보통 발치공간이 닫히려면 얼마나 걸리나요~?
헤헤~~ 완전 오랜만입니다~^^
사실 치아교정 받으면서 스트레스가 너무 심해서, 잠시 잊고 살아보자~는 맘으로 발길을 뚝~ 끊었었더랬죠~ ㅋ
종종 눈팅은 하였으나, 글을 쓰면 투털~ 투덜~ 거릴거 같아 자제중 이었어요~^^;;
그런데......오늘은 못 참고 투덜~ !거리면서 질문 하나 할께요~^^;;
제가 어느덧.....교정한지 10개월 차가
되어 버렸어요..,(안돼..안돼..진전은 없이 시간만 가면 안돼..ㅠㅠ)
그런데, 발치공간이 아직도 4~5미리 정도남았어요.. 사실 겨우 2~3미리 정도가 닫혔다고 말하는게 더 맞겠군요..ㅠㅠ
물론 개인차가 있다는건 잘 알고 있습니다만, 이거이거 너무 느린거 아닌가요~? ㅠㅠ
다른분들 후기를 봐도...저만큼 느린분이 없는거 같아요..ㅠㅠ
흐엉~~~~
저는 치아이동이 느린사람 인거 겠죠~? 교정기간도 많이 늘어날까요~?
글쓴 시간을 보시면 느껴지시겠지만,, 교정고민으로 잠못 이루는 밤입니더~ @_@
사실 치아교정 받으면서 스트레스가 너무 심해서, 잠시 잊고 살아보자~는 맘으로 발길을 뚝~ 끊었었더랬죠~ ㅋ
종종 눈팅은 하였으나, 글을 쓰면 투털~ 투덜~ 거릴거 같아 자제중 이었어요~^^;;
그런데......오늘은 못 참고 투덜~ !거리면서 질문 하나 할께요~^^;;
제가 어느덧.....교정한지 10개월 차가
되어 버렸어요..,(안돼..안돼..진전은 없이 시간만 가면 안돼..ㅠㅠ)
그런데, 발치공간이 아직도 4~5미리 정도남았어요.. 사실 겨우 2~3미리 정도가 닫혔다고 말하는게 더 맞겠군요..ㅠㅠ
물론 개인차가 있다는건 잘 알고 있습니다만, 이거이거 너무 느린거 아닌가요~? ㅠㅠ
다른분들 후기를 봐도...저만큼 느린분이 없는거 같아요..ㅠㅠ
흐엉~~~~
저는 치아이동이 느린사람 인거 겠죠~? 교정기간도 많이 늘어날까요~?
글쓴 시간을 보시면 느껴지시겠지만,, 교정고민으로 잠못 이루는 밤입니더~ @_@

음.. 정확한 정보를 드리기 위해..
교정후기 폴더를 열심히 뒤져봤어요 ㅋ_ㅋ
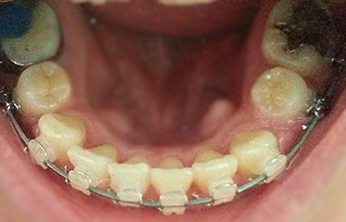
1년 반째 사진이에용 하악 좌측이 아직 덜 닫혀있네요.. @_@
발치공간이 다 닫히는데는 보통 1년~2년 정도 걸린다고 해요.
교정 초반에는 하악 발치공간이 찔끔찔끔 닫히는 것 같더니 어느 순간부터
이게 닫히긴 닫히는 건가~ 생각했던 것 같아요 ㅎ_ㅎ
걱정 안하셔도 되실 것 같아용 *_* /~
그나저나... 벌써 10개월이나 되셨어요??? 우어.. 시간 참 빠르네요 ㅠㅠㅠㅠ
릴렉스~~ 기다림이 필요한 순간이네요...^^;