이야아아압의 턱관절+치아교정 후기
(찾을 때 닉네임 찾기로 선택하시고 ‘이야아아압’ 검색하시면 찾을 수 있음 아니면 제목에 턱관절 검색)
이야압의 치아교정은 ?
턱관절 교정 스플린트를 시작으로, 순측 / 클리피시 / 비발치 / 덧니교정 입니다.
2014년6월 9일:스플린트 첫 착용 -3화
6월 18일: 스플린트 턱관절교정 정기치료(1차) -4화
7월 2일: 스플린트 턱관절교정 정기치료(2차) -5화
7월 14일: 스플린트 턱관절교정 정기치료(3차) -6화
7월 28일: 스플린트 턱관절교정 정기치료(4차) -7화
8월 20일: 스플린트 턱관절교정 마지막 치료 -8화
9월 11일: 스플린트 턱관절교정 전 후 결과를 비교하기위해 최종검사 -8화
9월 19일: 스플린트 턱관절교정 결과와 추후 치아교정 진행과정을 들음. 4개의 스크류를 심음. -9화-(1)
9월 25일: 하나 남은 매복 사랑니 발치(왼쪽 아래)
10월 1일: 사랑니 실밥제거, 브라켓 장치부착 -9화-(2)
10월 30일: 치아교정 정기치료 후기(1) -10화
--------------------------------------------------------------------------------------------------------------------------------------------
안녕하세요`오~ ㅎㅎ 월 치료를 갔다온지 꽤 됬는데 이제야 턱관절 교정후기를 올리네요..ㅠㅠ
2014년 11월.... 아직까진 눈 온다는 것이 어색하지만(대전은 첫 눈아닌 첫 눈 옴ㅋㅋ) 제법 많이 추워져서 주변에 감기 걸리는 사람들이 많네요. 춥다고 집에만 뒹구시지 말고 밖에 나가서 흔건히 땀 흘리며 운동하는 것도 상쾌하고 건강 챙기시는 것도 좋을 듯 싶습니다.ㅎㅎ등산하시면 스트레칭, 준비운동도 충분히 하시고 다치지 않게 조심히 갔다오셔요~ 사람들 많이 왕래할텐데... 여러분들은 문화인이시니 쓰레기는 아무 곳에 버리지 마시구요~ㅎㅎ
---------------------------------------------------------------------------------------------------------------------------------
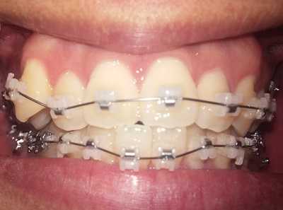
정기적인 월 치료 (1번째)
내용: ①와이어 교체(이전 보다 1단계 두꺼운 메모리 와이어),
②파워체인 교체(이 전과 같은 것)
-
턱관절교정을 시작하고 본격적인 치아교정이 시작되며 드디어 월 치료로 약 한달 기간씩 치과를 가게 됬습니다.(다음 월 치료는 12월 초에 있네요.) 저도 제대로 다른 교정인분들처럼 이제는 시간과의 싸움과 치아관리의 문제겠네용..ㅎㅎ 예전에 턱관절교정 치료로 스플린트(후기1~7화)를 할 때 까지만 하더라도 한 달에 3번씩도 가고 적어도 한 달에 한번은 꼭 갔는데..이제는 한 달 이상 있다가 방문하라고 하시니 뭔가 어색하다는....... 하지만 지방에서 서울까지 가는 교통비 부담이 줄어들어서 그건 좋다는 생각 들었네용...ㅎㅎㅎ;;
와이어 교체할 때 저는 똑딱이(자가결찰브라켓) 장치라 월치료 받을 때 걸리는 소요시간은 총 10분정도?밖에 걸리지 않았습니다. 똑!똑!똑! 소리가 나며(장치를 열 때) 기존 와이어를 빼고 좀 더 두꺼운 것으로 교체하고나서 파워체인(고무)를 미니스크류와 브라켓과 연결하면 끄읏~ 서울까지 2시간 반이나 걸리면서 올라가는 시간이 무색할 만큼 짧게 걸리죠ㅋㅋㅋ 항상 뭔가 아쉬워서 쭈뼛쭈뼛 병원을 나오곤합니다ㅋㅋㅋ매번 함박웃음을 날려주시는 원장쌤과 치위생사 누나분들 사람을 기분좋게 만드시는 마력(?)이 있는거 같습니다.ㅎㅎ뭔가 힐링되는 느낌?이랄까ㅋㅋ
아....! 칫솔질 잘했다고 칭찬 받았습니다~ㅎㅎ사실 양치 할 때 치간칫솔 구찮아서 잘 사용하게 되지 않아서 걱정 했거든요. 대신에 한번 할 때 꼼꼼히 한답니다. 식사 후 왠만하면 바로 물양치부터 하고서 큰 이물질 제거 하고서 1차로 브라켓 위주로 칫솔질 하고서 행군다음에 한번 더 치약 묻혀서 2차로 총 2번 닦습니다. 이땐 잇몸위주로 구석구석 닦고 마무리합니다. 교정용 칫솔은 저에겐 칫솔모가 너무 잘 헤지고 잘빠져서 일반 칫솔로 겸용해서 사용한답니다. 1차로 닦을 땐 일반칫솔, 2차로 교정용 칫솔.ㅋㅋㅋ그러나 최근엔 일반 칫솔하나로 양치를 합니다.(12월 월치료때 과연 어떤 평을 내려주실지..ㅋㅋ) 왜냐구요? 일반칫솔은 교정용보다 가격이 비교적 저렴하기에... 헤진 교정용 칫솔 사용하고 있을 바에 일반 칫솔 새 것 2개를 이용하는 게 나은 거 같애요. 더 잘 닦이는거 같고 시원시원해서 ㅎㅎ 세게 닦을 필요도 없구ㅎㅎ헤지면 바로바로 교체합니다. 그래서 3주나 4주에 한번 꼴로 교체하게 되네요.
아 제가 말씀 드렸나요? 왼쪽 하악 소구치의 잇몸이 시리다고 하니
우리 치과실장님께서 이것을 사용해보라시며 추천과 함께 비매품이지만 통크게 2개를 뙇...!주셨습니다.
사실 처음에 이것만 쓴다고(이게 약도아니고..ㅋ) 나아지겠나 싶었는데 쓰고서 일주일쯤 뒤에 체감상 많이 시린 것이 없어진 듯 합니다.
저는 이 시린 정도가 평소 찬물 먹을 때도 느껴질만큼 심한 것은 아니었으나 치과에서 바람 쏠 때 유난히 시리더라고요. 인상이 절로 써질만큼..ㅋㅋㅋ 완전 없어진 건 아니었지만 체감 만빵 인듯!
10화의 느낀점: 음..... 다시 와이어 교체를 하는 날이라 그런지, 처음 교정장치를 붙이고 나서 온 몸으로 느끼며 고통의 신세계의 문을 두드린듯 교정의 고통을 한 몸으로 받았었기에 살짝.... 두렵긴 했습니다.(과연 진짜 살짝이었던것일까) 와이어 교체를 한다면 조이는 강도가 더 쎄지니 얼마나 아플까하는 걱정부터 나기엔 당연한 사실이었죠. 결론부터 말씀드리자면.......
2번째부터는 아프지 않았습니다~ 사람마다 다르지만 보통은 장치 처음 부착 할 때보다 고통이 덜하다고 합니다.(어떤 분들은 매번 월 치료 받고 올 때 마다 아프시다는 분도 있고 2번째까지만 아프시다는 분들도 있고..)ㅎㅎ 저는 확실히 처음 고통이 커서 그런가 와이어도 이 전것의 두께가 눈에 띄게 차이를 보이지만 고통은 거의 없다고 표현해도 무방하네요.ㅎㅎ그래서 이제 맘놓고 월 치료 받으러 가도 되겠습니다. 발걸음이 가벼울 듯 합니다~ㅋㅋㅋㅋㅋ(오예^ _^乃)
하... 아부지께서 공부하느라 파이팅 하라고 감이랑 귤 받았습니다.ㅎㅎ
감 홍시로 익는거 보면 병아리 키우는 듯 뭔가 뿌듯(?)한데요 ㅋㅋㅋ 익으면 하나하나씩 빼먹는 맛...! 아주 꿀맛 같습니다.ㅋㅋㅋㅋ
이것으로 10화 턱관절교정후기도 마무리하겠습니다. 이제 쭉~~~~~~ 월 치료만 받아서 큰 특이사항만 없다면 이렇게 간단한 치료만 받고 올 듯합니다.ㅎㅎ 다음 교정후기는 12월쯤 될 듯 해요~ 그때 뵈용~^ ^
제목:이야압.
화가:여친
특이사항: 작품속 인물은 실물과 매우 다름
