[킬본 돌출입 교정 23.] ②ⓞ번째~ 월치료 받고 왔어요~ :D
안녕하세요~ + ㅁ+)// 킬본교정 레드썬입니다~
2013 계사년 새해가 밝았네요~! 이사모 가족 여러분~ 새해 복 많~~이 받으세요~ :D
올 한해도 바라는 모든 일 성취하시고 건강과 행운이 함께하길 바라며~
23번째 킬본교정일기 시작합니다~ ^ㅇ^
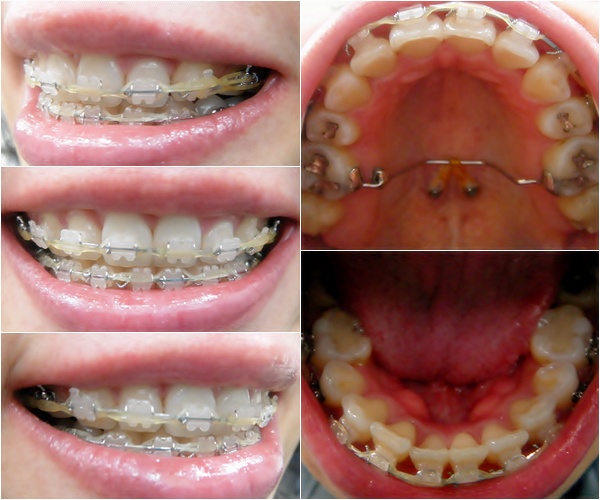
이번 월치료는~ ' ㅁ')//
상악에 조금 남아 있는 발치공간을 완전히 없애기 위해
발치공간 양 옆에 파워체인 이중으로 당겨서 걸어 주었구요~
하악은 발치공간이 닫히면서 살짝 눕게 된 어금니들을 세우기 위해
한 단계 더 두꺼운 와이어로 갈아 주었습니다~
오랜만에 원장 선생님이 직접 와이어를 갈아 주셨는데요...!! ' ㅅ')a
왠지.. 치위생사 선생님의 손길이 그리워졌다는~!? ㅋㅋ
^^ㅣ익~* 가지런한 치아~ 교정 막바지에 가까이 온 거 같아요~ ' ㅂ^
>>ㅑ오~ 쪼오금 남아있던 발치공간~ 여기도 거의 다 닫혔어요~ + ㅁ+)!!
이전에는 고무줄은 하악 7번치아 상악 6번치아에 걸었었는데,
이번부터는 하악 7번치아 상악 3번치아에 걸기 시작했어요~
하악 7번치아 - 상악 6번치아에 걸 때 쓰던 빨간 보트 고무줄(3.2mm) 과
하악 7번치아 - 상악 3번치아에 걸 때 쓰기 시작한 파란 오토바이 고무줄(4.8mm) 비교~
고무줄 지름의 차이가 보이시나요 ㅇ ㅅㅇ)!?
호기심에 작은(빨간 보트) 고무줄을 하악 7번치아 - 상악 3번치아에 걸어 보았는데요 + _+
고무줄이 작아서 3번치아까지 당기기도 힘들고.. 걸고 나니 치아에 무리가.. - _ - ㅎㄷㄷㄷ;;
괜한 도전은 ㄴㄴㄴ~ 원장 선생님이 알려 주시는 대로 잘 따라 하는 게 좋습니다~ ' ㅁ')b
추운 날씨 탓에 활동량은 줄었는데.. 식욕은 더 왕성해지네요~ ㅠ_-
당분간 다이어트는 안녕~ 크림 듬뿍~ 냠 ' ㅠ' 일단 먹고 보자는~ㅋㅋ
추운 날씨에 강해지도록 지방 늘리기- _ -
ㅎ ㅏ아~ 이렇게 사진 찍은 거 볼 때 마다 달라진 모습에 감격.. ; ㅁ;)>
돌출입 느낌이 전혀 안 나죠~!?
킬본교정 진짜 최고예요~ ^^ 우리 원장 선생님 완전 짱입니다요 > ㅅ<
이번 겨울은 눈도 많이 내리고 유난히 더 춥네요~ 한파가 얼른 지나갔으면 좋겠어요~~
다들 추운 날씨에 감기 걸리지 않게 건강 관리 잘 하시구요~ 새해에도 늘 행복하시길 바래요~ ^^*

그쵸~ 돌출엔 킬본~!! 정말 강추합니다~ + ㅁ+)b ㅋㅋ
촉촉뇽님도 남은 교정 앞으로도 쭈욱 화이팅이예요~ ^^
그냥 이건... 정말 불편함으로 모르시는게 좋아여 ㅋㅋㅋ
왠만하면 안하고 교정하는게 좋아여...
꼭 필요하다면 해야하긴 하지만 엄청 불편한 ㅋㅋㅋ
제가 해봐서 아는데... 불편해욤.
하지만 저걸해서 더 이뻐질 수 있다면 당근 해야지여 ㅋㅋㅋ 막이래 ㅋㅋㅋ
나의 행운이 항상 당신과 함께하길...
돌출된 입을 넣고나서~ 다시 앞으로 나오지 않게 잡아주는 장치(?)라고 생각하시면 되요~ ^^
나 너무 유치한걸까? ㅋㅋㅋ 근데 욱긴걸 어째 ㅋㅋㅋ
어머 벌써 23번째 일기인거???
시간 증말 잘간다. 레드썬의 이벤트 참여 신청글을 읽은게 엇그제 같은데,
시간은 너무도 잘가고.... 그만큼 나는 늙었을거고...
그만큼 레드썬은 킬본교정으로 인해서 이뻐졌구나... ^^
ㅋㅋㅋ 왠지 원장님이 더 거칠게 대해주신거???
난 뭔지 알거 같네 ㅋㅋㅋ
가끔 원장님이 해주시면 치위생사님의 손길이 그리운 그기분 ㅋㅋㅋ
뭔가 남자의 빠워가 느껴지면서 더 아픈거 같은 그기분?ㅋㅋㅋ
원장님은 분명 살살 해주셨겠지만,
남자인지라 여자가 할때랑은 다르더라고 ㅋㅋㅋ 푸힛~
그래도 원장님이 싹다 해주시면 기분 좋아. 그치???
ㅋㅋㅋ 고무줄 ㅋㅋㅋ 왜그랫어~ ㅋㅋㅋ
무모한 호기심이 순간의 고통을 주었으리라 믿어 ㅋㅋㅋ
앞으론 그런 도전은 하지말아 ㅋㅋㅋ 아욱겨 ㅋㅋㅋ
응근히 쌩뚱맞은 구석이 있다 너 ㅋㅋㅋ 아욱겨 ㅋㅋ귀엽네!
어머 너두그래?
나두 움직이는건 딱 지금 시른데 먹긴 왤케 먹어대는지...
지금 나 잡아먹어도 될만큼 살올랐음 ㅋㅋㅋ
넌 진짜 ㅋㅋㅋ 내가 처음부터 봐서 알자노!
그 어색했던 입모양 어디갔니???
지금 너무 자연스러워 졌다잉~ 콧대도 정면인대도 높아보여!
역시 교정해서 입들어가면 날렵한 콧대는 덤으로 얻는가바!!!
이뽀이뽀!!! 이제 얼마남지 않은거 같은데,
마지막까지 화이팅 해주길 바라며~~~
우리 언제 한잔 찌끄리나???ㅋㅋㅋ
나의 행운이 항상 당신과 함께하길...
원장선생님의 남자다운(?) 그 손길.. > ㅁ< 언니도 그 느낌 아시는군요~!? ㅋㅋㅋㅋㅋ
치위생사선생님이 해주시는 게 적응되서 더 맘 편하지만~
가끔은 원장선생님이 해주시는 것도 좋아요~! :D 헤헷~*
킬본교정하면서 어색했던 입모양도 사라지고 콧대도 높아 보이고~
정말 많이 달라졌어요 ㅎㅎ ( 얼굴 달라져서 성형했냐는 질문도 들었다는.. ' ㅁ')!! )
이사모 아니였으면 킬본교정이 있다는 것도 몰랐을텐데 ㅠ_ㅜ
정말 항상 감사하게 생각하고 있어요~~ ^^
파랭언니 보고 싶어요~ ♡ 날씨 좀 풀리면 한잔 찌끄리자구요~~ ' ㅠ' 츄릅~
레드썬님, 치아교정일기보며 항상공부하고 갑니다.^^ 분위기도 달라지시고
인물이 확살아나시는게 느껴져요,^^ 남은교정도 홧팅홧팅~~
지금저녁인데 완전대박 맛있어보여요,ㅠㅠㅠㅠㅠㅠ
브래드 냠냠 ' ㅠ' 맛있어 보이는데 정말 맛있어요 ㅋㅋ 다이어트는 안녕 ㅠㅅ-
겸둥이 쮸렛님도 남은 교정 화이팅이예요~ ^^
우아, 부럽다 ㅜㅜ 점점 이뻐지시네여ㅋ 레드썬님 일기 애청자에요 ~
>>ㅑ오~ 일기 잘 봐주셔서 정말 감사합니다~ ^ㅁ^
앞으로도 변화하는 모습 계속 지켜봐주세용~ ' ㅅ')*