[치아교정후기] 촉촉뇽의오라픽스교정후기 22편- 와이어교체
안녕하세요,
오라픽스교정중인 촉촉뇽입니다~^^*
요즘 너무 춥네요 ㅠ.ㅠ 다들 따뜻하게 다니세용
감기 걸리면 고생입니다 ㅠ.ㅠ
교정치료 받으러 아침 댓바람부터 KTX타러 고고씽~
전날에 자리가 매진이라서 당일날 급하게 자리잡아서 갔는뎅
4인석 자리에 저 혼자 여자가 딱 됫더라구용 ㅋㅋㅋㅋ
완전 쌩얼로 가서 화장하기도 민망하고 죽은 척 잠만자다가 왓네요~ㅋㅋ
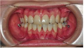
이번 교정치료는 와이어교체입니다~
먼저 사진촬영부터 시작~
엑스레이 앞면 옆면 사선 찍공
일반사진 찰칵찍고~ 아직도 거의 쌩얼인지라
잠시만요 화장 좀 하고 가실께요 하고 싶었지만 ㅠㅠ
치위생사언니도 바쁘실테니 그냥 찍어버렷네요 ㅋㅋ
나중에 사진보고 기겁을 했어요 ..ㅋㅋ
다음부터는 화장하고 꼭 서울 가려구요..ㅋㅋㅋ
교정치료시작~
와이어교체하면서 잇몸이 약하다고 말씀하시더라구요 ㅠ.ㅠ
이놈에 잇몸… 진짜 매달마다 잇몸 때문에 치료받을 때 문제가 있는 거 같아요~
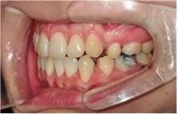
선생님께서 잇몸이 약해서 당기기를 늦추고 있는 거라고 하셨습니다 ㅠ.ㅠ
그러면서 지속적으로 상악앞니를 위로 올리는 장치는 제거하지 않았구요~
곧 다음 치료에 하악앞니도 밀어넣도록 브라켓을 굵은 것으로 다시 재장착하실 거라구 하셨
어요~ㅠ.ㅠ
이 말에 벌써 부터 긴장되는ㅠㅠ 브라켓 제거할 때가 저는 넘넘 무섭더라구용
치아도 뽑힐 거 같은 그런 기분이 들어서
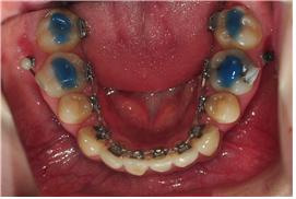
와이어랑 고무줄만 교체하고 진료 끝~
잇몸만 건강하다면 치료 진행이 이렇게 느리진 않을텐데,
요놈의 잇몸 때문에 요즘은 치료의 진척이 별루 없네용~
그래도 발치공간은 조금씩 닫히고 있는 거 같습니다~
그럼 요기까지 22번째 교정후기였습니다~
다음 후기에는 색다른 교정치료로 찾아뵐 수 있었으면 좋겠네용~

긴 머리가 지저분해보여서 정리하러 갔다가
또 지베와서 보니 어정쩡해서 확 잘라버렷어요~^^*
머리자르고 늙어보인다는 소리....듣고는 슬프지만 ㅋㅋ
저는 맘에 드네요~ㅋㅋ 짧아지니깐 관리 너무 편해서 ㅋㅋ

크리스마스날 트리와 함께 찰칵 ㅋㅋ

치과에서 생일이라고 보내주신 휴대용칫솔~♥
감사히 잘 쓰겠습니다~
새로운 카페를 찾아 다니는 요즘의 근황~ㅋㅋ
다들 교정치료 화이팅하시는 거 아시죠?!ㅋㅋ
2013년 하루 남았네요~
알찬하루 보내시공
2014년도 행복한 한 해 되실 바래용~
해피뉴이얼~~♥

병원에서 생일축하 선물도 주는군요~~~ 늦었지만 축하드려요~~~~^^ 초밥사진 보니까 배고프네요~~ㅜ.ㅜ
우왕 일상사진들 너무 예뻐용~~ 머리 자르신거 단발 저도 너무맘에 드는데요!!... ㅋㅋㅋㅋㅋ 제가 맘에 든다니 뭔가 웃기지만 예뻐요!!ㅎㅎㅎ
우왕 완전 미인이셔요^^ 머리 잘어울려요 아름다우셔라~>,<
촉촉뇽님도 복 많이많이 받으시고 알찬한해되세요^^