[오라픽스 치아교정 12]왼쪽 스크류 뺏숨니다.
안녕하세여^_^
방학을 맞이하고!!! 숨이쫌 트엿어요 후아후아
11월 26일 치과에 다녀 왔어요
저번달에 스크류 때문에 아프다구 후기 올리구 그다음날인가 치과에서 전화가 왓어용
많이아프시면 병원에 한번 오시라구
아프면 참지말구 병원에 가야 하는데
저는 또 참았습니다.....ㅋㅋㅋㅋㅋ
여러분 아프면 참지마세요.
스크류가 너무 아프면 잠시 뺏다가 다른 자리에 심는다구 하시더라구요.
이건 다 제잇몸이 너무단단해서그래여ㅋㅋㅋㅋㅋ
11월 26일에 치과 갔을 때
오른쪽 볼에 상처가 스크류때문에 아물지 않아서
스크류를 결국 제거 해야 한다구 하셨습니다...ㅠㅠ
빼고나니 시원합니다ㅋㅋㅋ볼찌르던게 없어지니까 살거같아요ㅋㅋㅋㅋㅋ
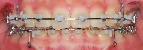
치아 정면사진이에요

발치공간 정말 많이 줄엇죠?
의사선생님이 이동이 빠르다구 하셨어요
사진을 보면 위에 왼쪽은 스크류가 있고 스크류에 고무줄을 걸었구요
오른쪽은 스크류를 빼고 치아에 있는 장치로만 고무줄을 걸어놨어요.
아래는 위와 이동하는 속도를 맞추기 위해 고무줄을 걸지 않았습니다.
왼쪽은 위아래 속도를 맞춰서 잘 가는데
오른쪽은 속도가 조금 안맞는다구 하셨어요
그리구 아래 앞니들에 고무줄 걸구 이번치료는 끝*^^*
정면 얼굴사진입니당
이날 진짜 추웟는데 치과 수도가 동파가 나서 진짜 고생하시더라구요ㅜㅠ
썩션두 안되구ㅠㅠㅠㅠ
나머지 진료는 잘 하셨나 모르겟습니다.
항상 감사합니다♥
치과에서 달력이 나왔는데 제 사진이 들어갔어요!!
예쁜사진으루 골라 주셨더라구요^*^헤햇
여러분모두 감기조심!!

왁치아가진짜바르세요!!ㅋㅋㅋㅋㅋ
교정만님응원합니다~~달력에도 나오시고 대박 홧팅!!^^*
정면에서 찍은 치아사진 진짜 가지런해 보이는데요?와아아.. 블트도 없고ㅠㅠㅠ부러워요ㅋㅋㅋㅋㅋㅋㅋ
썩션 안되면 어떻게 해요?ㅋㅋㅋㅋㅋㅋㅋㅋㅋㅋㅋㅋㅋㅋ치료 중에 가글할 듯 ㅋㅋㅋㅋㅋㅋㅋㅋ
아프면 바로바로 병원 가시고(근데 저도 이래놓고 멀어서 잘 안 갈 것 같네요 ㄱ=) 덧나지 않게 조심하시길~
새해 복 많이 받으세요~ㅋㅋ