[킬본 돌출입 교정 25.] ②③번째 세라믹 장치제거하고 임시유지장치 +_+
이사모 가족 여러분 안녕하세요~ 안녕 안녕하세요오~ > ㅁ<
레드썬입니당~ 23번째 진료~ 이번에도 병원 잘 다녀 왔어요~ ^**^
치아 사진 얼른 보여드리고 싶어서~~ 바로 고고~ + ㅅ+)//
3
2
1
땡~!
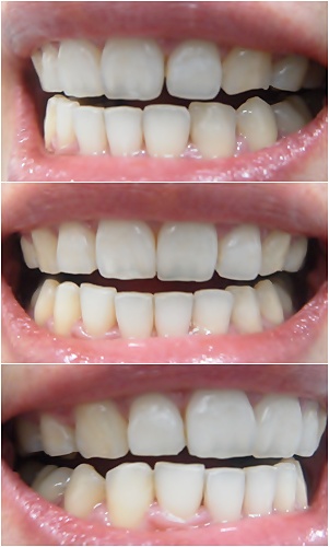
짜잔~!! 세라믹 장치 제거하고 왔습니다~ ^ㅁ^
교정이 완전히 다 끝나서 장치 제거한 거는 아니구요~
전체적인 치아 배열 상태는 완전히 가지런해졌는데요~ ^^
어렸을 적 자면서 이를 갈던 안 좋은 습관 때문에.. - _ -)!!
치아 위, 아래 닿는 면이 많이 닳아 있는 상태예요 ㅠ ㅅㅜ (치아 모서리에 깨진 부분까지... 뜨아~ )
지금보다 더 예쁜 치아 모양과 더 완벽한 교정 마무리를 위해~
원장선생님이 이런 부분까지 세심하게 신경써주셔서~
세라믹 장치 제거하고 다른 장치로 다시 붙이기로 했답니다 ' ㅁ')// 얏호~!
장치 제거는~ 미소가 아름다우신 실장님이 직접 작업해주셨어요~ :D
와이어 빼고나서 세라믹 장치를 하나씩 똑~ 똑~ 떼어내기~
킬본 장치 떼어 낼 때에 비하면 그닥 아프지 않았어요~ ㅎㅎ
어금니 쪽은 전혀 안 아펐구요~ 앞니 쪽 브라켓 뗄 때에만 약간(?)의 통증이~ ^^;
장치 다 떼어내고 치아에 남아 있는 접착제도 제거해줬구요~ 윙윙~ @_@
임시유지장치와 새로운 장치를 만들기 위해 치아 본도 떴어요~
안 아프게 능숙하게 장치 제거해 주신 실장님~ 고생 많으셨어요~ 감사합니다~ ♡
아~ 그러고 보니... 오호홋~!
장치 제거하고 나서 느껴지는 새로운 이 느낌..!? + ㅁ+
브라켓이 있다 없으니까~ 있다 없으니까~
왠지 허전하기도 하고.. 맨들맨들한 치아가 어색하기도 하고~ 그랬어요ㅋㅋ

브라켓과 접착제 제거 후 맨들맨들해진 치아~ ㅋㅋ
약 30분 정도 기다린 후에 받은 새로운 임시유지장치~
드디어 나왔구나~! 반가워 :D 당분간 잘 부탁해요~ ㅋㅋ
임시유지장치 하는 동안 주의해야 할 사항 몇 가지가 있는데요 + _+
1. 밥먹을 때랑 양치할 때 빼고 항상 착용하고 있어야 된다는 것~!
>> 착용 잘 안하면 치아 모양이 틀어질 수도 있어요~
2. 임시유지장치 낀 상태에서는 찬물만 마실 수 있다는 것~!
>> 열에 약해서 뜨거운 차나 물을 마시면 모양이 변할 수도 있대요~
3. 식사나 양치중에 빼 놓을 경우 케이스에 꼭 담아 두는 것~!
>> 가끔 화장지에 싸 놓고 깜빡해서 잃어 버리는 경우가 있다고 하네요~ ^^;
임시유지장치는 칫솔로 양치하듯이 쓱쓱~ 문질러 세척해주면 됩니다~ ' ㅁ')//
둥글 둥글~ 귀여운 모양의 케이스예요 ㅋㅋ
얼핏보면 렌즈 케이스랑 비슷해 보여요~ ㅇ ㅅㅇ
그냥 치아와 임시유지장치 꼈을 때의 치아~
임시유지장치 착용하고 있어도 투명해서 티가 별로 안 나요~ ㅎㅎ
ㅎ ㅓ~ 브라켓을 떼고 나서 그런지 입이 더 들어간 듯한 느낌이 나네요~ ' ㅁ')a
브라켓 제거하고 나서 환하게 미소 방긋~ :D
치아교정이 다 끝난 건 아니지만 당분간 만이라도 자유(?)시간~! ㅋㅋ
아직까지는 꽃샘추위때문에 날씨가 좀 쌀쌀하네요~
이럴 때일 수록 감기 더욱 더 조심하시구요~
다들 즐거운 주말 보내세용~ ^ ㅅ^)*

앗~ 감사합니다 ㅠㅅ- 교정하고 나서 이쁘다는 얘기도 들어보고~ 완전 영광이예요 ㅋㅋ
다른장치가 뭘까요? 넘 궁금하네요^^ 아래앞니들만 좀 정돈되면 완벽해보이네요
다음 교정일기 남길 때 다른 장치에 대해서 자세하게 설명해 드릴께용~ ^ㅁ^
약간(?)의 사진빨이 있긴 하지만 ㅋㅋ
교정 전에 비해서 정말 많이 달라지긴 했어요~ 저도 완전 감동 ㅠㅅㅜ
이대로 교정 마무리할 수도 있지만~ !! + _+
더 완벽한 교정과 예쁜 치아를 위해~
시간이 좀 더 걸리더라도 다른 장치 붙여서 하기로 했어요~ ^^
커밍순~ ㅋㅋ 곧 올릴테니~ 기대해주세요~ + ㅁ+)//
헛 ㅋ 민폐라니요~ 댓글 많이 달려서 설레였어요 ㅋㅋ > ㅅ<
예쁘십니다!! ㅜ ㅜㅜㅜ
예쁘게 봐주셔서 감사합니다~ ^^ 교정하고 나서 정말 사람(?)됐어요 ㅋㅋ
우아 언니!!!!! 드디어 끝나셨군요.ㅠㅠㅠㅠㅠㅠㅠㅠ언니 끝나는걸 보니 저의 날도 언젠가
올꺼 같아요. 으히히 예쁘세요!!!
혜용님 오랜만이예요~ + ㅁ+ 교정 잘 하고 있죠~? ^^
저 아직 다 끝난 거는 아니구~
좀 더 완벽한 교정을 위해서 다른 장치 다시 붙이기로 했어요 ㅎㅎ
혜용님의 달라진 모습도 궁금하네요~~ 끝까지 화이팅입니다~ ' ㅁ')// ㅋ
캬~ 치아가 빛이 나네요 ㅎㅎ
부럽습니다ㅠㅠ 조금만 더 힘내시면 완벽한 치아 얻으시겟어용!
레드썬님 화이팅!^^*
장치 제거 후 맨들맨들 빛나는 치아~ ^ㅠ^
촉촉뇽님도 멀지 않았어요~ ㅎㅎ
우리 함께 화이팅해요~ + ㅁ+
교정 사진 잘 보고 있어요! 너무 예쁘세요~!!
한가지 여쭤볼게 있는데요, 사진을 보니 윗니 아랫니가 정확히 딱 맛물려 있는거 같이 보이는데 윗니가 아랫니를 지금상태보다 살짝 더 덮어야 정상 아닌가요? (제가 알고 있기론...ㅡㅡ;;잘못알고 있다면 지적질좀 해주세용 ㅎ)
혹시 교정이 완전히 끝나지 않았다는게 이부분도 '나중에 이렇게 될거에요' 정도의 말씀을 선생님이 해주셨나 궁금해요
아~! 맞아요 ㅋㅋ 이싸랑님 정확하게 알고 계시네요~
윗니가 아랫니를 살짝 덮어야 정상인거죠~ ^^
고무줄 거는 거 빼먹지 말고 부지런히 걸라는 원장선생님 말씀듣고~
모범 교정인이 되기 위해 + ㅁ+
완전 열심히(?) 걸었었는데~ 너무 과했었나봐요ㅋㅋ ㅠ ㅅㅠ
그래서~ 새 장치 붙이고 나서 고무줄 반대로 걸어 아랫니 다시 넣기로 했답니다~ :D
레드썬님 인기가 핫하신게 여기까지 전해옵니당.ㅎㅎㅎ
웃으시니깐 백만배더이쁘신것같아요^^
교정장치기 떼신것 완전부럽습니다~저도얼른 떼고 싶네요ㅠ~~