[치아교정후기21] 교정만의 오라픽스 치아교정후기
안녕하세용!!! 21화 치아교정후기에요ㅋㅋㅋ
모두모두 풍성한 한가위 잘 누리셨는지요
저는 너무 많이 먹어서
배가 팽창하는데 한계를 느꼈답니다...ㅋㅋㅋㅋㅋㅋㅋ
추석 전 치과를 갔다 왔는데요.
테이블 위에 떡을 올려놓고 오신분들 가져가시라구 하더라구요.
이런 깨알같은 이벤트.....♥
저는 이런 작은 친절, 배려가 너무 좋아요^_^
이번 치료는 평소보다 시간이 오래 걸렸답니다ㅠㅠ
지난 치아교정후기에서 말씀드린것처럼
저번 치료때 치아 이동이 예상대로 움직이지 않아 약간 놀란 저를 위해
친절히 과정을 설명해 주시면서 안심시켜 주셨답니다.
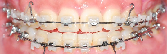
이번 치료때는 윗니에 철사 위에 감아 놓았던 철사를 제거 하구
고무줄을!! 이번 한달 끼지 않기로 했어요ㅎㅎㅎㅎ
먼가 더깨끗해보이지 않나여? 저만의 생각인 것인가....
이제 활짝 웃고 다니겠어요 헤헤
그리고 아랫 니 와이어를 제일 두꺼운 것으로 교체했습니다.
고무줄 대신 발치공간을 줄여줄 철사를 감아 놓았구
(이렇게 정교하게 고무줄이 잇몸에 닿지 않게끔 철사로 고정시켜주셨어요)
다음달이면 윗니 발치 공간은 다 줄어들 것 같다고 하셔요
제 눈에는 다 줄어보이는데 너무 신기해요ㅋㅋㅋㅋ
아랫니는 조금 남았네요~
다음 치아교정후기에는 꼭 발치 공간이 다 줄어들었다는 소식을 가져올게요ㅋㅋㅋ
이번달 너무 너무 너무 너~~무 바빴어요ㅠㅠ
생활패턴이 달라지면서 적응하기 꽤 힘들었답니다
얼굴 초최해도 이해해주세요ㅋㅋㅋㅋ
아 치과 model이 점점 살찌고 얼굴이 후퇴하고 이써여..ㅋㅋㅋㅋㅋㅋ
교정만의 먹.방ㅋㅋㅋㅋ
제가 휴학하면서 오전 학원을 다녀서 아침 5시에 일어나서 6시에 나가야 되요.
학원끝나고 아르바이트끝나구 집와서 숙제하면 새벽1시쯤 자요ㅠㅠ
그래서 아침에 잘 일어나지 못하는데
남동생이 저 보고 마니 안쓰러웠는지 전날 떡볶이 먹고싶다한걸 듣고
다음날 새벽 5시에 떡볶이를 만들어줬어요...감동....
커피 바리스타 배우고 싶어서 카페로 아르바이트 잡았어요.
처음으로 만든 카페모카 너무 기분 좋아서 한컷^.^
강남 프리마보바치오바치(맞나?)
빠네가 진리죠 여기는....
또먹고싶따아아아아

고무줄 하시다가 안하면 편하겠어용!!!!~~그나저나 교정만님 동생분은..여동생도아니고..남동생분이..그것도 새벽5시에..떡볶이를... ... 천산가봉가 ㅠㅠㅠ우리 동생은 뭐지..ㅋㅋㅋㅋㅋㅋ
상악 하악사진 치열 너무너무 가지런하고 귀여워욤~~~ 부럽긔!!
우왕~ 이제 발치공간도 딱 붙었네용 ㅠㅠ 부럽부럽 ㅜㅜ
이 야밤에 저 맛잇는 음식을 보니 군침이 도네용 ㅜㅜ 먹고파~~~