[치아교정후기20] 교정만의 오라픽스 치아교정후기 - 고무줄고무줄고무줄
안녕하세요~ 교정만의 치아교정후기입니다~~
이제 더위가 한풀 꺽여가네요^.^
저는 요즘 기타를 배우고 있어요
모두모두 뭐하구 지내시나용?^.^
치아교정후기가 벌써 20화나 되었어요!ㅋㅋ
벌써 20화씩이나 됐다니 뿌듯해하며 치과에 다녀왔습니다.
요즘따라 말을 할 때 발음이 새는게 너무 심한거에요
그래서 입안을 자세히 살펴보았어요
근데 웬걸!
치아가 위아래가 안맞아도 너무 안맞아ㅠㅠ
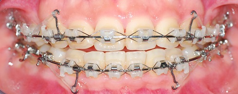
(정면 사진)
이~~~ 하고 치아를 보니 공간이 떠서 속이 보이네요
왠지 발음이 너무 안되요 ㅅ이 안되요
안녕하thㅔ 요.....
오랜만에 만난 친구가 외국에서 살다왓냐며ㅋㅋㅋㅋㅋㅋ
학원 면접가는게 걱정되네요ㅜㅠ
(측면 사진)
치과선생님께서 이번달 점검 하시면서
치아가 잘 이동중이라고 하셨습니다.
따로 특별한 언급은 없으니 괜찬은거겠죠?
나머지 사진 보여드릴게요
(상악 사진)
(하악 사진)
여기에 저번에 걸었던 고무줄 있죠 아래 어금니와 윗 니에 있는 다리에 거는 고무줄!
이번달은 남은 발치공간을 마저 매꾸기 위해!!!
윗니만 당기는 고무줄 + 위아래 같이 당기는 고무줄 + 아랫니만 당기는 고무줄...해서
고무줄이 2개씩 걸려있는 셈입니다ㅋㅋㅋㅋ
파워 고무줄 으아아앙아 화이팅!
아파요 많이.... 아픈 기념으로 치통셀카ㅋㅋㅋㅋ
그래도 참을만 한거 보니 교정인 다됬습니다ㅋㅋㅋㅋㅋ
끝을 바라보며...(아직 멀었지만ㅋㅋㅋ)
오늘도 화이팅있게!!!
요즘 커피를 배우는데요
제가 직접 내린 커피에요ㅋㅋㅋㅋㅋ
당분간 카페 알바하면서 일에 익숙해지려구요!
커피 잘만들고 싶어용>.<
아 저 운전면허 일종!!!1종!!!one!!!
못하겠다고 징징 대다가 겨우 땄네요
장농면허 되지 않게 아부지 차 가지고 나가야 겠어요ㅋㅋㅋㅋ
면허 잘 붙었다고 아부지가 주시는 선~~~~물
헤헷 아부지 센스쟁이
다음 치아교정후기 때는 윗니랑 아랫니가 잘 맞는다는 소식전하길 빌며ㅋㅋ
교정만의 오라픽스 치아교정후기 20편 여기까지~~!^.^
