[치아교정후기27] 교정만의 오라픽스 치아교정후기 - 위 아래 철사 감았어요~
모두들 잘 지내고 계신가요?
봄이 다가오고 있어요ㅎㅎ
이쁜 옷 입기 전에 감기 걸리지 않게 꽃샘추위 조심하기~~~^.^
치과에 다녀왔습니다
이번달 치아교정후기에서 말씀드렸듯 2월에는 잘떄만 고무줄을 끼고 잤는데요.
사실 잘 못햇어요ㅠㅠ 그래서 한달 더 고무줄 껴야 하나 생각했었는데
이번달은 아래 치아에 철사로 모두 연결하고
(위 치아에만 걸었었던 철사를 아래에도 걸었어요)
고무줄을 끼지 않아도 된다고 하셨어요 히히히히
치료가 오래 걸릴지 알았는데 한시간 만에 끝나서 다행이었어요
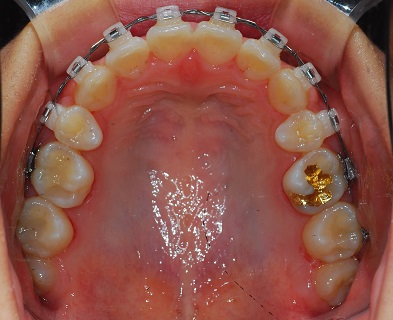
치아사진 보실까용?
먼저 상악사진입니다
하악사진
측면사진
발치공간은 다 매꿔진지 벌써 오래네요
정면사진
보시면 윗니의 중앙과 아랫니의 중앙이 맞지 않는데 이 중심을 맞추는 것이 이번 치료가 될 것 같아요~
교정 일기 하에 예지의 먹방 타임
저희 동네가 순대, 곱창, 족발,,이런걸로 유명한데요
어쩌다보니 외국인 친구랑 족발 먹으러 갔어요
애들이 족발보고 놀라서 플래시키고 사진찍고ㅋㅋㅋㅋㅋ
사장님이 서비스로 냉면 주셨는데 애들이 젓가락질을 못햇다능...ㅋㅋㅋㅋㅋ
저 혼자 다먹었네요
아 뼈까지 뜯고 왔어야 됬는데 애들이 식겁할까바 그건 참았어요
저는 살찌는 음식만 좋아해서ㅋㅋㅋㅋㅋㅋㅋ샤브샤브는 사먹는건 처음이었는데
뻥튀기 아스크림이라고 아시나요?
와 신기하다 하고 시켰는데 진짜 맛잇어여ㅋㅋㅋㅋㅋㅋ
신기하고 맛잇고....아이디어 정말 좋은 거 같아요
여기는 이태원에 있는 피자집!
저렇게 네모난 조각으로 판매를 하더라구요
일반 피자집에서 먹을 수 없는 거라 꽤 괜찮았던 거 같아요ㅎㅎㅎㅎ
한조각에 오천오백원인데 저거 둘이서 세조각 먹고 배불럿어요
요즘 레스토랑에서 일하는데
여행경비 모은다고 매일매일 일하네요
여행이라는게 끝이 없는거같아요
여기가면 다른데 가고 싶고, 더 많이 가고싶고...
이젠 더~이상 미뤄지지 않고 갔으면 좋겠어요
다음 월치료 다녀와서 치아교정후기 올릴꼐요~
다음 치료날은 4.4일 입니다. 담에 뵈요^.^

점점 끝이 보이네요~ 부럽슴돠+_+
뻥아이스크림 맛있죠?!! 추릅추릅 먹고 싶네요>,<