
5월의 치료 내용
1. 상악 스크류 심기
2. 하악 와이어 교체
안녕하세요 킬본 돌출입교정 중인 킬힐은뇨자의매력입니다.
킬본교정 월치료 돌출입교정후기를 들고 왔어요~
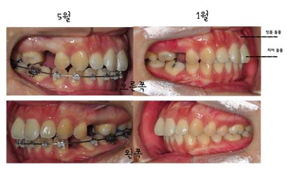
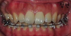
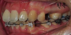
먼저 현재상태를 전반적으로 볼까요??
킬본교정기를 달고 난후 첫 월치료라 두근거리는마음과 함꼐 치과로 고고싱!!
이번 월치료의 큰 진료는 상악에 스크류를 심는것이었어요 가기전부터 좀 겁먹고 갔는데 마취를 하니 아픈건 없었어요
진료실에 들어가 의자에 앉고선 일단 치아상태를 상태를 차근차근했답니다. 킬본교정이 잘되어가고있는지 그동안 불편한건 없었는지 말이에요
(나 양치 잘 되고있겠지~ 지적 안받겠지~ 하는 걱정과 함께 ㅋㅋㅋㅋ)
스크류 심기에 앞서 일단 마취를 했는데 입천장 두군데에 한방씩 빵.빵!
여기서 스크류란?!!!
미니 임플란트라고도 불리는 미니스크류는 일반 치과 임플란트를 치아교정용으로 편히 사용하기 위해 만든것이라 해요 미니스크류를 잇몸에 심어 그것을 지지대로 앞니를 당기기때문에 효율적이고 효과적인 치료를 할 수 있습니다.
*잇몸이 좋지 않거나 양치질이 잘 되지 않으면 염증이 생길수도 있으니 주의해야해요~!

마취주사는 맞고 맞아도 적응이 안되는 그 뻐근함이란 ㅠ,ㅠ 뻐그은~ 한 이 느낌과 함께 서서히 마취가 되어갑니다. 마취와 함께 사라져가는 나의 감각들 *,* 마취가 되면서 입청장이 살짝 부었는데 부어오른 느낌이 살짝 나더라구요 그래도 마취가 풀린후엔 다시 정상으로 돌아왔어요
마취 주사를 맞은후 한 십분후 마취가 완전히 된후 스크류를 심기위해 경건한 마음과 함께 의자가 지이이잉~ 내려가고 마음속으로 얼마나 걸릴까 했는데 정말 금방 끝났어요 의자가 내려가고 위잉~ 소리가 두번 울리고 끝났다고 하시는데 읭??? "벌써끝났어요??" 하고 되물을정도였어요 ㅋㅋㅋ 근데 스크류를 심는다고 하는데 정말 심는거더라구요 ㅋㅋㅋㅋ 위잉! (-> 정말 위잉! ) 전동 드라이버와 같이 위잉 소리가 나면서 스크류를 심습니다. 의사선생님이 다행히 잇몸뼈가 튼튼해서 한번에 잘 심어졌다고 말씀해주셨어요 이런말씀을 들으니 작은 위로가 ㅋㅋㅋ
저는 스크류 2개를 입천장에 심어서 이것을 킬본교정장치와 연결아서 당김으로써 앞니가 들어가는것에 효과를 주도록 하였는데요
스크류를 정확히 어느 부위에 심은것이냐고 여쭈니 잇몸뼈라고 하시더라구요

사진과 같이 보시면 입천장에 스크류가 심어졌을때의 모습이 보이시나요? 사진과 같이 두개의 스큐르를 심은후 고무로된 연결고리로 연결하여 킬본교정장치에 걸어서 당기고 당기고~ 를 해주는겁니다 *,*
하악 와이어를 교체하고 와이어를 자르고 한쪽 끝이 약간 입안에서 닿으면서 거친 느낌이 아주 살짝 나는 것을 말씀들이니 좀더 부드럽게 잘라낸후 살짝 갈아주셨어요 그러니 훨씬 느낌이 부드럽게 마무리 되었어요 와이어를 자르는것말고도 갈아서 마무리도 해주시니 더욱 세심하게 마무리를 해주신것에 감사한 마음입니다. ㅎㅎㅎ
다음은 초기와 현재5월의 상태를 비교해보았어요 좀 변화가 보이나요~??
상악의 잇몸부분이 조금 들어간것같기두하구~

다른분들 대부분은 스크류를 심고 교정기를 달고 난후 많은 아픔과 식사도 어렵다고 하시는데 저는 스크류를 심고도 이렇다할 통증이 없는걸
보면 정말 교정이 체질이 있기는 있나봐요 정말 다행이에요 더욱 교정을 열심히 받을수 있을거 같아요 이제 관리만 잘하고 양치 잘하고 월치료 성실하게 받으면 어여쁜 교정인으로 탄생하겠죠?
마지막으로 저번에 돌출입교정후기에 이어지는 츄츄! 인증사진 같이 올립니다. 교정 완료후엔 더욱 완벽한 츄를 할수 있길 바라며 다음 월치료 다녀온 돌출입교정후기에서 만나요!

나중에 츄츄사진 모아두면 재밌겠어여ㅋㅋㅋㅋㅋ
천장 나사는 뭔가 더 무서운 기분이에여ㅜㅜㅜㅜㅜ
킬힐은뇨자의매력님은 입이 많이 나오신 편이라 교정 끝나면
무지 예뻐지실것 같아여~~~~^.^