[킬본 돌출입 교정 30.] 블랙트라이앵글 제거 / 장치 제거
이사모 가족 여러분 안녕하세요~ 레드썬입니다~ ^ ㅁ^)//
눈도 펑펑 내리고~ 바람도 쌩쌩 불고~ 날씨가 많이 추워졌네요~ > ㅅ<
다들 한 해 마무리 잘 하고 계신가요~!? ' ㅅ')a
저는 연말이라 더 늘어난 업무와 송년 모임 덕분에~
정신없이 바쁜 12월을 보내고 있답니다~ ㅇ _ㅇ)~
지난번 하악 치아 치간 삭제에 이어서~
상악 치아 블랙 트라이앵글 제거도 하고 왔어요~! ' ㅠ'
자세히 보지 않으면 잘 안 보이는 조그마한 블트라~ 신경 쓰지 않았었는데..!
완벽주의 울 원장쌤님께서 발견하시고는~ 없애주셨어요 + _+)b 유후~
다시보는 블랙 트라이앵글 삭제 방법입니다. :D
많이 심하지 않은 블랙 트라이앵글은 이렇게 치간 삭제해서 없앨 수 있어요~ ^^
생각보다 간단하게 없앨 수 있으니~
교정하시면서 블트 걱정은 미리 안 하셔도 돼요 ㅋㅋ
블랙 트라이앵글 제거도 하고~ 파워체인으로 당기기도 하고~
고무줄도 열심히 걸고~ 치아 모양도 예쁘게 다듬고~
이제 정말 장치 떼는 날이 다가왔나 했는데...!
읭~? 막상 끝날 때가 되니 아쉬워하는 저의 맘을 아는지... ; ㅅ;)>
상악 치아 사이에 약간의 틈이 생겨서.. OTL
파워체인으로 짱짱하게 당기기 다시 한번 더해주었어요~!
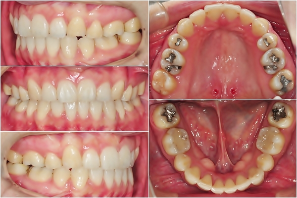
교정 장치 떼기 전 마지막 치아 사진입니다~ 완전히 가지런하죠~? ^ ㅠ^
그리고 나서 드. 디. 어.......... !!
아기다리고기다리던 장치 제거하는 날이 왔네요 ^ ㅁ^)//
장치 떼기 전에 원장쌤님께서 치간 사이 공간과 교합 잘 맞는지 체크해주셨구요~
자세하게 하나씩 잘 설명해 주시는 친절한 치위생사쌤님께서 오라픽스 장치 제거해주셨어요~
치위생사쌤님이 오라픽스 장치 뗄 때 조금 아플 수도 있다고 하셨는데..
저는 세라믹 장치 제거 해본적이 있기 때문에~ 느낌 아니까~ 괜찮았어요 ㅋㅋ
장치 하나씩 똑 똑 떼어 내고~ 접착제 제거 윙윙~! @ _@ 이 정도 통증쯤이야~ 견딜만합니다~ :D
오라픽스 장치는 제 개인 치아에 맞게 만든 장치라~ 치아 표면에 딱 맞게 붙어 있어서 그런지..
치위생사쌤님이 조금 더 힘들게 떼셨던 거 같아요~ ^^; 고생 많으셨어용~! 감사합니다~♡
오라픽스 장치 제거하고 나서 입 천장 스크류 두 개와 하악 오른쪽 스크류도 제거했습니다.
스크류 뺄 때는 마취 안 했구요~ 스크류 드라이버 비슷한 걸로 돌려서 뺐어요. > ㅅ<
처음 스크류 돌릴 때 느낌은 많이 묘(?) 하지만... 조금 돌리다 보면 금방 괜찮아져요 ㅎㅎ
짜잔~ 오라픽스 장치 제거하고 스크류도 뺀 치아 사진입니다~ + ㅁ+)b
민둥 민둥~ 매끈 매끈~ 한 이 느낌~!! + ㅁ+)!! 낯. 설. 다. ㅋㅋㅋㅋㅋ
장치 다 제거하고 나서 임시유지장치와 투명장치를 만들기 위해 치아 본 두번 떴구요~
임시유지장치가 만들어지는 동안 엑스레이 촬영도 했어요~ ^^
새로 만들어진 임시유지장치 사진입니다~
요렇게 두 개를 겹치면 제 치아 모양~! 하핫~ ' ㅁ')//
임시유지장치는 음식물 섭취하는 시간, 잇솔질하는 시간 외에는 항상 착용하고 있어야 합니다~
착용한 상태에서는 차가운 물만 마셔야 하구요~ 따뜻한 음료를 마시면 모양이 변형 될 수 있으니 노노~!
잠시 빼 놓을 때는 꼭 케이스에 보관하여 잃어 버리지 않게 조심하기~
임시유지장치 하게 되면 이 세 가지는 꼭 지켜주셔야 해요~ ^^
장치 떼고 스크류까지 빼고나니 정말 신세계예요~ ㅎㅎ
발음도 새지 않고~ 잇솔질도 편해지고~ 치실하는 것도 쉬워지고~
그동안 고생한 보람이.. ㅠ _- (솔직히 고생이라고 할 것도 별로 없었지만..;; )
결론은 기분 정말 좋아요~ ^ ㅅ')b ㅋㅋㅋ
살짝 추웠지만 날씨는 화창했던 날~ 송도 센트럴파크로 나들이 다녀 왔는데요~
이국적인 분위기와 쭉쭉 뻗은 독특한 건물들~ + _+
주위 둘러보며 편하게 산책하기에 좋은 곳인 거 같아요~ :D 사진 몇 장 올려 볼게요~
건물들이 특이하죠~? 주위 구경하며 걷기에 좋은 곳이예요~ ^^
어색한 쁘이~ ' ㅅ')v 멋진 건물이 많았는데~ 왜 하필 타워크레인 있는 곳 앞에서...orz
여기서도 셀카.. ' ㅁ' )> 교정하고 나서 제대로(?) 자리 잡힌 얼굴입니다~ ㅎㅎ
( 물론 셀카라 실물보다는 사진이 잘 나왔어요.. 푸하~ :D )
오라픽스 장치도 떼고~ 임시유지장치도 하고~ 교정이 정말 다 끝난 거 같지만...!!
저는 아직 끝이 아니예요~ 끝은 또 다른 시작이라며~ ^^; 다음 일기 때 또 보아용~
다들 빙판길 미끄럼 주의하시고~ 감기도 조심하세요~ 뿅~☆

저는 생각보다 치아이동이 안되네요..ㅠㅠ
긴 싸움이 될듯해요...