[치아교정후기] 교정만의 오라픽스 치아교정후기 13 -오라픽스월치료!
안녕하세요~ 교정만의 오라픽스 치아교정후기 13편입니다!
날씨가 추웠다가 풀렷다가 눈왔다가 난리네요ㅠㅠ 입춘이데 눈이라니 흐어어억
여러분 독감이 아주 독하대요 감기 조심하세요!!!
1월 28일 오라픽스 치아교정 월치료를 위해 치과에 다녀왔습니다.
전 월치료에서 오른쪽 스크류를 뺏엇어서 이번에 박겠지 싶었는데
이번에 박지 않고 고무줄을 걸어 주셨습니다.
저번에 치아 속도를 맞춘다고 하셨는데
사진을 보니 양쪽의 발치 공간 크기가 다르더라구요.
양쪽의 이동 속도가 조금 다른가 봅니다.
그래서 이번달에도 스크류는 패쓰!!
저번달 오라픽스치아교정 월치료에 하지 못한 스케일링을 솩 하니
입안이 깔끔~해지는 기분이 아주 시원하더라구요ㅎㅎㅎㅎ
치아교정이 끝나도 스케일링은 정기적으로 해야 겠다능ㅋㅋㅋㅋ
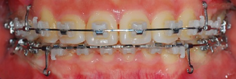
<정면 치아 사진>
가끔 치과 쌤이 고무줄로 예술을 하는듯ㅋㅋㅋ
신기했습니다.
<측면 치아 사진>
정말 많이 들어갔죠?
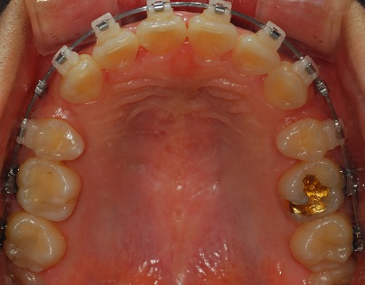
<상악 사진>
양쪽 발치공간의 차이가 나서 치과쌤이 치아 속도 맞추는데 열심히 하시고 있어용!
<하악사진>
정면 사진입니다. 아직까지 입을 다물고 찍는 사진은 많이 어색하네요...헤헷
저는 1월달에 정말 뜻깊은 시간을 보내고 왔습니다.
2주동안 시골 아이들의 멘토 선생님이 되어 꿈과 진로를 잡아가는데 도움을 주는 봉사를 하고 왔습니다.
이것 때문에 치과를 몇일 미루게 되었는데요... 치과 날짜를 왠만하면 뒤로 땡기지 않는데...
그만큼 저에게 의미있었던 시간이었습니다.
내가 어떤 도움이 될까 라는 생각을 가지고 시작하였지만
아 나도 도움이 될 수 있구나 라는 걸 느꼈고
봉사라는 것이 정말 대단한 것이 아니라 내가 가진 것에서 배풀 수 있는거라는 점.을 배웠습니다.
양구 아이들아~ 쌤이 너희 정말 많이 사랑해♥
내 멘티 문상이와 경진이~ 우리 환경이 어렵더라도 주어진 것에서 최선을 다하는 거 잊지 말고
무엇보다 쌤 잊지말고^^ 남자쌤들 그만좀 쫒아댕겨라ㅋㅋㅋㅋㅋ나도좀챙겨ㅠㅠ
덕민스 원균스 스키팸들♥
앞으로 그렇게 쭉!!올바르게, 멋잇게 커서 멋진 대학생되면 쌤이 술한잔 사줄게ㅎㅎㅎ
지금은 적당히 먹고^^ 서울놀러와아아아
민기얌*^^* 니는 그냥 나랑 멘토멘티가 아니라 그냥 절친이다ㅋㅋㅋㅋㅋㅋ그래도 맞먹지말고
누나라고는 하기ㅋㅋㅋㅋㅋ 내가 말한 소원 잘지키고 니는 소원날린거 알지?
글고 발냄새드립좀 그만쳐 나진짜안나니깐ㅎㅎㅎㅎ
졸업식꼭갈게
그럼 다음 오라픽스 치아교정후기에서 또 만나요~~!!!

요즘 댓글 달아도 왜 안달려져 잇는지 ㅠ.ㅠ 이상하네요ㅠㅠ
다시 댓글올려요~ㅎ
교정만님 진짜 빠르시네요 ㅠ.ㅠ 이제 발치공간만 매꿔지면 될 거 같은데,
발치공간 금방일 거 같아요! 부럽습니다 ㅠ.ㅠ
원래 치아가 고르신 편이라서 빨리 되시는 거 같아요 ㅎㅎ
다 끝나시면 이쁜 치아 될 거 같네요! 앞으료 화이팅이요!
이사모 글을 임시저장해논게 아예 업로드가 되서 다시 작성해서 올렷드니,,,,ㅠㅠ
전에있던 댓글이 삭제된거 같아요ㅠㅠ
글 올릴때 조심해야 겟어요 임시 저장하면 아예 업로드가 되어버리는...ㅠㅠㅠ촉촉뇽님두 조심하세요~
우왕~ 멘토 선생님이라~ 좋은 일 하고 오셨네요~ ^ㅇ^
치아도 예쁘고 마음도 너무 예쁘네용~ ㅎㅎ
발치 공간이 빠르게 닫히는 편인 거 같아요 + _+ 착한 일 하셔서 교정도 잘 되는 듯~!? :D
교정만님 남은 교정도 화잇힝입니다~ ' ㅁ')//
헤헤헷 오히려 제가 가서 더 많은 걸 얻어온 것 같아요~
봉사로 힐링을 하고 왔다능.,..
레드썬님두 교정일기 볼때마다 너무 놀라요
날이갈수록 이뻐지셔서,,,
와,,아이들의꿈과희망을불어넣어주고 오셨네요~~
저도이런봉사하고싶어요,ㅎㅎ
사진은너무귀엽씀돠,ㅋㅋ교정만님남은교정까지퐛팅입니당^^
홧팅!!이요^.^ 같이 홧팅해요
?! 제 댓글 사라졌어요! ?!?!??
저언번에 달았었는데 뭐지...ㅠㅠㅠ
암튼 좋은 경험 하셨네요 ㅇㅂㅇㅋㅋ 새로운 인연~ 잘 이어가시길 빌어요~
이게 임시저장된글이 바로 올라가서 그러케 됫어요ㅠㅠ
소중한 댓글.....ㅜㅜㅜ
다시 달아주셔셔 감사해용!!!>.<
이제 교정 막 시작한 뉴비입니다ㅜ 궁금해서 이것저것 검색하다 읽어보게 됐네요 촤하하