[치아교정후기25] 교정만의 오라픽스 치아교정후기 - 위아래 고무줄
안녕하세요 교정만의 치아교정후기 입니다~ 어느덧 새해가 밝았어요 모두 새해초에 결심하신것 잘 이루시길 바랄게요 빠쌰!!^.^
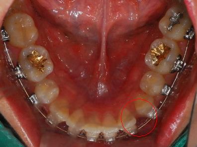
치과에 다녀왔습니다. 벌써 25번째 치아교정후기네요ㅎㅎㅎ 먼저 치아 사진을 보시면 아랫니에 공간이 살짝 생긴 것이 보이는 데요
<정면 사진>
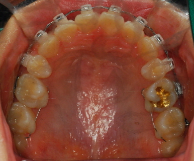
<상악 사진>
<하악사진> 저는 처음에 왜 다시 벌어지지? 하고 걱정했는데 치과선생님께서 벌리는 것이 더 어렵다고 하셨어요~ 의도된 과정이었더라구요*^^* 이번달은 고무줄을 다시! 이용하여 윗니는 뒤로 아랫니는 앞으로 당겨주는 작업을 할거에요 그래서 고무줄은 위아래로 걸게 되었습니다~ 밥먹을 때 마다 뺏다 꼈다 해야 하는데 오랜만에 다시 고무줄끼니 정말....아프네요 맛잇는거 있어도 못먹고.. 옛날에 엄마가 치아가 많이 빠져서 딱딱한거 먹는 저랑 동생들 보면서 밥먹을때마다 부럽다고 하셨었는데 지금 제가 그러니 진짜 부럽고.. 엄마께 미안한 마음도 들고 그래요..ㅠㅠ
아아 쨋든 이번달 과정은 고무줄이구요 한가지 더~ 윗니가 예전사진을 보면 앞니 뒤가 많이 울퉁불퉁 한 것을 볼 수 있는데요 윗니와 아랫니가 서로 좀 더 가깝게 하기 위해 뒷부분을 좀 깎는 작업을 했습니다 치과쌤의 표현 방식을 빌리면 일종의 배가 나온 부분을 다이어트 시켰다고나 할까요?!ㅎㅎㅎㅎ (내 배도좀 해야될듯....)
12월달에는 크리스마스다 연말이다 새해다 하면서 쉬는날이 엄청 많았죠~ 그래서 엄청 많이 놀앗져 다들 즐거운 연휴 잘 보내셨나요?
죽전 단국대 근처에 있는 파스타집이에요 파스타 피자 파는데는 많아도 뛰어나게 맛잇는 곳은 찾기 힘들잖아요 여기는 진짜 뛰어남!!!! 피자도 도톰하고 안심파스타도 너무 맛잇고... 하 담에 또 갈꺼에여...ㅋㅋㅋㅋ 궁금하신분은쪽지 ㄱㄱ
이날이 크리스 마스 날이었죠 저랑 제 친구는 너무 편한사이라 머리도 안감고 만났드니.. 왠 국회의원이 피자 먹으러 나옴ㅋㅋㅋㅋㅋ
아 교정만의 먹방타임인가여... 요즘에 봉구비어가 많이 생기더라구요 우리동네에 몇개있는지... 크림맥주가 너무 궁금해서 먹으러 갔어요 맛잇더라구여ㅋㅋㅋㅋㅋ근데 감자튀김는 너무 비싸여... 저정도는 혼자먹을양인데...흡
조명 아래 빛을 잘받아서 코가 오똑하게 나왔네요 흡족ㅎㅎㅎㅎ 하 이번달에 커다란 대형사고 날뻔...
지하철을 내려가는데 급하게 에스컬레이터 뛰어내려가다가 기우뚱 했는데 구두굽이 부러진거에여!!!!! 어케 이런일이~!!!! 저게 팔구센치는 되는데에... 너무 창피하구 그래서 구두굽 잇는사람처럼 까치발 들고 다녔어요... 그러고 학원갔다가 집와서 아예 버렸네요 이제 워커는 비싼신발 사는 걸로~ 저의 교정일기와 먹방일기(ㅋ)는 여기까지에용 고무줄 열심히 걸고 다음 치아교정후기에서 인사드리겠습니다ㅎㅎㅎ 다음 치료일은 2월 3일이에요~ 새해복 많이 받으세요!! Hapy New Year |

윗니 아랫니가 너무 깔끔하게 교정되셨어요ㅎㅎㅎ 오밤중에 피자 사진에 배고파지는.....ㅜ
구두굽ㄷㄷㄷ 담부턴 조심하셔용ㅎㅎㅎ 피자 맛나보이네요... 츄릅츄릅