안녕하세요 ~~~ 새해가 밝앗네요 ~~~
치아교정후기로 인사드리긴 무척이나 오랜만이에요 ^^
하필이면 아가들 어린이집 방학기간과 맞물린거잇죠
원래는 어머님께서 봐주시기로 하셧다가 고질병인 어깨가 확 나빠지셔서
사고뭉치 두 아가들을 맡기기가 참 죄송스럽더라구요
그래서 병원측에 여차저차 사정 말씀을 드리고 한주 더 미루게되어
이제야 치아교정후기를 올리네요 ㅎㅎ
6주만에 다시찾은 치과 ~~~
지난번에 몸이 안좋으셔서 자리를 비우셧던 원장쌤도 계시구요
그사이 진료를 봐주셧던 원장쌤도 계시구요
모두모두 반가웠어요 ㅎㅎ
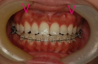
한주 더 미루는동안 상악 맨끝에 어금니 브라켓이 또 떨어져버렷어요
심지어 떨어지면서 제가 콰악 !! 씹어버려서 찌그러지기까지 ;;
제 치아가 마니 단단한가바요
치위생사 쌤께서 바이트블럭에 이자국이 나잇다고 ㅋㅋ
브라켓 붙일 공간이 없어서 잇몸까지 떼어내고 붙인건데 벌써 두번째 탈락이에요
요 치아만 계속 말썽이네요
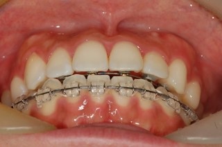
떨어지지않게 단단히 브라켓을 다시 붙인후 상 하악 와이어를 한단계 더 굵은걸로 교체햇어요
쨔잔 ~~~
지난번보다 조금더 예뻐진것 같나요 ?? ^^
의식하고 사진찍어서 그런가 사진상에는 티가 안나는데
그냥 이 ~~~ 하고 거울을 보면 중심선이 마니 어긋나더라구요
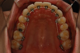
눈부신 발전을 보인 상악 치열 ~~~

여전히 어금니에는 바이트블럭을 또 쌓아올리고 ~~~
이가 맞물릴때 브라켓이 계속 치아에 닿아요
브라켓을 갈아낼만큼 다 갈아내서 더이상은 갈아낼 브라켓도 없대요 ㅋㅋ
교정 끝날때까지 바이트블럭과 함께할 운명인가바요 ㅋㅋ
참참 울 치과에서는 갤러리도 운영하고 장학회 활동도 하고잇답니다
지역내 아동들도 돕고 블로그보니깐 아프리카 ?? 같은 나라의 아이들도 장기후원 하시는것 같던데
좋은일도 많이 하시니 갈때마다 괜히 더 마음이 따뜻해지네요
가을쯤이엇던가 ??
갤러리에서 사진전을 열엇는데 주제가 "미소가 담긴 여행사진" 이엇어요
참여해달라고 하시길래 예전에 찍은 울딸램 사진을 보내드렷거든요
하조대에 놀러갓다가 장난친건데
신랑의 아이디어에 저의 예술혼이 깃든 작품이라고나 할까요 ?? ㅋㅋ
옆에는 덤으로 아들램 울리기 ~~~
암튼 이사진이 갤러리에 한달간 전시되엇고 전시기간이 끝난후 예쁘게 액자에 담아주셧어요
새해 탁상달력에도 울딸램 사진이 똬앟 !!
게다가 선물로 주유권까지 ~~~
새해 첫방문에 기분좋은 선물을 한아름 들고 돌아왓답니다 ^^
그럼 한 달 뒤에 다음 치아교정후기에서 만나요 ~~~

안녕하세요 증산댁님^^ 상악 치아 배열 너무 가지런하신데요? 이뻐여+_+
세상에 하나뿐인 달력이네요~! 소장가치 짱이겠어요. 아드님 우시는거 완전 서러워요 아고고 귀여워라>,< 저는 조카가있는데 서럽게 울때 그리 귀엽더라구요ㅋㅋㅋ 눈물뚝뚝흘리며ㅋㅋㅋ(이런이모라 미안하구나...-0- ㅋㅋㅋ) 후기 잘봤습니당~~추운날씨에 건강조심하시고~ 한달뒤에 또 뵈요^^
얕은 바닷물에 앉혀놓고 도망갓더니 파도가 밀려오니깐 겁나던지
오열하면서 기어나오는데 어찌나 웃기던지 ㅋㅋ 저도 살겟다며 안간힘을 쓰고 ㅋㅋ
저희부부는 짖궂게 애기들 놀리는 재미로 살아요 ~~~
아직 철없는 엄마 아빠라 미안하구나 ㅠㅠ;;
와 깜짝 놀란게 상악 치아가 예쁘게 가지런하세요 치과에서 예쁜 큰 딸 사진이 뙇..!!ㅋㅋ 정말 뿌듯하시겠어요~~ 덕분에 잘 보고가용! ㅎㅎ
대단한건 아니지만 그래두 괜히 뿌듯하고 기분이 좋더라구요 ~~~
응모만하면 대부분이 그냥 걸리는 사진이엇겟지만
울딸램이 예뻐서 그런거야 ~~~ 혼자서 생각하고 ㅋㅋㅋㅋㅋ
새해부터 소소한 기쁨들이 하나둘 생기네요 ^0^
치아가 하얀게 빛이 나네요 깔끔한 치아랄까 ㅋㅋㅋ
오래 안 걸리실꺼같아요~ㅎㅎ
아드님이 어찌저래 서럽게 우시나요 ㅠㅠ ㅋㅋ 넘 귀여워요 ㅋㅋ
하얗진않은데 투명하다고 해야하나?? 설측장치가 비친다고 그러더라구요 ㅡ.ㅡ
교정전에 치아미백 하지못한걸 엄청 후회하며 사진 올리고잇는데
예쁘게 봐주셔서 감사해용 ㅎㅎ
저도 기간은 2년 걸린데요 ~~~ 겉으로보기엔 멀쩡해도 남들할건 다해야하는 치아;;
와 진짜 치아가 가지런하게 배열된게 진짜 부럽네요 ㅠㅠ 것도 하얀 치아를 가지셔서.. 부럽네요 치아미백하셨어요 ㅠㅠ?? 저도 치아교정 하기전에 일단 치아미백이 급 땡기는데.. ㅠㅠ 예쁜 딸과 아들래미가 너무 너무 귀여워요 ㅋㅋㅋㅋ 이대로 자라다오~!
별로 하얗다고 생각하지않은데;; 투명해서 사진발이 좀 받나바요 ㅋㅋ
저도 교정전에 치아미백 완젼 하고싶엇거든요
근데 원장쌤이 교정중에 관리 잘못하면 얼룩덜룩해질수 잇고
이왕 할거면 끈나고 하라고 하시더라구요 ~~~ 예쁘게 봐주셔서 감사해용 !!
치아가 정말 뽀얘요~~~~~
저도 울퉁불퉁해지는 잇몸쪽이 거슬리는데
교정마친 친구 보니까 교정 끝나고 어느정도는 가라앉아서 괜찮다고 걱정말래서
괜찮겠지~ 하고 있어요ㅎㅎㅎ
애들이 너무 예뻐요ㅋㅋㅋㅋ 특히 아들요!ㅋㅋㅋㅋ
오오 ~~~ 마쟈여 ~~~ 다른분들께서 자꾸 하얗다하얗다 하셔서 신기하게 생각하고 잇엇는데
하얀게 아니라 뽀얀게 맞는거가타여 ㅋㅋㅋㅋㅋ
치아돌출이 아니라 잇몸뼈 돌출이라 교정으로 완벽하게 쏘옥 들어가진 않겟지만
어느정도는 완화된다 하더라구요 ~~~ 그날까지 치료 잘 받으며 기다려보아요 ~~~
엥..증산댁님... 교정...얼마나 하셨다고...너무너무 이가 가지런하고 예쁘신거 아니에요?:깜짝놀랐어요...덧니로 교정하신거 아니였나요..ㅋㅋㅋㅋ빨리 증산댁님 예전 교정후기 다시 보고와야 할듯 싶어요!!!!!ㅋㅋㅋㅋ 그리고 ㅜㅜㅜ애들 오랜만에 올려주셨네요 ㅠㅠ진짜 다들 한인물 하네요 !!! ㅋㅋㅋㅋ 웃는거 너무예쁘다!!!