[치아교정후기] 촉촉뇽의 오라픽스 치아교정후기 27편- 하악 부분 브라켓 부착
안녕하세요~~ 오라픽스 교정인 김영미 치아교정후기입니다.
요즘 여객선 침몰사고로 인해 마음도 뒤숭숭하고
얘기들을 때마다 열변을 토하게 되네요, 너무 안타깝습니다.
행복한 곳에 가서 공부걱정, 미래걱정 안하고 마음껏 뛰어놀았으면 좋겠습니다.
삼가고인의 명복을 빕니다.
이제 27번째 월치료 치아교정후기 시작하겠습니다.
이번 월치료는 지난 치아교정후기에서 말씀드렸던
부분적으로 제거했던 하악의 브라켓을 다시 부착하는 단계입니다.
먼저
상냥한 치위생사선생님께서 지난 월치료에 본뜬 저의 하악모형과 새로 붙일 브라켓을
준비하셨습니다.
저는 이번 브라켓은 일반브라켓인 줄 알았는데, 이번에 부착할 브라켓도 저의 치아에 맞춘
오라픽스로 부착하였습니다. 치아교정이 진행되면서 제 치아형태도 많이 변했고,
변화된 치아에 다시 맞춘 오라픽스교정이니 더욱 완벽해질 생각에~~~ 행복하네요 *_*
치위생사언니께서 브라켓을 붙일 1. 치아를 깨끗하게 다듬어주시고 브라켓을 부착하였습니다.
드디어 다시 브라켓이 부착되는 순간,
하악에 부분적으로 브라켓없이 지낸 삼주동안 완벽히는 아니지만 조금이나마 행복했는데,
다시 풀 장치로 돌아왔구나 하는 생각이 들더라구요 ㅎㅎ
브라켓부착하고 원장선생님께서 2. 하악의 블랙트라이앵글 제거를 위해
치아사이를 삭제해주셨습니다. 치간삭제는 처음이라 바짝 긴장하고 있었는데,
징~~~ 울리면서 금방 삭제완료~
한 번에 하면 치아에 무리가 갈 듯하여 두 세번 정도 나눠 진행하면서 점차적으로
블랙트라이앵글을 축소시켜주실 듯 해요~
3. 치아간 삭제 후 와이어연결하였습니다.
오랜만에 하악에 와이어를 연결하니, 와우! 브라켓을 닫는 순간순간마다 쫘-악 쪼이는 것이
아프고 뻐근하면서도 먼가 모를 시원함이 느껴지기 시작했어요ㅋㅋ
전 교정체질이 맞는 듯 ㅋㅋ 하악 앞니의 잘 닫혀지지 않는 부분까지 힘껏 닫아주신
치위생사언니 고생하셨어요~**
4. 와이어연결 후 원장선생님의 파워체인연결~
파워체인 연결해주시면서 이런저런 얘기해주시는데, 너무 훈남이시라서
무슨 말씀을 하셔도 재밋있는 듯 해요 ㅋㅋㅋ 위트가 넘치신답니다~
파워체인 완벽히 걸어주시고, 치아상태 턱상태 요리조리 보시더니
맘에 들어하셨답니다~~
선생님의 작품이예요~~ㅎㅎ 감사합니다~^^*
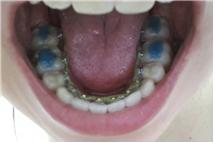
→ 교정치료 당일 날 치과에서 찍은 사진이예요, 치간삭제한 공간 보이시나요?ㅎ
새롭게 부착한 브라켓도 반짝이네여 ㅋㅋ
→ 월치료 일주일 후 사진입니다. 벌어져있던 치간삭제공간이 금방닫혔어요^^*
상악, 하악의 중심선도 잘 맞네요 ~
이제 다 되어가는 거 같아서 행복합니다~><
치료받고 와서 평소와 그렇듯 하루 고생하고는 잘 먹고 있답니다~~ㅎㅎ
이렇게 이번 치아교정후기도 끝이네요~~~ㅎㅎㅎ
서울 갔다가 타요버스보고 신나서 찍음 ㅋㅋㅋ 조카들이 타요버스를 즐겨보는터라
저도 같이 볼 때가 있거든요 ㅋㅋㅋ 저도 왕팬임 진짜버스가 타요니깐 신기했어요ㅋㅋ
더욱 입이 쏘-옥 들어갔네여 ㅋㅋ ^*^
다들 긴 연휴 행복하게 보내시고요,
마음껏 힐링하세요~^^*
즐거운 교정도 함께~~ㅎ

우오오 진짜 신기해요
27번째면 거의 2년쯤 지난건가요 ?
완젼 막바지 ~~~ 왕왕 부러워요 ~~~
그나저나 점점점 이뻐지시는 촉촉뇽님
최지우 닮은것같아요 ^^
우와 27번째라니... 저는 그런 날이 올까여ㅋㅋㅋㅋ
타요버스....서울사는 저는 한번도 본적없다져ㅠㅠㅠㅠㅠㅋㅋㅋㅋ