[킬본 돌출입 교정 24.] ②① / ②②번째 진료받고 왔어요~ :D
13년 전

 

[킬본 돌출입 교정 24.] ②① / ②②번째 진료받고 왔어요~ :D

 

 

이사모 가족 여러분 안녕하세요~ ^ㅇ^  레드썬입니다~ > ㅁ<)//

날씨가 잠시 풀리는 듯 하다가도 다시 추워지고~ 잠시 덜 추웠다가 또 추워지고~ ㅎㄷㄷ;;

입춘은 지났는데~ 봄은 언제 오는 걸까요~? ' ㅅ' 얼른 따스한 봄이 왔으면 좋겠어요~ ㅋㅋ

 

저는 추위를 많이 타는 편이라... 겨울에는 방콕하는 걸 좋아하는데요~ = ㅅ=

이번 겨울은 제대로 즐겨 보고자~ 스노우 보드를 배우러 갔었는데.... orz 갔었는데.....OTL

 

>>ㅑ오~!! 엉덩이로 보드타고 다녔다는~ ㅠ ㅅㅜ ㅋㅋㅋㅋㅋ 

백만번 넘어졌다 일어나면서 배우느라 쪼금 힘들었지만~ 그래도 나름 재미있었어요~ ^^;

 

 24. 킬본교정 (5).jpg   

보드 왕초보~ ㅇ ㅅㅇ)v 여동생과 함께 찍은 사진이예요~ ㅎㅎ

보드 타기 전에 찍은 사진이라 그나마 말짱하네요 ㅋㅋ 보드 타고 나서는 만신창이로 변신ㅠ_ㅜ

 

 

 

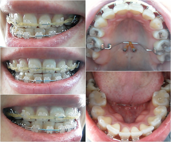
21번째 월치료~ + ㅁ+)!!

상악 파워체인만 새로 갈아 주었어요~ 이번 월치료는 간단하게 끝~ ^^

시간이 얼마 안 걸려서 좋긴 하지만.. ' ㅁ')a

진료가 일찍 끝나면 일찍 끝나는 대로~ 왠지 뭔가 아쉽다는..음!? 공감하시는 분들은 손~ ' ㅅ')// ㅎㅎ 

24.킬본교정.jpg

 

22번째 월치료~

상악 제일 안쪽 어금니 바이트 블럭 제거했어요~ 이번 월치료는 바이트 블럭 제거하는 걸로 진료 끝~ + _+ 

24.킬본교정 (1).jpg

 

바이트 블럭 제거하기 전과 후 비교사진입니당 :D

24.킬본교정 (3).jpg

 

헐... 바이트 블럭 제거하고 나니 며칠동안은 어금니로 씹는 게 좀 어색했어요~ ㅎㅎ

있다가 없어지니 허전하다는~ ; ㅁ;)> 그러나 금새 다시 적응~ + ㅁ+)// 어색함 극뽁~!! ^^

 

아~ 상악 4번 치아와 하악 7번 치아에 빨간보트 꼬무줄은 계속 열심히 걸어주고 있어요~ 

 

22번째 진료 받으러 갈 때 여동생데리고 병원에 같이 갔었는데요~

여동생이 병원 기사 스크랩에 나와 있는 원장선생님 사진보고 잘 생기셨다고.. ' ㅅ')~

그래서 맞다고 우리 원장쌤님 꽃중년(?)이라고 자랑했어요 ㅋㅋ

 

원장선생님.jpg 

혹시라도 궁금해 하시는 분들을 위해 울 꽃중년 원장선생님 사진 살짝~ > ㅅ<

허락 안 받고 올렸는데 초상권 침해인가요~? ;; 문제시 삭제하겠습니다~ ^^;

 

킬본교정 시작한지 아직 1년 6개월도 안 되었는데요~

돌출된 입도 쏙 들어 갔고~ 발치공간도 거의 다 닫혔고~ 치아도 가지런해졌고~ 벌써 이렇게 많은 변화가 ㅠㅠ

항상 긍정적인 생각을 가질 수 있게 도와주신 원장선생님, 치위생사선생님, 상당실장님 정말 감사합니다~♡

덕분에 생각했던 거 보다 훨씬 더 빨리 교정이 잘 되는 거 같아요~ ^ㅅ^

  

긍정적인 생각을 가지면 치아교정하는데도 많은 도움이 된다고 해요~

우리 이사모 가족님들도 항상 긍정적인 생각을 가지고~ 함께 끝까지 화이팅하자구요~ ' ㅁ')// ㅎ ㅔ~

 

아~ 요즘 제가 읽고 있는 책이 있는데요. + ㅅ+ [언니의 독설] 추천해드리고 싶어요~

김미경 강사님이 강의하는 동영상과 방송을 인상깊게 봤었는데요~

책 내용도 공감가는 부분이 많았어요 ㅎㅎ 진짜 언니가 조언해 주는 듯한 느낌이랄까~!?

흔들리는 20대 후반 ~ 30대  여성분들~ 이 책 읽어 보시면  많은 도움이 될 거 같아요~ ^ㅇ^

 언니의독설.JPG

 

우리 모두 성공하는 그 날까지 화잇힝입니다~ ' ㅅ')// 그럼 오늘은 이만 뿅~ ☆

 

 

레드썬

생각을 바꾸면 인생이 즐거워집니다~ ^ㅡ^

즐거운 교정~ 함께해요~ ☆ 무한긍정~ 레드썬~!!  'ㅁ')//  

 

  • 교정만
    13년 전

    레드썬님 얼굴 라인이 정말 이뻐지셨어요!! 옆모습 굴욕도 이젠 없을듯!?!?!?!

    축하드려욧>.<

  • 레드썬
    (글쓴이)
    12년 전

    감사합니다~ 돌출된 입이 들어가면서 얼굴 라인이랑 옆 모습이 정말 많이 바뀌었어용~~ ^^

  • 촉촉뇽
    13년 전

    ㅋㅋㅋ 공감되네용~ 진료빨리 끝나면 좋기도 하지만 먼가모를 아쉬움ㅋㅋ 이제 정말 얾마 남지 않으신거 같네용~ 부럽습니다^^* ㅎㅎ 남은 날도 화이팅이세요!

  • 레드썬
    (글쓴이)
    12년 전

    그쵸~ 진료가 일찍 끝나면 일찍 끝나는 대로 아쉽다는 +_+ ㅋㅋ

    촉촉뇽님도 끝까지 화이팅이예요~ ^**^

  • 쮸렛
    13년 전

    레드썬언니얼굴에자신감이뙇붙으신것같아요~~미소가아름다우십니돠!

    꽃중년원장님(?)도짱이세요ㅋㅋ

    남은교정까지응원할게요~~^^

  • 레드썬
    (글쓴이)
    12년 전

    ㅎㅎ 울 꽃중년 원장님~~ 정말 짱이죠~  +ㅁ+)b

    쮸렛님도 끝까지 함께 화이팅해용~ ' ㅅ')// ㅎ ㅔ헷~

팔로잉 최신글