[킬본 돌출입 교정 29.] ②⑨번째 오라픽스 월치료 / 치간삭제
이사모 가족 여러분~ 안녕하세요~ :D
킬본교정하고 나서 인생이 달라지고 있는 레드썬입니다~ > ㅁ<)//
얼마 전까지만 해도 놀러 다니기 좋은 시원한 날씨였는데~
가을 좀 느껴 보려고 했더니 금새 또 추워지고 있네요.. ㅠㅅㅜ
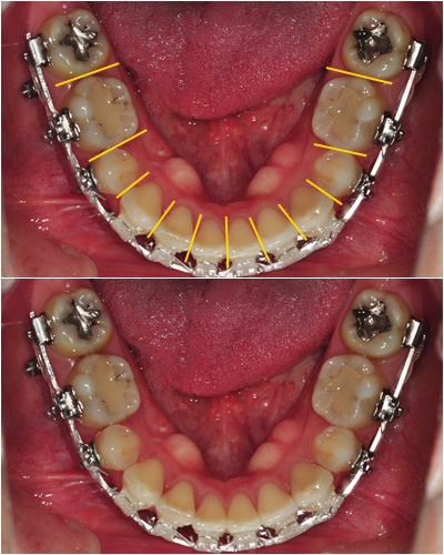
29번째 월치료~ 하악 치아 치간삭제하고 왔어요~ + _+
앞니 교합을 맞추면 어금니 부분이 음식 씹을 때 어색한 거 같고~
어금니 교합을 맞추면 앞니 부분이 일직선으로 맞 닿는 거 같고~
뭔가 살짝 어색하다는 생각이 들었었는데요~ ; ㅅ;)>

원장샘님께서 하악 치아가 상악 치아에 비해 크기가 커서 그런거라고 알려주셨어요~
ㅇ ㅏ ㅎ ㅏ~! 친절한 우리 원장 선생님~ ' ㅅ')b
궁금한 게 있을 때 마다 자세하게 잘 설명해주셔서 정말 감사합니다~ :D
교정 전에 걱정했었던 블랙트라이앵글은 안 생겼지만 ㅋㅋ
상악에 맞는 크기로 맞춰주기 위해 하악 치아 사이 사이를 조금씩 갈아 주었어요~ ^^
갈아 낼 때의 느낌은.. 음~ 전혀 아프지는 않았는데요..
윙윙 소리가 어마어마하게 크게 느껴져서..!! ㅇ _ㅇ)>
하악 치아가 너무 작아져 버리는 게 아닐까 하는 조바심이 아주 쪼금 들기는 했어요~
그래도 믿을 수 있는 우리 원장 선생님이기에~ + ㅁ+
쓸데없는 조바심은 바로 버리고 맘 놓고 치아를 맡겼지요ㅎㅎ
짜쟌~ 위에 사진처럼 치아 틈새마다 조금씩 갈아 주었어요~
아래 사진에 보시다시피... 정말 조금씩 얇게 갈아 낸 거라 티가 거의 안 나요~ ' ㅅ')!
치간 삭제 후에는 늘 하던대로 와이어 갈고 파워체인 연결해주는 걸로 진료 끝~
30번째 월치료 때도 하악 치아 앞 부분을 조금씩 더 갈아 주었어요~
그 결과~ 상악 하악 일직선으로 맞물리던 앞니였는데~
하악 치아 갈아내고 나니 상악 치아가 하악 치아를 덮을 수 있게 되었어요~ ^ ㅁ^
물론 어금니 교합도 잘 맞아서 음식 씹기 편해졌구요~ >>ㅑ오~ 신나네요 ~('ㅅ '~)
신나하던 그 순간 원장 선생님의 말씀...
이제 우리 인연을 끝 맺을 날이 다가오고 있다고~ OTL
교정이 끝나가는 거면 즐거워야 할텐데 왜 벌써부터 서운한 마음이 드는지~
병원 다니면서 정이 많이 들어서 교정 끝나게 되면 정말 허전할 거 같아요.. ; ㅅ;)a
그래도 끝까지 씩씩하게 교정 화이팅을 외치며~!!
가을여행 사진들 몇 장 올리고 갈게용~ ^**^

곤돌라 타고 높은 곳에 올라가서 찍은 사진이예요~
이 날 바람이 많이 불어서 곤돌라 탈 때 후덜덜했다는..ㅋ 그래도 높은 곳에서 보니 풍경은 멋지네요~ ^^;

양떼목장이예요~ 파란 하늘과 푸른 초원~ 포근한 양들까지~ 좋아요~ > ㅅ<

황금색 들판과 알록달록 코스모스 꽃들~ ^ㅁ^ 예쁘죠~!?

국화 반 사람 반이었던 국화축제에서 쁘이~ v('ㅡ')vㅋㅋ
위에 찍은 코스모스 꽃밭에서 셀카 ㅋ 이런~ 아쉽게도 코스모스 꽃이 얼마 안 보이네요 ㅠㅅㅠ
추워지는 날씨에 다들 감기 조심하시구요~ ^^
다음 후기 때 또 보아요~ ' ㅁ')// 읽어 주셔서 감사합니다~ 뿅~☆
