. 그러나 이것들은 치아교정 중에선 불가능하다고 하셨네요.
[치아를 꽉 다무는 습관]
또 꽉 다무는 습관에 대해 여쭤보니 이건 꼭 의식적으로 고쳐야 된다고 하셨습니다.
자신이 꽉 다무는 습관이 있는지 확인 하는 방법은
평소에 무의식적으로 가만히 있다가 치아를 맞물리게 맞닿고 있다면 무의식적으로 턱에 무리를 가해 안 좋은 습관을 갖고 있다고 생각하면 된다고 하셨습니다.(살짝이라도 맞닿아있으면 안된다고 하시네요 ㅠㅠ)
해결 방법을 정리해서 말씀하면 의식적으로 턱에 힘을 빼면서 치아를 벌리고 있으라고 하십니다.
입술은 다물고 있되 턱에 힘을 빼서 치아는 맞닿지 않게...ㅋㅋ 다무는 습관 있으신 분들 턱이 네모네모해지는 것도 있고 치아에도 상당한 무리가 간다네요ㅠㅠ
저도 해보니 은근 고치는거 쉽진 않지만 할 수는 있습니다!! 요령은 편하게 턱 자체를 벌린 체 입술만 살짝 다물면 됩니다. 돌출입이면 입이 다물어지지 않을 수 있으나 입술이 살짝 벌어지더라도 치아가 닿는 습관은 버리시는 게 좋을 듯합니다!
하품 할 때도 턱을 당기고 입을 크게 벌리지 않은 상태로 하시는 습관이 턱에 무리를 주지 않고 하는 방법이랍니다. 그러니까 하품날 때 고개를 밑으로 숙여서 한다고 생각하시면 됩니다.ㅎㅎ
턱이 네모네모되서 ‘아~ 턱 깍고 싶다’라고 고민하시기 전에
턱에 무리 주는 습관부터 고치시면 좋을 것같네용~
습관 고치시고 마사지하시면 브이라인이 될 수 있을 듯!!
그럼 다음 월치료 다녀와서 치아교정 후기 남기겠습니다. 비슷비슷한 치료가 진행되겠지만.. 다음 월치료 후기에는 설명드릴 수 있는 이슈가 있었음 좋겠네요~~
