[오라픽스 치아교정후기 19] 교정만의 치아교정후기 - 발치공간이 줄어들 때까지...
안녕하세요~ 시간이 참 빨리가는것 같아요. 또 벌써 19번째 오라픽스 치아교정후기네요ㅋㅋㅋ
폭우때문에 몇몇 지역에서 고생이 많으시죠ㅜㅠ
지하철만 잠기지 않았으면 좋겠습니다...... (대중교통 이용하는 1人)
와 벌써 19번째 후기네요....갑자기 뜬금 없지만
지금까지 제가 써온 일기들을 쭉 보면서 디기 많이 웃었습니다ㅋㅋㅋㅋㅋ
매달마다 항상 놀아야 된다며 일기를 써놨네요ㅋㅋㅋㅋㅋㅋㅋㅋㅋ
노는 날이 줄어서 그런가요? 사진을 점점 안찍어서 올릴게 없어요ㅠㅠ(흑흑 놀아주센...)
이번에 치과에서는 치아 상태 점검만 하고
저번 월치료와 같이 뺏다 꼈다 하는 고무줄을 걸기로 했어요.
고무줄을 잘 꼈다고 치과 쌤이 뿌듯해하시는 거 같았어여....(저만의 생각?!ㅎㅎ)
똑같은 치료를 받아서 치아교정후기에 후기내용 작성할게 별로 없네요....ㅠㅜ
이전 사진과 비교했을 때

(13번째 교정 일기에서의 치아 상태)
예전에는 앞니가 아랫니를 많이 덮었는데 지금은 윗 니와 아랫니가 많이 보입니다.

(19번째 교정 일기에서의 치아 상태)
많이 달라졌죠?
이제 발치공간을 줄이기 위해 고무줄을 더 열심히 걸어야 겠어욧!
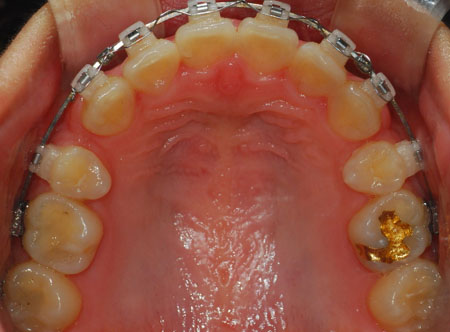
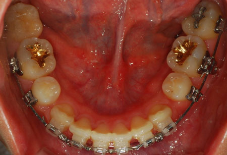
전체 치아 사진 보여 드릴게요~
상악 사진
하악 사진
측면 사진
저기 동그라미 친 부분이 남은 발치 공간 입니다. 많이 줄어들엇죠?
친구가 저 틈을 보고 치아 뽑은지도 몰르더라구요ㅋㅋㅋ
노란 동그라미는 남은 발치 공간 입니다.
예전에 처음 교정 할 때 이가 전체적으로 앞으로 나와서
뒤에 이들이 앞으로 쏠려 있어서 공간이 있다고 했었는데요.
지금 파란 동그라미 보시면 그 공간이 거의 없습니다. 음하하하하하하핳
신기하게 많이 변하네요
요즘~
연어 스테이크를 만들어 먹었어요.
와....저는 그냥 연어 덩어리 사다가 굽기만 했는데
알아서 맛잇게 되는.....진짜 맛잇어요 굽기만 하면 되여ㅋㅋㅋㅋㅋ
부럽고....타르타르 소스 사서 먹으면 짱짱짱 굳굳
저는 개인적으로 훈제 보다 스테이크로 구워 먹는게 진짜 맛있었습니다ㅎㅎㅎㅎㅎ
요즘 다이어트한다고 킥복싱 운동도 끈어서 다니고 있어요.
디기 재밋어요 그리고 다음 날 아침에 걸어다닐 때 다리 후들거려요ㅋㅋㅋㅋㅋ
한달 안에 살이 빠질까요? 빠지면 좋겠는데...ㅠㅠ

살 너무마니 쩟대여 흑흑 볼터질라해여...ㅜㅠㅠ
여러분은 다이어트 어떻게 하세요? 공유좀!ㅎㅎㅎㅎㅎ
다음 치아교정후기에서 인사드리겠습니다!!!

교정기꼇는데도 웃는모습이 예뻐요~
역시 교정하면 스마일라인이 확실히 달라지는것 같아요
그나저나 정말 집에서 요래 해드시는거에요?
음식솜씨 대단!! 맛잇겟답 츄릅 +ㅁ+