증산댁의 치아교정후기 ①⑤ 발치공간 비교
오랜만이에요 ~~~ 잘 지내고계시죠 ?? 전 요새 이러고 살아요 ㅋㅋㅋㅋㅋㅋㅋㅋㅋㅋㅋㅋㅋ
나이먹고 덕질하느라 고생이 많답니다 ㅋㅋㅋㅋㅋㅋㅋㅋㅋㅋㅋㅋㅋㅋㅋㅋㅋㅋ
치아교정후기 본론으로 뿅 !!
치열에 대한건 특히 상악이 눈부신 발전을 ㅋㅋ 사진찍을때마다 돋보이는 가지런한 내 앞니 ~~~
눈으로 딱 보이니까 음 ~~~ 좋아좋아 햇지만
문득 발치공간은 잘 닫혀가고 잇는지 그동안 얼마나 이동을 햇는지 궁금증이 생겻어요
그래서 오늘은 발치공간으로의 치아이동에 대해서 비교해보려고 해요
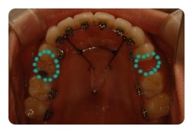
( 상악비교 )
▲ 발치 전 - 왼쪽유치 1차삭제, 오른쪽영구치 발치 예정
▲ 6월 - 스크류식립 후 본격적으로 상악당기기 1개월차
▲ 8월 - 3개월차
▲ 10월 - 5개월차
조신하지못한 저의 잦은 어금니 브라켓탈락 ㅠㅠ 에도 불구하고 잘 이동하고 잇는듯해요
"저 .. 브라켓이 또 떨어져버렷어요"
" ㅡㅡ+ "
" ㅠ0ㅠ "
"그래도 증산댁님은 진행이 잘되고잇는편이라 다행이에요"
그닥 신경쓰는것도 없는데 치과갈때마다 진행이 잘되고잇다고 양치질도 잘한다고 칭찬을 듣고
늘 머쓱해하며 돌아오고 잇어요 ㅎㅎ;;
이번엔 진짜 조심조심해야지 ~~~ 하지만 먹다보면 치아교정중이엇다는 사실을 깜빡 ;;
알아차렷을땐 이미 늦어버렷 ..... 또 떨어졋 ..... 또 치과가야햏 ..... 젠장 ㅠㅠ
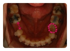
( 하악비교 )
▲ 발치전 - 왼쪽결손치, 오른쪽유치 1차삭제 예정
▲ 5월 - 스크류식립 후 본격적으로 하악당기기 1개월차
▲ 7월 - 3개월차, 오른쪽유치 2차삭제
▲ 10월 - 6개월차
물론 사진크기나 각도가 100% 일치하진않지만 최대한 비슷하게 비교해보려고 노력햇는데
어떤가요 ??
왼쪽 결손치는 발치한지 몇년되엇기때문에 이미 잇몸뼈가 굳어져서 진행이 더딜수밖에 없다고해요
그동안 꿈쩍도 안하고잇는줄 알앗는데 비교해보니 이정도면 뭐 기특하네요 ㅋㅋ
그에비해 오른쪽 유치는 조금씩 삭제하면서 당기고 잇는데요
쑥쑥 잘 움직여주고 잇어서 2차 삭제까지 햇는데도 벌써 또 닫혀가고 잇어요
아마도 다음에 가면 또 삭제할듯요 ;; 아 ~~~ 삭제할때의 시큰시큰한 느낌 시르다 ㅠㅠ
마지막으로 ~~~
만삭인 노랑이 구피 인데요 ~~~ 화살표 한 부분에 새끼 눈 보이져 ?? 곧 나올듯해요
요건 치어 전용공간 ㅋㅋ
어머 !! 지금 저 노랑이가 출산중이에요 !!
아침에 미리미리 부화통으로 옮겨줘써야햇는데 ~~~ 치아교정후기를 쓰는사이에 출산을 시작해버린거잇죠 ㅠㅠ
방금 10마리밖에 못살려써요 ㅠㅠ
그래도 치어들 무럭무럭 잘 자라고잇네요 ~~~ 벌써 60마리 넘엇어요 ㅋㅋㅋㅋㅋ

저도 구피 키웟었는데 번식력이 어휴..큰 어항에 가득차가지고 이웃사람들이 바가지로 퍼갓엇어요ㅋㅋㅋㅋㅋㅋㅋㅋㅋㅋㅋㅋㅋ
그래도 새끼낳고 이런거 보면 진짜 재밋구..그런재미로 물고기 키우나봐요
증산댁님 미소가 무지 아름다우세여~~~~~~+.+