[킬본 돌출입 교정 32.] 고정식 유지장치 부착~ ^ ㅁ^)//
이사모 가족 여러분~ 안녕하세요~ ^^
교정이 끝나서 고정식 유지장치까지 붙이고 온 레드썬입니다~ + ㅁ+)//
요즘 날씨도 좋고~ 기분도 좋고~ 신나 신나~♡
기쁜 소식을 좀 더 일찍 알랴 드렸어야 했는데~
일기가 많이 늦어진 점 정말 죄송합니다~! OTL ( 교정 끝난 기쁨을 만끽하느라.. ^^; )
유지장치는 뺐다 꼈다 할 수 있는 유지장치와
치아 안쪽에 부착하는 유지장치가 있는데요~
교정 치료 결과에 따라 원장선생님께서 적합한 것으로 정해주신다고 해요~ ^^
잠시 투명교정을 하던 시절.. 투명장치 잃어 버리는 일은 절대 없을 거라며~
그 소중한 걸 어떻게 잃어 버릴 수 있냐고~ 생각했던 것과는 달리..ㅋㅋ
케이스가 아닌 휴지에 싸두었다 잃어 버린 아픈 경험이 있던 저는.. ㅠ ㅅㅜ
다행히 탈부착식이 아닌 고정식 유지장치로 하기로 했습니다~ :D 얏호~
유지장치 부착하기 전에 치아 맞물림 상태, 불편한 부분 등은 원장쌤님께서 미리 다 봐주셨었구요~
치위생사 선생님께서 브라켓 붙일 때랑 비슷하게 고정식 유지장치도 예쁘게 잘 붙여 주셨어요~ ^^
유지장치 다 붙인 후에 또 원장쌤님께서 한번 더 불편한 곳이 있는지 체크 해주시고,
살짝 어색했던 치아 부분도 더 다듬어 주시고 그랬어요~
마지막까지 완벽하게~ ' ㅁ')b 역시 굿입니다용~! 정말 감사합니다~ ^^
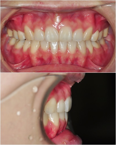
유지장치 붙이기 전 치아 사진입니다~ 오홋~ 정말 가지런해진 치아~ + ㅁ+)!!
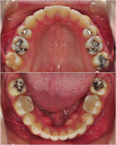
상악, 하악 둘 다 치아 안 쪽에 고정식 유지장치 붙였어요~ ^^ 이렇게 붙인답니다~
앞에서 봐도 옆에서 봐도 가지런한 치아 + _+ 정말 신기하기도 하고~ 너무 좋아요~!! ^^

유지장치를 붙이고 나서 치아 안쪽에 없던 게 생겨서 그런지 좀 어색하기는 했지만~ ㅋㅋ
며칠 지나고 나니 언제 그랬냐는 듯이 또 금방 적응 됐어요~ ^^
웃는 모습도 자연스러워지고~ 넘 좋아요~ ㅋㅋ
링고님이 찍어 주신 저의 셀카 찍는 모습~ ^^; 하핫~ 이렇군요~
교정하고 나서 달라진 제 모습이 신기하기도 하고~ 예뻐(?) 보여서~ 자꾸 찍게 되네요~
며칠 전 인터넷 기사에 셀카도 자주 찍으면 병이라던데..!? ㄱ- 앞으로는 좀 적당히..!ㅋㅋㅋ
이제 정말 교정이 끝났어요~ 끝나니까 편하기도 하고~ 신나기도 하고~
매번 가던 병원 오랫동안 못 간다는 생각에 왠지 서운하기도 하고~
여러가지 복잡 미묘한 느낌이 드네요~ ㅎㅎ
어쨌든 결론은 결과에 대만족하고~ 정말 좋다는 거~ ^ ㅁ^)~
교정중인 이사모 회원님들~ 다들 즐거운 교정 끝까지 화잇힝 하시길 응원할게요~ + ㅅ+)// 아자아자~!

치아가 진짜 이쁘시네요!!
저는 한지 일쥬일됫는데
그런날이 오긴 오겟죠...??^^;;
교정 끝나는날까지 다른분들도 아자아자!
와진짜... 치아 가지런ㅠㅠㅠㅠㅠ 이제 레드썬 님의 교정이 정말 끝나는 건가요..
벙개떄..진짜 너무 너무 부럽던.. ㅠㅠ너무예뻐횽ㅇ효용효효ㅠ ㅠㅠㅠㅠㅠㅠ 마지막 셀카 ㅋㅋㅋㅋ너무 귀여우신거 아니에요 ㅠㅠㅠ
우왕!! 너무 이쁘셔요!!! 축하해용 :^)*
레드썬님 첫후기부터 봤는데 정말 입이 쏙 들어갔네요!!
이미지도 더 부드러워보이시고 어려보이셔요!! 정말 미인이세요 !!ㅎㅎ 너무 부럽네요 ~
유지장치는 언제까지 달고있는건지용 ??
저것이 고정식 유지장치이군요, 신기해여~ 뺏다꼇다하는 불편함없이 유지도 편하게 될 거 같네요~~
그럼 저 유지장치는 계속하고 있는 건가요?? 쭈욱 안빼구요? 궁금하네요 ㅋㅋ
셀카사진, 너무 이쁘셔요~~ 청순한 이뿜 ! ㅋㅋ 축하드려요!
원래도이쁘셨지만교정이완성되고나서원래부터뚜렷하시던이목구비가한층더뚜렷해지시고여신미소가자연스럽게지어지시는거같아요~그동안애많이쓰셨어요~저도잇몸부분이조금튀어나온돌출입이라서일반교정으로는효과가만족스럽지못할꺼같아서킬본교정을상담하러다녀왔었는데효과는확실할꺼같지만..멀쩡한생이빨을뽑아야한다는게좀망설여지더라구요..ㅠㅠ그래도양악수술보다는킬본교정이낫겠죠?일반교정은아무래도효과가덜할꺼같아요..ㅠㅠ귀한답변부탁드립니다..