[치아교정후기 32] 교정만의 오라픽스 치아교정후기
안녕하세요 교정만입니다. 치아교정후기 가져왔어요ㅎㅎㅎㅎ
아.....학교복학이에요
오랜만에 만나는 군대갔다가 복학하는 친구들을 만나기가 두려워요
2년전보다 8키로 찜.....
2달만에 본 사람들도 그렇게 머라고 하는데 2달이면 욕먹겟죠...ㅎㅎㅎㅎ
치과에 갔습니다.
벌써 서른두번째 치아교정후기라니ㅎㅎㅎㅎ
이제 위아래 중심도 맞겟다
오늘은 빼겠지 라고 하고 갔어요
이번달은
저번달과 동일하게 고무줄을 끼고 지내는 것입니다.
치아를 좀 더 튼튼하게 유지하기 위해
좀 더 유지하고 장치를 제거하는 것으로 했습니다.
언제가 될지 모르지만
이제는 진.짜. 때가 된 거 가타요 ㅎㅎㅎㅎㅎ
곧 장치 뗀 치아교정후기를....ㅎㅎ
저번달에 완!!전 열심히 고무줄꼈거든요~
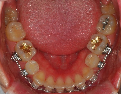
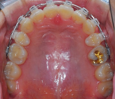
치아사진 보실게요~
정면사진입니다
상악 사진
하악 사진
여행갔다와서 오랜만에 친구 만났는데
왤케 탓냐면서 사진 찍었는데..
이거뭔가요....
더충격적인건 저친구도 딴데서 피부 까맣다는 소리 듣는 친구에요...
이번달에 중앙공원에서 힙합 공연이 있었어요
그래서 갓는데 사람이 정말 많아서
무대 앞 관중석은 못가구 언덕에 올라가서 보는데
비탈길이어서 돌도 많고 떨어질까바 힘주고 봤더니
다리도 다 까지고 엉덩이에 멍도 들었어요...ㅠㅠ
그래도 공연 너무 재밌게 다들 잘하시더라구요
담엔 콘서트 꼭 가볼꺼에요!!
산이 스윙스 멋잇쩡.....
아요즘에 왜케 치킨이 먹고 싶지이이이잉
걍먹고싶어서올렷어요ㅋㅋㅋㅋ
이번달에도 열심히!!!공부만하며 고무줄끼기로하겠습니다!!!
다음 치아교정후기에서 만나요~ 아자아자!!!

저도 복학했는데 적응하기 힘드네요 ㅠ 너무 놀았나봐요 ㅋㅋㅋㅋㅋ
교정만님 이제 정말 장치제거하시겠어요 !
완성형에 가까운 치열 부랍쏘 ㅠ
치아도 그렇지만 . .
잇몸? 입천장 ? 뭔가 투명하게 애기애기하네요 ㅎㅎ
ㅋㅋㅋㅋㅋ 애기애기하네요는 뭐지? ㅋㅋㅋ 증산댁님도 공부하시면서 진득허니 기다리시는군...ㅋㅋ
그나저나 호피...ㅋㅋㅋ 의외로 과감?한 구석이 있으신가바요!! ㅋㅋ