[킬본 돌출입 교정 31.] 투명장치 (클리어얼라이너) + ㅁ+)//
이사모 가족 여러분 안녕하세요~ 레드썬입니다~ ^ ㅁ' )//
지난 교정 일기 때 스크류와 오라픽스 장치를 다 제거 했지만~
아직 끝이 아니라 또 다른 시작이라고 글 남겼었는데요~ ^^
원장쌤님이 오라픽스 장치를 떼고 나서 약간의 조절이 더 필요 하다고 하셔서~
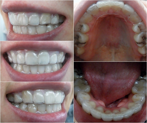
이번에는 클리어 얼라이너라는 투명 장치로 교정 진료를 받게 되었어요~ + ㅁ+)b
투명 장치는 임시유지 장치랑 생긴 모양은 비슷해요~
투명 장치는 이렇게 Soft 타입과 Hard 타입 두 가지가 있구요~
먼저 Soft 타입을 1주일 착용하고, 그 다음에 Hard 타입을 2주일 착용하면 됩니다~ ^^
임시유지 장치와는 다르게 조이는 느낌이 들어서 처음에 착용하고 나면 치아 전체가 간질간질해요 ㅋㅋ
투명 장치도 임시유지 장치처럼 식사시간, 잇솔질하는 시간 외에는 항상 착용하고 있어야 하구요~
장치 착용하고 있을 때는 차가운 물 외에 다른 음식은 절대 드시면 안되요~!
그리고 정말 중요한 거~ 장치 잠시 빼 두실 때는 케이스에 꼭 보관하셔야 해요~
아니면 저처럼 화장지에 싸두었다가 잃어 버리는 수가 있습니다.. ㅠㅅㅜ 뚜둥~ OTL
ㅎ ㅑ~ 가지런 해진 치아~ + ㅁ+)//
투명 장치를 처음 꼈을 때는 임시유지 장치와 다르게 치아에 딱 맞지 않고 이렇게 살짝 뜬 답니다~
처음에는 살짝 뜨지만 계속 착용하다 보면 치아가 조금씩 이동하면서 딱 맞게 변해요~ ^^
이렇게 착용하고 있어도 투명 장치라 티가 많이 안 나서 보기에는 좋네요~ ㅎㅎ
ㅇ ㅏ~ Hard 타입 2주일 착용 후에도 치아 사이에 살짝 틈이 남아 있어서.. ; ㅅ;)>
새로 본 뜨고 나서 그 전에 쓰던 Hard 타입 장치를 다음 투명 장치가 나오기 전까지 며칠 더 착용했어요~
투명 장치도 오래(?)해야 할 줄 알았는데.. 생각보다 금방 끝나게 될 거 같아서 괜히 또 아쉽다는.. ' ㅁ')a
이제는 정말 유지 장치 붙이는 날이 얼마 안 남았네요~ ^^
링고님이 좋아하시는 제주도~ 저도 참 좋아하는데요~ ' ㅅ')// ㅋㅋ

예쁜 제주도 바다랑 유채꽃 구경도 하고~ 맛있는 전복뚝배기랑 한라봉 아이스크림 먹고 왔어요~ ' ㅠ'
제주도에는 벌써부터 봄이 온 거 같은데~
여기도 추운 겨울이 얼른 지나가고 따뜻한 봄이 왔으면 좋겠어요 ㅋㅋ
교정하기 전에는 사진 찍히는 걸 정말 싫어 했었지만~ 지금은 즐기게 되어서 좋아요~ ㅎㅎ
솔직히 올릴 때 마다 쫌 민망 하지만..ㅋㅋ 안 올리면 어색할 거 같은 셀카도 올립니다~ ^^;
이번 교정 일기는 여기까지예용~ 다음 일기도 기대해주세요~ :D
ㅡㅡㅡㅡㅡㅡㅡㅡㅡㅡㅡㅡㅡㅡㅡㅡㅡㅡㅡㅡㅡㅡㅡㅡㅡㅡㅡㅡㅡㅡㅡㅡㅡㅡㅡㅡㅡㅡㅡㅡㅡㅡㅡㅡ
그리고 센캐지요님과 링고님과의 즐거웠던 벙개 살짝~ 사진이 몇 장 없어서 아쉽네요 ㅠ_-
교정에 대한 폭풍 수다와 함께~ㅋㅋ 불고기 버섯 전골에 자몽주 냠~ ' ㅠ')> 맛있었어요~
요건 센캐지요님과 링고님의 폰케이스 ㅋㅋ 넘 귀여워 보여서 찍었어요~ ^ ㅁ^
저는 이사모 통해서 교정도 하고~ 좋은 분들도 많이 알게 됐고~ 정말 복 받은 거 같아요~ ㅎㅎ
이사모 가족 여러분들도 복 많이 많이 받으시구요~ 즐거운 교정 함께 하시길 바래요~ ' ㅅ')//

저는 일반교정을 햇엇는데 잘안되서 지금 킬본교정 생각중인데 비용이 어느 정도 되는지 궁금합니다.^^