[치아교정후기 33] 교정만의 오라픽스 치아교정후기
안녕하세요 교정만입니다.
요즘 날씨가 점점 쌀쌀해지죠?
일교차가 커서 감기 걸림......
젤먼저 걸렷네요 다들 감기 조심 하세요!
와근뎃사진진짜후덕하게나왔네요ㅋㅋㅋㅋ
이번 주에 치과를 갔어요.
요즘 과제 폭탄에 시험 시작이라(벌써 우리만..시작임)
언능 갓다왔어야 햇지요ㅠㅠ
기숙사에서 짐을 한 껏 들고 치과에 가서
진료받으러 의자에 앉았는데
쌤이 치아를 쭉 보시더니
더 고쳐졌으면 하는 부분 있나요?
하시더라구요
저는 정말 지금 딱 완벽하다고 생각했습니다!!!^___^
선생님께서 다음달에 장치 뗄 것이니
시간을 여유 두고 오라고 하셨어요
아......
이말을 얼마나 기다렷는지...
지금 생각해도 너무 신나요
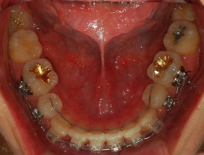
그리고 하악에 치아 배열을 유지하기 위해서 철사를
붙였습니다.
하악사진
철사 붙인거 보이시죠?
저부분 양치를 주의 깊게 잘 해주어야 해요
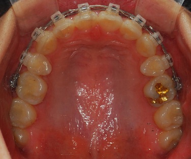
상악사진
측면사진
으아 이제 교정일기 쓸 날도 얼마 안남앗네요
교정한지가 엊그제........ 같진 않지만!
뺀다니까 너무 설래고.....
뺀 뒤에도 유지 잘해서 일기 계속 쓰겠습니다!
이제 일상사진 time!
이번 주 금요일이 휴일이었죠
오랜만에 엄마랑 남동생이랑 나들이 다녀왔어요
날씨가 꽤쌀쌀했지만
귀찬은데도 시간내서 와준 마이 Bro~~~~
와 엄니!!완전 사랑합니당ㅎㅎㅎㅎ
이렇게 일부러 시간내지 않으면 도저히 모이지 않는 우리가족...ㅠㅠ
다들 똑같을거같아요ㅠㅠ
우리 이번 휴일에는 없는시간이라도 쪼개서
가족끼리 두세시간이라도 시간을 보내보아요~
요즘 기숙사에 박혀 사느라(그렇다고 공부하는것도 아니지만)
맛잇는 음식을 못먹음..ㅠㅠ하으리ㅜ아ㅣㅓ로
주말에 펍에서 먹는게 유일한 저의 낙...ㅋㅋㅋㅋ
칠리치즈스파게티 처음으로먹어봣는데
존맛....ㅋㅋㅋ
사진만 봐도 존맛....ㅋㅋㅋㅋㅋ
다음 일기에 더욱 신나는 내용으로 (룰루) 만나요!!!

와 이제 교정이 다끝나가시는것 같아요 ~