[킬본 돌출입 교정 27.] ②⑥/②⑦번째 오라픽스장치 월치료
이사모 가족 여러분 안녕하세요~ ' ㅁ')//
중부지방에는 저번주부터 장마가 올까 말까 하더니 이제야 제대로 오는 거 같네요~
시원하게 내리는 비와 함께~ 레드썬의 교정일기 시작합니다~ ^ㅡ^
( 월치료 다녀온지가 좀 지났는데 일기가 늦어진 점 정말 죄송합니다~! 반성즁.. ; ㅅ;)> )
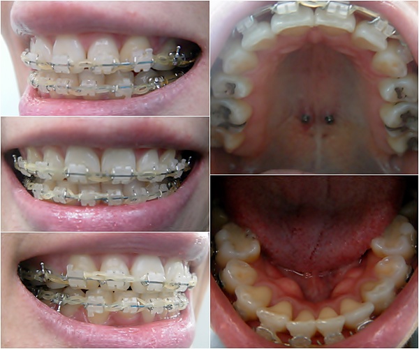
오라픽스 3D 개인맞춤 치아교정장치 붙이고 나서 월치료~

26번째 월치료는 새로 오신 여선생님이 진료해주셨는데요~ + ㅁ+
>>ㅑ오~! 원장선생님과는 다른 부드러운 손길 ~ ' ㅅ')~
정말 하나도 안 아프게 살살 조심스럽게~ 와이어 교체해주시고~ 파워체인 연결해주셨어요~ ㅎㅎ
오라픽스장치 월치료는 일반장치 월치료랑 비슷하게~
와이어 바꾸고 파워체인 새로 연결하는 걸로~ 진료 끄읕~ ^**^
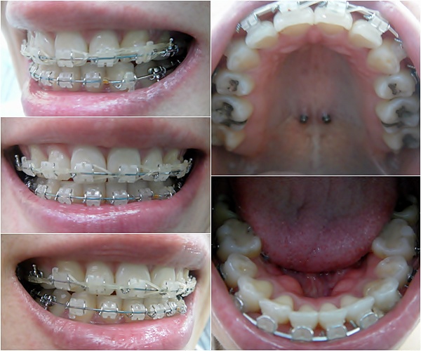
그리고 27번째 월치료는요~ ' ㅁ')//
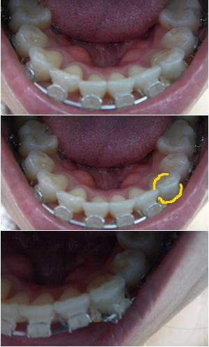
라인이 살짝 안 맞는 아래 앞니를 맞추기 위해 와이어를 구부리고 파워체인을 한바퀴 감아 당겨 주었어요~
그 결과~ 이렇게 전체적으로 U 라인이~ 짜자쟌~ ' ㅁ')b
제가 보기에는 완전 가지런해 보였었는데...!! orz
원장선생님께서 말씀해주시기 전까지는 라인이 안 맞는 줄 몰랐어요~ ㅠㅅㅠ
이렇게 미세한 부분까지 완벽하게 교정해 주시는 선생님 정말 감사합니다~ :D
제 치아에 맞게 맞춘 오라픽스장치를 붙이니 세라믹장치 붙였을 때 보다
더 섬세한 진료가 가능한 거 같아요~ + ㅁ+)b 우왕 굳~!
두꺼운 와이어로 교체하고 파워체인 연결하고~
진료 끝나고 나서 다시 고무줄 걸기~

작은 고무줄을 이용해서 요렇게 삼각형 모양으로 거니까~
많이 땡기네요~ 그래도 부지런히 걸긔ㄱㄱ~ㅎㅎ
매번 교정일기 쓰면서 셀카만 자주 올렸었는데요~ ^^;
이번에는 디카 사진으로 올려 봐요~ (셀카와는 다른 느낌입니다..!? ' ㅅ')* ㅋㅋ )
시원해 보이는 바다를 배경으로~ 쁘이~ ' ㅡ')v
ㅎㅎ 이왕 사진 올리는 김에 멋진 바다 사진 몇장 더 올려 볼께요~! > ㅅ<
보기만 해도 시원하죠~? ^ㅁ^ (안 그래도 비 내려서 시원한데...ㅎㅎ)
다음 교정일기는 빠른 시일내로 찾아 뵙도록 하겠습니다~ ^^
다들 장마철 비 피해없도록 주의하시고 건강한 여름 보내세요~☆

점점 예뻐지시구 청순해지시는듯 해여!! 부럽습니다 ㅠㅠ